Nefropatología
   
Diagnóstico del Caso 100
Con una breve discusión
 
     
English version

CASO 100

Volver a datos clínicos e imágenes Caso 100

Diagnóstico: Sindrome de Alport ligado al X

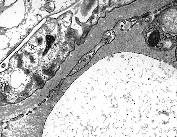
El estudio de microscopía electrónica demostró engrosamiento irregular de la MBG, con multilaminación y fragmentación de la lámina densa (Figura 16).

Figura 16. Microscopía electrónica mostrando engrosamiento irregular de la MBG, multilaminación y fragmentación de la lámina densa (X 6,000).

El colágeno de tipo IV, el componente estructural principal de la MBG, es una proteína multimérica compuesta por tres cadenas α en espiral que forman una molécula o protómero de triple hélice. Se han identificado seis cadenas α(IV) genéticamente distintas pero estrechamente relacionadas (α-1 a α-6). Estas cadenas podrían formar muchos tipos de moléculas, pero sólo se han descubierto tres protómeros: α1.α1.α2(IV), α3.α4.α5(IV) y α5.α5.α6(IV). Estas tres cadenas no se distribuyen homogeneamente en las membranas basales. La más abundante, α1.α1.α2(IV)-α1.α1.α2(IV), es ubicua y se encuentra en todas las membranas basales. Sin embargo, en el penacho glomerular, la fuerte expresión mesangial de α1(IV) y α2(IV) contrasta con su débil expresión en la MBG, limitada a la porción subendotelial de dicha membrana. En el riñón maduro, la cadena α3.α4.α5(IV)-α3.α4.α5(IV) está presente en la MBG, la membrana basal de túbulos distales y focalmente en la membrana basal de la cápsula de Bowman. Sin embargo, en humanos en desarrollo (niños pequeños) hay un cambio progresivo de cadenas exclusivamente α1.α1.α2(IV) (riñón fetal) a cadenas α3.α4.α5(IV), como se encuentran en el riñón maduro. La α3.α4.α5(IV) está también presente en la membrana basal alveolar y en membranas especializadas del ojo y la cóclea. La α1.α1.α2(IV)-α5.α5.α6(IV) se encuentra en la cápsula de Bowman, la membrana basal de conductos colectores, membrana basal epidérmica y en la membrana basal del músculo liso. La cadena α6 está consistentemente ausente de la MBG (Jennette JC et al. Heptinstall's Pathology if the Kidney, 6° ed. Wolters Klumer - Lippincott Williams & Wilkins, Philadelphia, 2007, p. 492).

La inmunotinción para cadenas α3 y α5 normalmente marca en todo el espesor de la membrana basal glomerular (global y difusa) así como en las membranas de túbulos distales. En las familias con síndrome de Alport ligado al cromosoma X, la α3 y α5 están ausentes en los pacientes de sexo masculino y tienen una distribución discontinua en las mujeres (patrón de tinción en mosaico). En pacientes con enfermedad autosómica recesiva, la tinción de α5 se ve sólo a lo largo de la cápsula de Bowman y los conductos colectores, mientras que α3 es totalmente negativa.

Ver el capítulo Enfermedades Hereditarias de nuestro Tutorial.

Volver a datos clínicos e imágenes Caso 100

Bibliografía

  • Adam J, Connor TM, Wood K, Lewis D, Naik R, Gale DP, Sayer JA. Genetic testing can resolve diagnostic confusion in Alport syndrome. Clin Kidney J. 2014;7(2):197-200. [PubMed link] [Free full text]
  • Oka M, Nozu K, Kaito H, Fu XJ, Nakanishi K, Hashimura Y, Morisada N, Yan K, Matsuo M, Yoshikawa N, Vorechovsky I, Iijima K.Natural history of genetically proven autosomal recessive Alport syndrome. Pediatr Nephrol. 2014 Mar 15. [Epub ahead of print] [PubMed link]
  • Hashimura Y, Nozu K, Kaito H, Nakanishi K, Fu XJ, Ohtsubo H, Hashimoto F, Oka M, Ninchoji T, Ishimori S, Morisada N, Matsunoshita N, Kamiyoshi N, Yoshikawa N, Iijima K. Milder clinical aspects of X-linked Alport syndrome in men positive for the collagen IV α5 chain. Kidney Int. 2014;85(5):1208-13.  [PubMed link]
  • Lin X, Suh JH, Go G, Miner JH. Feasibility of repairing glomerular basement membrane defects in Alport syndrome. J Am Soc Nephrol. 2014;25(4):687-92. [PubMed link]
  • Wang Y, Sivakumar V, Mohammad M, Colville D, Storey H, Flinter F, Dagher H, Savige J. Clinical and genetic features in autosomal recessive and X-linked Alport syndrome. Pediatr Nephrol. 2014;29(3):391-6. [PubMed link]
  • Liapis H, Jain S. The interface of genetics with pathology in alport nephritis. J Am Soc Nephrol. 2013;24(12):1925-7.  [PubMed link]

[Arriba]

Volver a datos clínicos e imágenes Caso 100