CASO
85 (Marzo 2013)
Datos clínicos:
El paciente es un hombre de 58 años
de edad, no diabético, evaluado por presentar creatinina sérica
de 2,4 mg/dL, hipertensión mal controlada, microhematuria y proteinuria
en rango nefrótico: 5,2 g/24h.
ANAs y ANCAs negativos. Complemento:
normal. Crioglobulinas: negativas. HIV, hepatitis B y C: negativos. Anemia
leve, leucograma y plaquetas normales.
Se hace biopsia renal. Observe las imágenes.

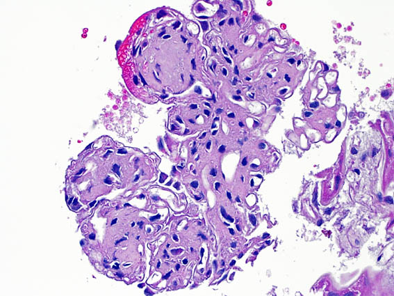
Figura 1.
H&E, X200.

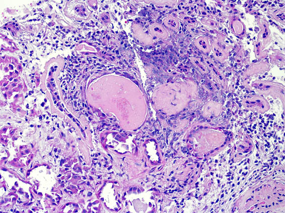
Figura 2.
H&E, X400.

Figura 3.
H&E, X400.

Figura 4.
H&E, X400.

Figura 5.
Plata-metenamina, X400.

Figura 6.
H&E, X200.

Figura 7.
Inmunofluorescencia para cadenas ligeras kappa, X400.

Figura 8.
Inmunofluorescencia para cadenas ligeras lambda,
X400.

Figura 9.
Inmunofluorescencia para IgM, X400.
Tinción débil focal y segmentaria.

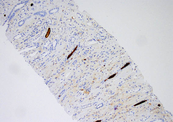
Figura 10.
Inmunohistoquímica (peroxidasa) para cadenas ligeras kappa,
X400.

Figura 11.
Inmunohistoquímica (peroxidasa) para cadenas ligeras lambda,
X400.

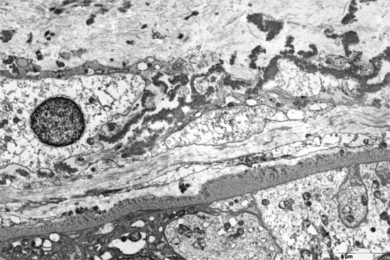
Figura 12.
Microscopía
electrónica, X2.000.

Figura 13.
Microscopía
electrónica, X3.000.

Figura 14.
Microscopía
electrónica, X6.000.
Inmunofluorescencia para IgA, IgG, C3
y C1q: negativas.
¿Cuál es su diagnóstico?
Ver
diagnóstico y discusión
[Arriba]
|