|
|
CASO
97 (Marzo 2014)
Datos clínicos:
Niño de 13 meses de edad con cuadro clínico de una semana de evolución de fiebre, vómito y diarrea, con manejo sintomático. Desde hace 3 días presenta edemas, hipertensión arterial, anuria e insuficiencia renal aguda. No alteraciones evidentes del sistema nervioso central, aunque tiene somnolencia. No hay lesiones en piel.
En los paraclínicos se detecta anemia: Hb 6,3 mg/dL, Hto 18%, plaquetas 82.000 /mm3, leucocitos: 18.000. Esquistocitos en sangre periférica: +. Coombs negativo. Complemento sérico normal. Acidosis metabólica. Hemocultivos negativos. Creatinina sérica: 3,6 mg/dL, BUN: 42 mg/dL. Requiere hemodiálisis.
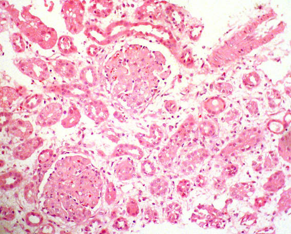
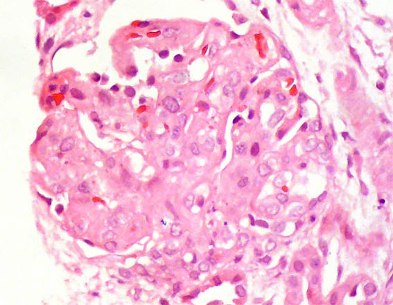
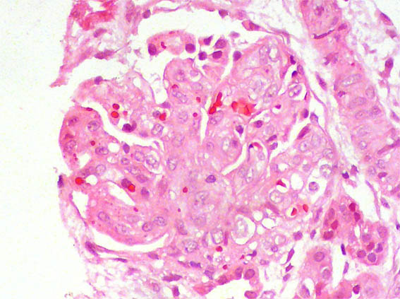
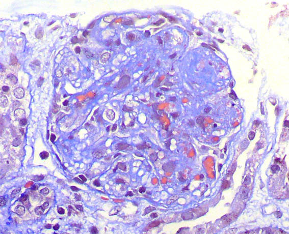
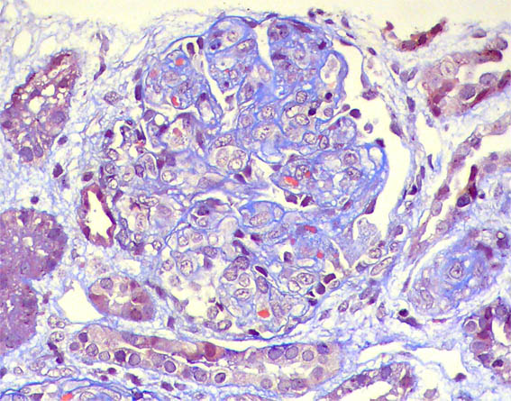
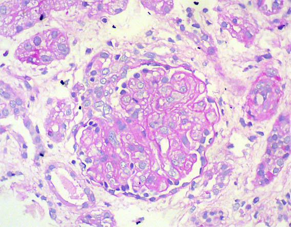
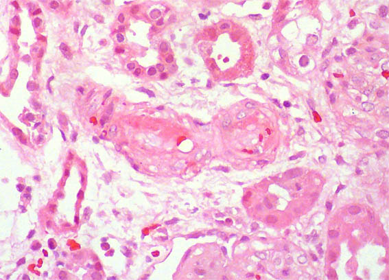
Se hace biopsia renal. Observe las imágenes.

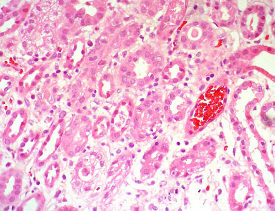
Figura 1. H&E, X100.

Figura 2. H&E, X400.

Figura 3.
H&E, X400.

Figura 4. H&E, X400.

Figura 5.
Tricrómico de Masson, X400.

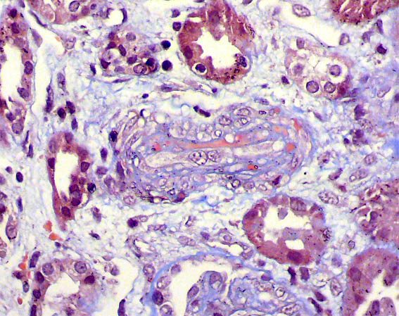
Figura 6. Tricrómico de Masson, X400.

Figura 7. PAS, X400.

Figura 8.
Plata-metenamina, X400.

Figura 9. Plata-metenamina, X400.

Figura 10. H&E, 400.

Figura 11. Tricrómico de Masson, X400.

Figura 12. H&E, X400.

Figura 13. Inmunofluorescencia directa para fibrinógeno, X400.

Figura 14. Inmunofluorescencia directa para fibrinógeno, X400.
Inmunofluorescencia pra IgA, IgG, IgM, C3 y C1q: Negativa.
¿Cuál es su diagnóstico?
Ver
diagnóstico y discusión
[Arriba]
|
|