|
|
CASO
82 (Diciembre 2012)
Datos clínicos:
Mujer de 17 años sin antecedentes
personales patológicos, consulta por edema en piernas y malestar
general. Encuentran hipertensión arterial leve, sin otras alteraciones
al examen físico.
Paraclínicos: Hto: 38%, Hb: 12,1
mg/dL, plaquetas: 280.000, leucograma normal. ANAs, anti-DNA negativos.
C3: 63 (90-180), C4: 18 (10-40). Estudios para virus: negativos. Creatinina
sérica: 1,6 mg/dL, BUN: 42 mg/dL, depuración de cretinina:
34 mL/min. Uroanálisis: proteinas: 300 mg/dL, 8-10 eritrocitos/CGA,
sin cilindros. Proteinuria en 24 horas: 2,9 g.
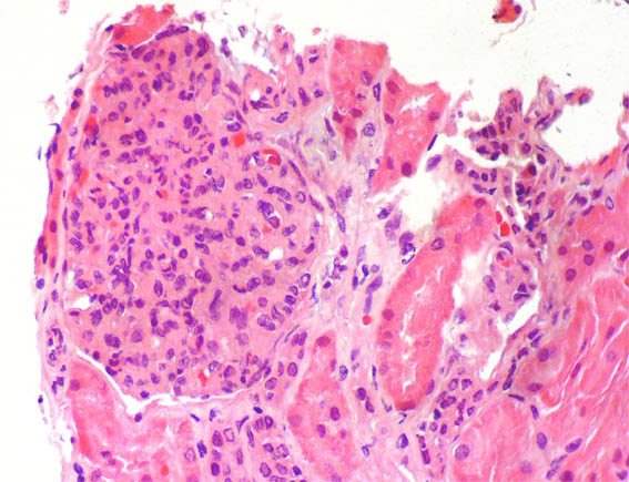
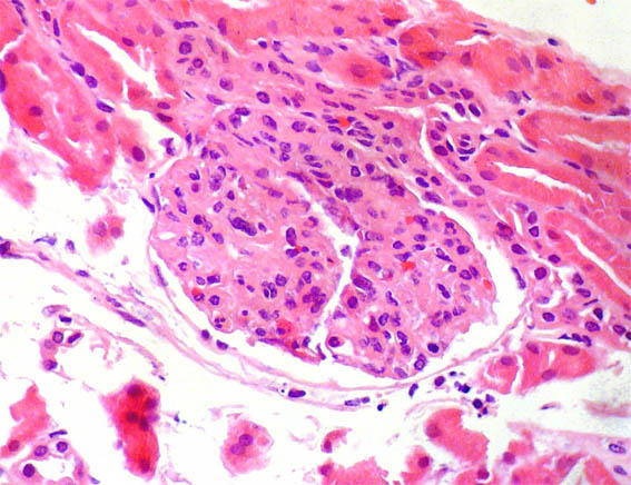
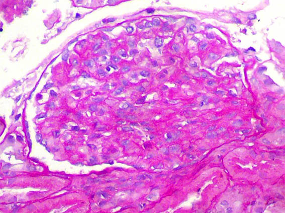
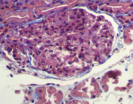
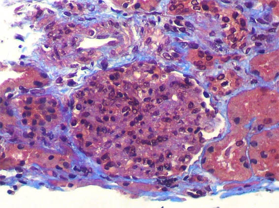
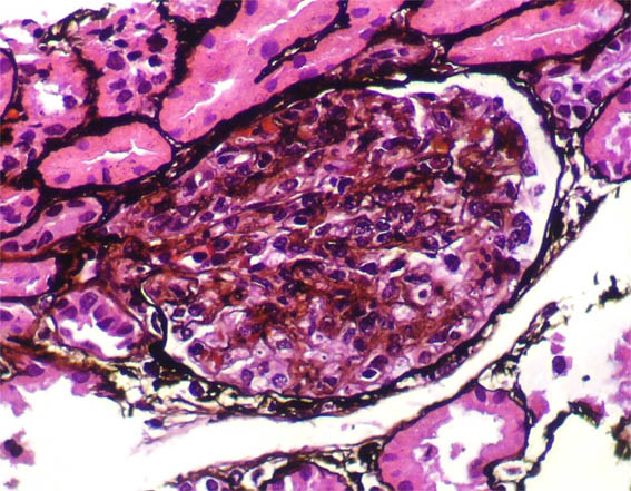
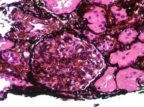
Se hace biopsia renal: en los cortes
histológicos sólo hay dos glomérulos; no hay alteraciones
tubulointersticiales. Observe las imágenes.

Figura 1.
H&E, X400.

Figura 2.
H&E, X400.

Figura 3.
PAS, X400.

Figura 4.
Tricrómico de Masson, X400.

Figura 5.
Tricrómico de Masson, X400.

Figura 6.
Plata-metenamina, X400.

Figura 7.
Plata-metenamina, X400.

Figura 8.
Inmunofluorescencia directa para C3, X400.

Figura 9.
Inmunofluorescencia directa para C3, X400.
Inmunofluorescencia para IgA, IgG, IgM,
C1q y cadenas ligeras kappa y lambda: Negativas.
¿Cuál es su diagnóstico?
Ver
diagnóstico y discusión
[Arriba]
|
|