|
|
CASO
74 (Abril 2012)
Datos clínicos:
Mujer de 36 años de edad. Presentó
disuria y polaquiuria 10 días antes, por lo que inició ciprofloxacina,
500 mg cada 6 horas, por sugerencia de un farmaceuta. Además consumió
ibuprofeno y un medicamento naturista con el nombre "Flor de Jamaica".
Los síntomas urinarios mejoraron. Ahora consulta porque desde hace
3 días presenta dolor abdominal, nauseas, emesis y malestar general,
por lo que ha tomado diclofenac y metoclopramida.
Al exámen físico: Buenas
condiciones generales, hidratada, pálida; PA: 112/78, FC: 80, FR:
16, afebril, no lesiones en piel, no edemas, no ascitis. No alteraciones
cardiopulmonares.
En los paraclínicos se encuentra creatinina sérica de 9,0
mg/dL y BUN de 44,0 mg/dL. K: 4,9 meq/L; Na: 142 meq/L. Hemoleucograma
y plaquetas normales. Citoquímico de orina: pH: 7,0, Densidad:
1010, proteinas negativo; sdimento: eritrocitos: 2-4/CGA, leucocitos:
8-10/CGA, bacterias: negativo, nitritos: negativo.
ANAs, anti-DNA, ANCAs: Negativos. Complemento: normal. Electroforesis
de proteínas: Normal. Virus de hepatitis y VIH: Negativos. Ecografia
renal: RD: 10,6X5,3X6 cms RI: 10,1X5,3X5,3 cms. Aumento difuso en ecogenicidad
bilateral, conservando la diferenciación corticomedular.
Con diagnóstico de insufieciencia renal aguda
se hace biopsia renal.

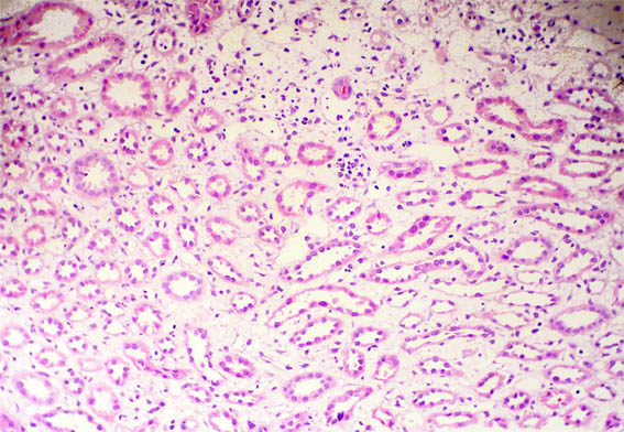
Figura 1.
H&E, X100.

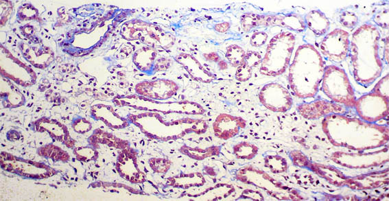
Figura 2.
Tricrómico de Masson, X100.

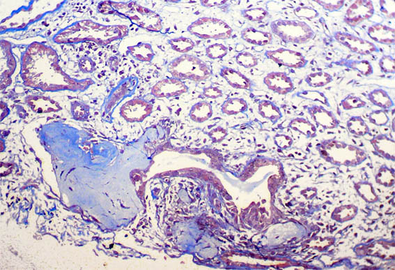
Figura 3.
Tricrómico de Masson, X100.

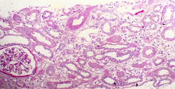
Figura 4.
PAS, X100.

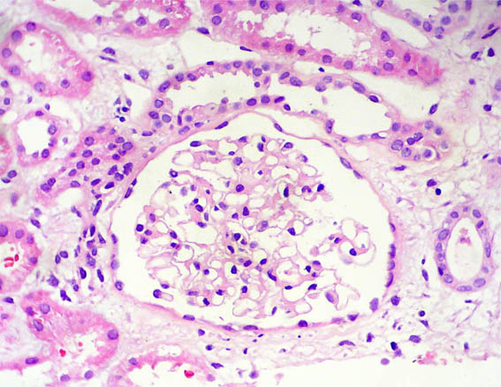
Figura 5.
H&E, X400.

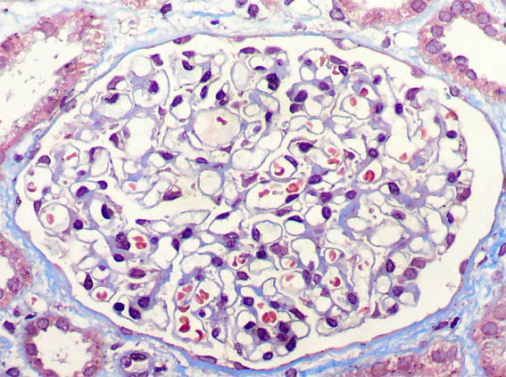
Figura 6.
Tricrómico de Masson, X400.

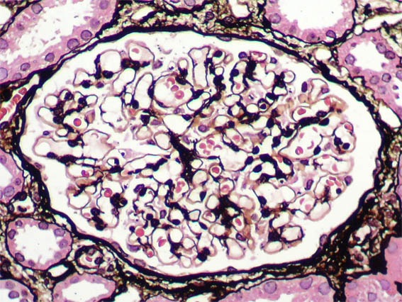
Figura 7.
Plata-metenamina, 400.
Inmunofluorescencia: Negativa para IgA,
IgG, IgM, C3, C1q, kappa y lambda.
¿Cuál es su diagnóstico?
Ver
diagnóstico y discusión
[Arriba]
|
|