|
|
CASO
78 (Agosto 2012)
Datos clínicos:
Paciente de sexo masculino, 42 años
de edad, con antecedente de diabetes mellitus no insulino-dependiente
desde hace 11 años. Presentó edema y eritema en pierna izquierda
3 semanas antes, fue tratado con antibióticos con respuesta parcial.
Estas lesiones han sido recurrentes por varios años. Desde hace
3 días presenta edemas y disnea.
Otros antecedentes: Obesidad, hipertensión
arterial y dislipidemia, varios años de evolución. Mal control
de la la diabetes, de la HTA y de la dislipidemia porque es un paciente
poco adherente al tratamiento.
Al exámen físico PA: 160/90,
FR: 16, sin disnea, disminución del murmullo vesicular en ambas
bases pulmonares. Área descamativa en pierna y talón izquierdo,
con fondo eritematoso. Edema facial, en piernas y escrotal; leve ascitis.
Paraclínicos: Hb: 10,2, Hto: 32,
Plaquetas 380.000, GB: 13.000, neutrófilos 70%, linfocitos 20%,
pruebas de coagulación y hepáticas normales. Creatinina
3,1, BUN 86. Virus: negativos, ANAs: negativos, C3: 20 (90-180), C4 37
(10-40). Uroanálisis: proteinuria 1.000 mg/dL, eritrocitos: 15/CGA,
leucocitos: 5/CGA, cilíndros granulares. Proteinuria: 12,3 g/24h.
AELOs no aumentados.
Se hace biopsia renal. Observe las imágenes.

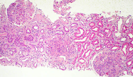
Figura 1.
H&E, X100.

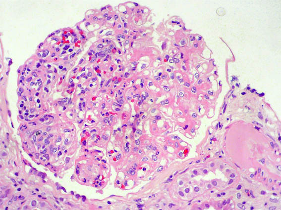
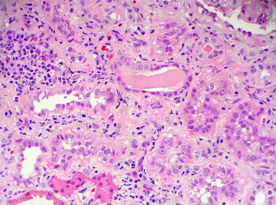
Figura 2.
H&E, X400.

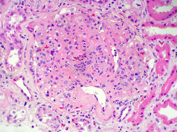
Figura 3.
H&E, X400.

Figura 4.
H&E, X400.

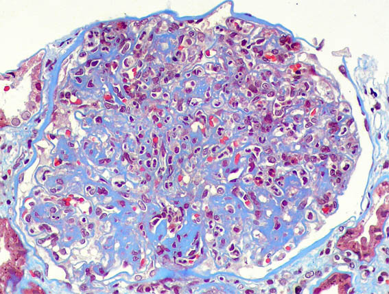
Figura 5.
Tricrómico de Masson, X400.

Figura 6.
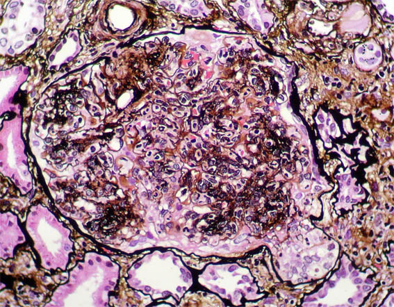
Plata-metenamina, X400.

Figura 7.
PAS, X400.

Figura 8.
H&E, X400.

Figura 9.
Inmunofluorescencia directa para IgG, X400. (Negativa).

Figura 10.
Inmunofluorescencia directa para C3, X400.

Figura 11.
Inmunofluorescencia directa para C3, X400.
Inmunofluorescencia: Negativa para IgA,
IgG, IgM, C1q, kappa y lambda.
¿Cuál es su diagnóstico?
Ver
diagnóstico y discusión
[Arriba]
|
|