CASO
84 (Febrero 2013)
Datos clínicos:
Una mujer de 46 años con antecedente
de hipertensión arterial grado 1, de aproximadamente 10 años
de evolución, sufre trauma craneoencefálico y presenta muerte
cerebral. Función renal y citoquímico de orina normales.
Luego del consentimiento de la familia,
se obtienen ambos riñones para trasplante.
Se hace biopsia renal pre-trasplante
(biopsia del donante). Observe las imágenes.

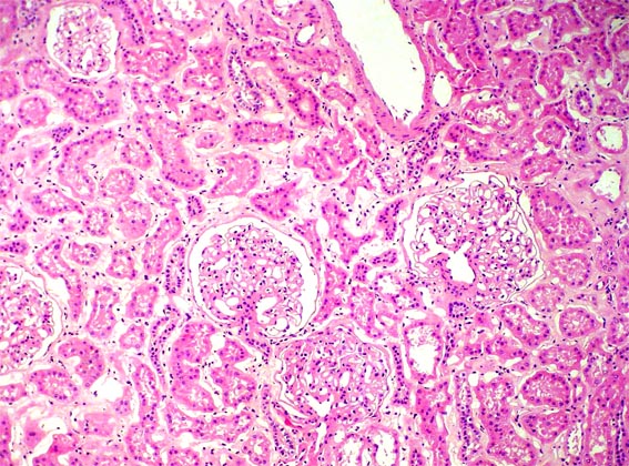
Figura 1.
H&E, X100.

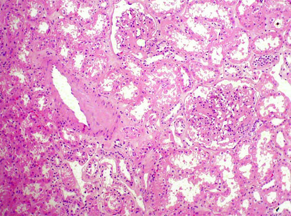
Figura 2.
H&E, X100.

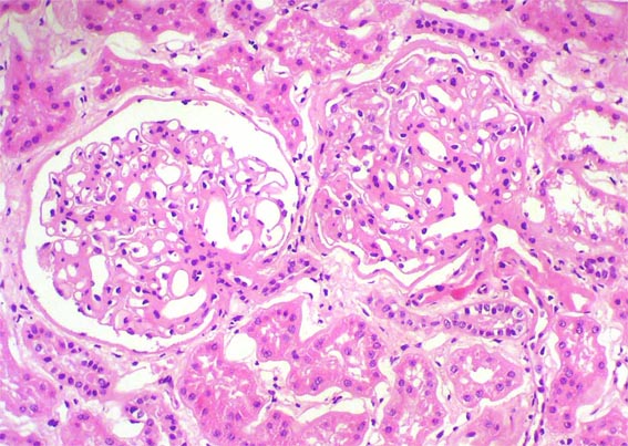
Figura 3.
H&E, X400.

Figura 4.
H&E, X200.

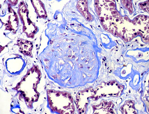
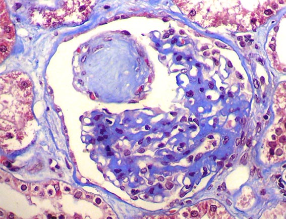
Figura 5.
Glomerulosclerosis global: 5 de 145. Tricrómico de Masson, X400.

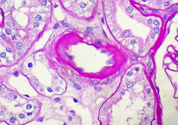
Figura 6.
Hialinosis en aferente y eferente. PAS, X400.

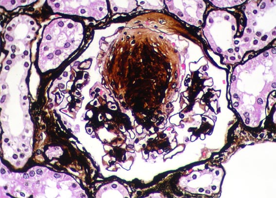
Figura 7.
Plata-metenamina, X400.

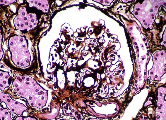
Figura 8.
3 glomérulos con estos nódulos grandes. Plata-metenamina,
X400.

Figura 9.
Tricrómico de Masson, X400.

Figura 10.
Arterioloesclerosis hialina grado 3, según esquema de Banff. PAS,
X400.
Glomeruloesclerosis global: 3,4%; fibrosis
intersticial / atrofia tubular: <5%.
¿Cuál es su diagnóstico?
¿Usted trasplantaría
estos riñones?
Ver
diagnóstico y discusión
[Arriba]
|