|
|
CASO
76 (Junio 2012)
Datos clínicos:
Mujer de 24 años de edad con antecedente
de múltiples hospitalizaciones por emergencias hipertensivas y
episodios convulsivos, epilepsia focal secundaria a proceso vascular (trombótico).
Hipertensión arterial sistémica de difícil control,
aproximadamente 8 años de evolución. Tiene diagnóstico
de síndrome antifofolípìdo (posiblemente primario)
desde hace varios años.
Anticardiolipinas IgA e IgM positivas;
anticoagulante lúpico "francamente positivo" (no nos
informan títulos). Hematocrito: 42%, Hb: 13,3 mg/dL, plaquetas:
90.000/mm3. TTP: 163.9, INR: 1.24. No hay esquistocitos en sangre periférica.
ANAs y anti-DNA: negativos. C3: 92 (90-180), C4: 19.6 (10-40). Creatinina:
1,3 mg/dL, depuración de creatinina: 53 mL/min, proteinuria: 226
mg/24h, sin hematuria. Eco renal: "normal", sin estenosis en
arterias.
Dada la alteración leve de la
función renal y la proteinuria (también leve), se decide
tomar biopsia renal.

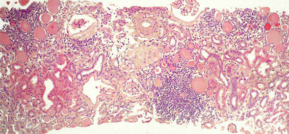
Figura 1.
H&E, X100.

Figura 2.
Plata-metenamina, X200.

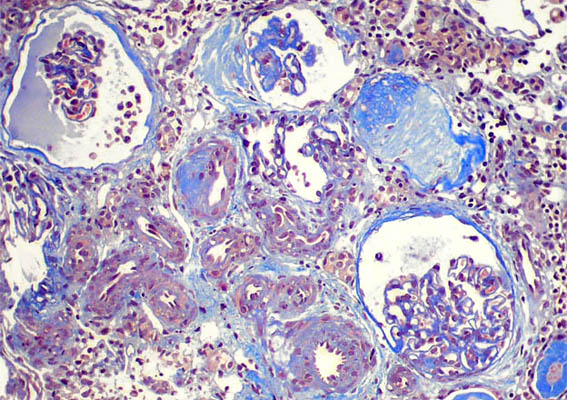
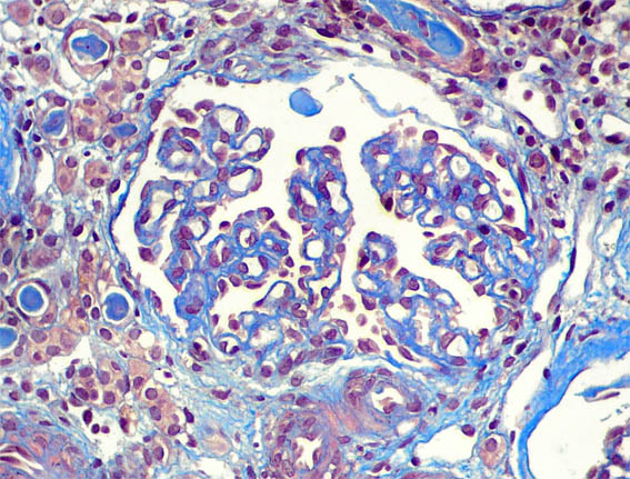
Figura 3.
Tricrómico de Masson, X200.

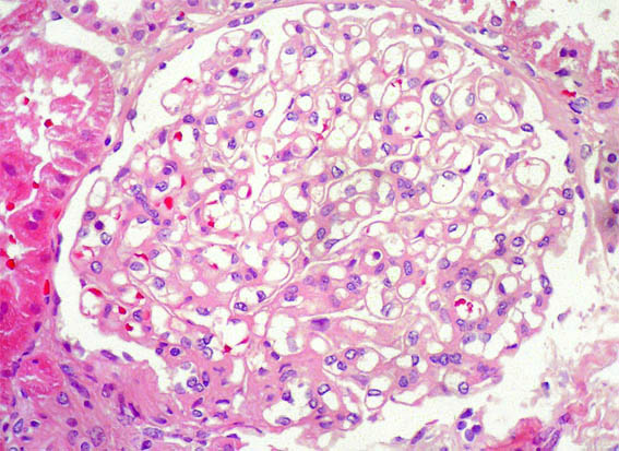
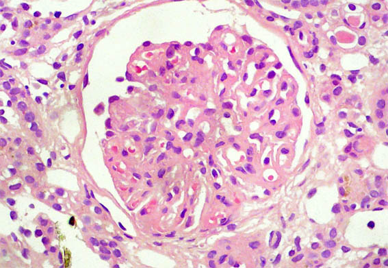
Figura 4.
H&E, X400.

Figura 5.
Tricrómico de Masson, X400.

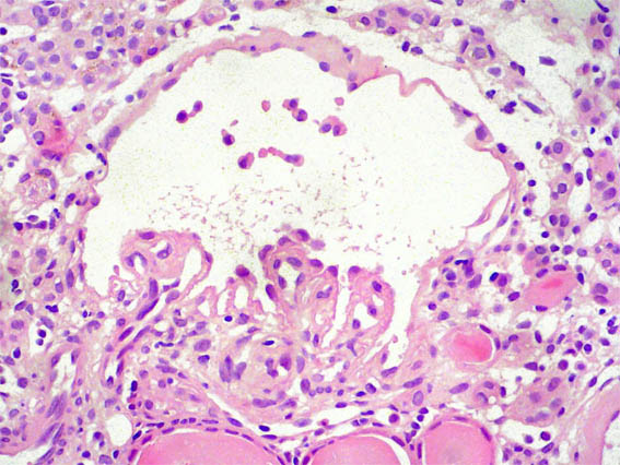
Figura 6.
H&E, X400.

Figura 7.
H&E, X400.

Figura 8.
Tricrómico de Masson, X400.

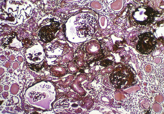
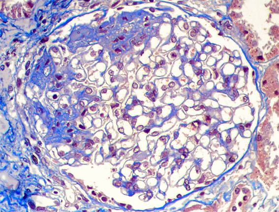
Figura 9.
Plata-metenamina, X400.

Figura 10.
Plata-metenamina, X400.

Figura 11.
Tricrómico de Masson, X400.
Inmunofluorescencia: Negativa para IgA,
IgG, C3, C1q, kappa y lambda. Trazas mesangiales para IgM.
¿Cuál es su diagnóstico?
Ver
diagnóstico y discusión
[Arriba]
|
|