Nefropatología
   
Diagnóstico del Caso 107
Con una breve discusión
 
     
English version

CASO 107

Volver a datos clínicos e imágenes Caso 107

Diagnóstico: Amiloidosis AA (Inflamatoria)

La amiloidosis se compone de un grupo heterogéneo de enfermedades en las que proteínas del plasma normalmente solubles se depositan en el espacio extracelular en una forma fibrilar anormal, insoluble. La amiloidosis amiloide A (AA) se caracteriza por depósitos de fibrillas en el tejido extracelular, que se componen de fragmentos de proteína A amiloide sérica (SAA), una proteína reactante de fase aguda, producida predominantemente por los hepatocitos. La amiloidosis AA se produce en el curso de una enfermedad inflamatoria crónica de etiología infecciosa o no infecciosa o bien, alteraciones hereditarias o algunas neoplasias. En los países en desarrollo, el origen más común de amiloidosis AA es la infección crónica; en países industrializados las enfermedades reumáticas son los estímulos habituales (Dhawan R. AA (Inflammatory) Amyloidosis. In eMedicine (visited on Jan 16th). [Link]).

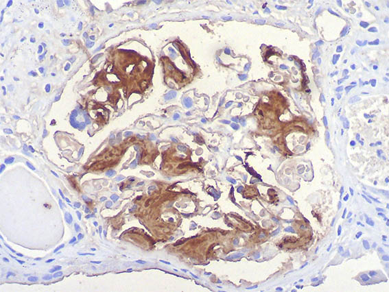
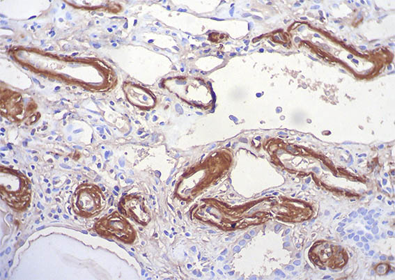
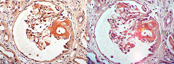
En nuestro caso, la tinción con rojo Congo y la inmunotinción (Figuras 12, 13 y 14) confirmaron que los depósitos correpondían a amiloide A. La historia de sífilis secundaria nos llevó a atribuir la etiología a esta infección crónica.

Figura 12. Tinción de rojo Congo, X400 (la foto digitalizada da la impresión de birrefringencia amarilla, pero en realidad fue verde).

Figura 13. Inmunotinción para amiloide A, X400.

Figura 14. Inmunotinción para amiloide A, X400.

Ver el capítulo: Amiloidosis y otras enfermedades... de nuestro Tutorial.

Volver a datos clínicos e imágenes Caso 107

Bibliografía

  • Model]

[Arriba]

Volver a datos clínicos e imágenes Caso 107