|
|
CASO
65 (Julio 2011)
Datos clínicos:
Paciente masculino, 12 años de
edad, quien a los 8 años presentó síndrome nefrótico
completo con función renal normal. La biopsia renal informó
GN membranoproliferativa tipo I (estudiada en otro centro, no disponemos
de imágenes). Se inició manejo con esteroides, IECA, calcio
y calcitriol, sin lograr adecuada respuesta, por lo cual recibió
ciclosporina A, con la que tampoco se logró remisión de
la enfermedad.
Es evaluado en nuestro centro a la edad
de 12 años porque continúa con síndrome nefrótico
de características clínicas y paraclínicas similares
a las del primer episodio. La madre relata épocas de mayor sintomatología
y períodos de aparente quiescencia de la enfermedad. Al examen
físico de ingreso: buenas condiciones generales, PA: 131/74, PAM:
93; peso: 58 Kg. Edema en miembros inferiores, grado II, con fóvea.
Resto de examen físico normal.
Paraclínicos: Hb: 12,7 gr/dL,
Hto: 36,7%, leucocitos: 9.800/mm3. Proteinas totales: 3,2g/dL, albumina:
1,7 gr/dL. Colesterol total: 406 mg/dL; TGC: 243 mg/dL. Creatinina 1,0
mg/dL, BUN: 16 mg/dL, depuración de creatinina: 69 mL/min. Proteínas
en orina de 24 horas: 458 mg/m2/h. ANAs, ENAs, anti-DNA y ANCAs: negativos.
Complemento sérico: normal. Estudios para virus: negativos.
Se programa para nueva biopsia renal.
Observe las imágenes de esta
segunda biopsia.

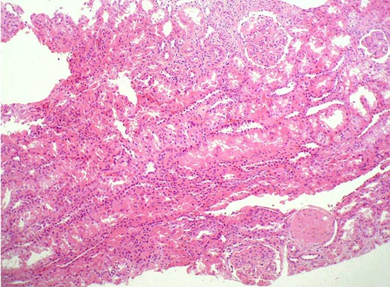
Figura 1.
H&E, X100.

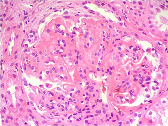
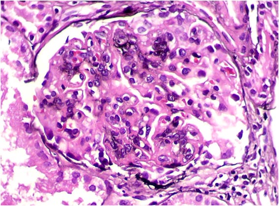
Figura 2.
H&E, X400.

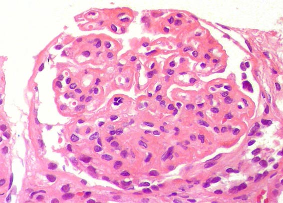
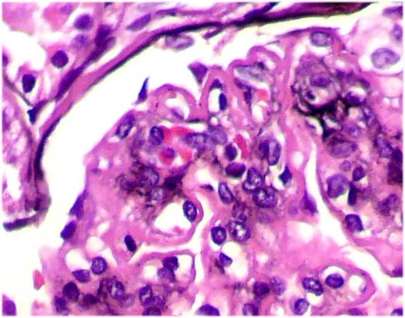
Figura 3.
H&E, X400.

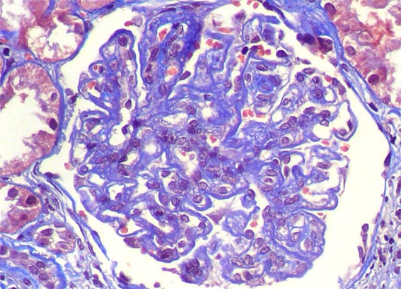
Figura 4.
Tricrómico de Masson, X400.

Figura 5.
El mismo glomérulo de la imagen anterior, amplificada. Tricrómico
de Masson, X400.

Figura 6.
Plata-metenamina, X400.

Figura 7.
El mismo glomérulo de la imagen anterior, amplificada. Plata-metenamina,
X400.

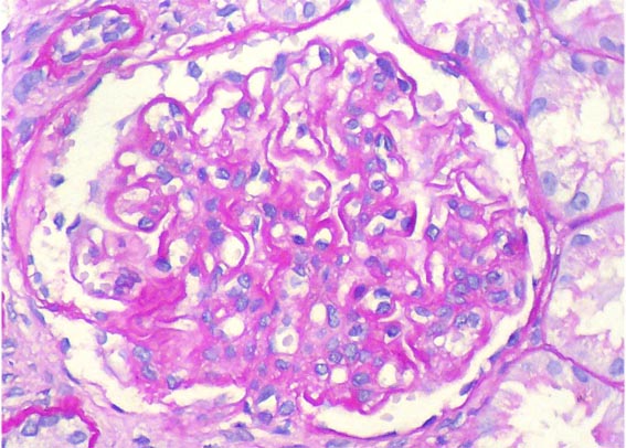
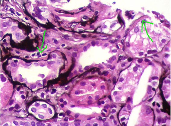
Figura 8.
PAS, X400.

Figura 9.
Plata-metenamina, X400.

Figura 10.
Inmunofluorescencia directa para C3, X400.

Figura 11.
Inmunofluorescencia directa para C3, túbulos,
X400.
Inmunofluorescencia para IgA, IgG, IgM,
C1q, kappa y lambda: negativas.
¿Cuál es su diagnóstico?
Ver
diagnóstico y discusión
[Arriba]
|
|