CASO
100 (Junio 2014)
Es para nosotros un orgullo alcanzar ya 100 casos de publicación continua, un caso cada mes, 100 meses desde febrero de 2006. Muchas gracias por seguirnos visitando y acompañando.
Datos clínicos:
Un niño de 11 años es evaluado por presentar edema progresivo en los últimos 3 meses, sin otros sintomas. La madre refiere buen crecimiento y desarrollo, sin aparentes alteraciones psicosociales. Al examen físico no se detectan alteraciones, excepto por el edema descrito y presión arterial sistémica cercana al percentil 95.
No antecedentes personales patológicos. Antecedentes familiares: Tio muerto con enfermedad renal terminal, causa desconocida. Madre con enfermedad renal crónica (no terminal), no sabe causa.
Laboratorio: Hemoleucograma normal. Creatinina sérica: 0,7 mg/dL. ANAs, anti-DNA: negativos. Complemento sérico normal. Pruebas para virus B y C: negativas. Hipoalbuminemia y dislipidemia. Uroanálisis: proteinuria: 2,4 mg/24 h; eritrocitos: 10-12 por campo de gran aumento (CGA), leucocitos: 1-2 /CGA; no cilindros.
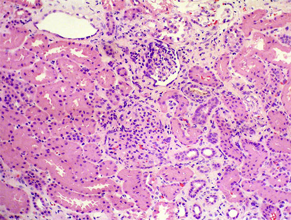
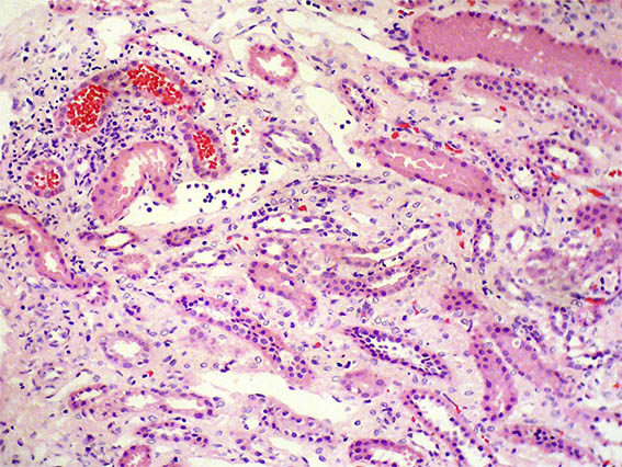
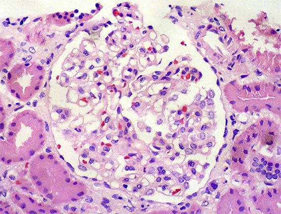
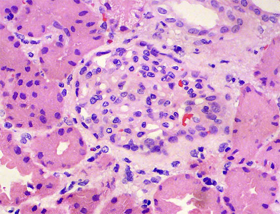
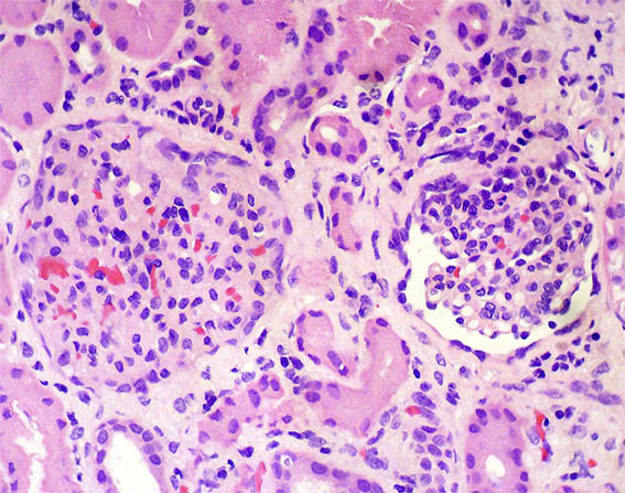
Con diagnóstico de síndrome nefrótico, se hace biopsia renal. Observe las imágenes.

Figura 1. H&E, X200.

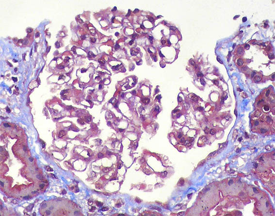
Figura 2. H&E, X200.

Figura 3.
H&E, X400.

Figura 4. H&E, X400.

Figura 5.
H&E, X400.

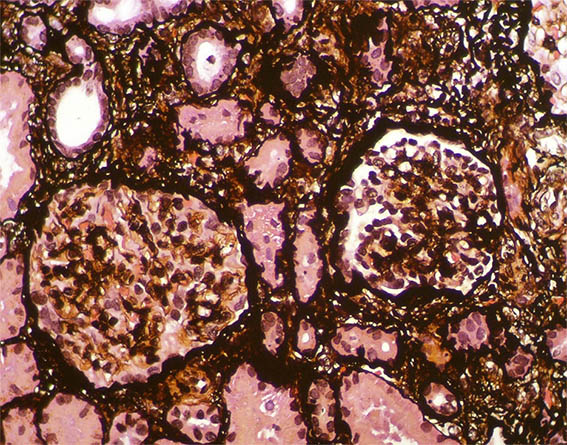
Figura 6. Plata-metenamina, X400.

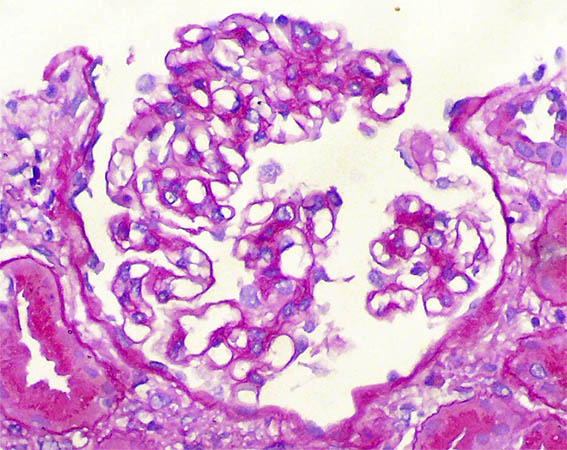
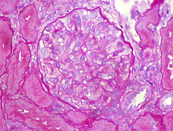
Figura 7. PAS, X400.

Figura 8. PAS, X400.

Figura 9. Tricrómico de Masson, X400.

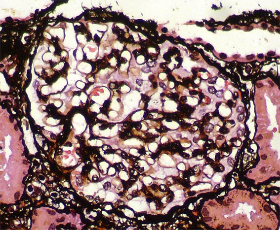
Figura 10. Plata-metenamina, X400.

Figura 11. Inmunofluorescencia directa para IgM, X400.

Figura 12. Inmunofluorescencia indirecta para la cadena alfa-1 (MAB1) del colágeno tipo IV, X400.

Figura 13. Inmunofluorescencia indirecta para la cadena alfa-3 (MAB3) del colágeno tipo IV, X400.

Figura 14. Inmunofluorescencia indirecta para la cadena alfa-5 (MAB5) del colágeno tipo IV, X400.

Figura 15. Control positivo (en riñón normal) para cadenas alfa-3 (MAB3 - izquierda) y alfa-5 (MAB5 - derecha) del colágeno tipo IV, X400.
Inmunofluorescencia para IgA, IgG, C3 y C1q: Negativas.
¿Cuál es su diagnóstico?
Ver
diagnóstico y discusión
[Arriba]
|