|
|
CASO
94 (Diciembre 2013)
Datos clínicos:
El paciente es un niño de 8 años de edad con historia de hematuria macroscópica intermitente desde hace 3 años, con múltiples episodios en el último año, algunos de ellos asociados a infecciones del tracto respiratorio superior. Los episodios de hematuria resuelven espontáneamente después de varios días. Las pruebas de laboratorio han mostrado siempre función renal normal, con creatininas alrededor de 0,5 mg/dL. Múltiples uroanálisis han mostrado variables grados de hematuria y proteinuria negativa o trazas (1+). Tiene ecografías renales normales y una pielografía intravenosa que no evidencia malformaciones renales o en las vías urinarias.
El niño no ha tenido alteraciones en su creciemiento y desarrollo. El resto de la revisión por sistemas es normal.
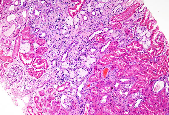
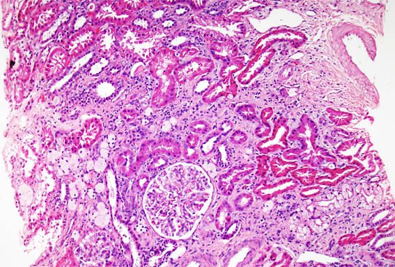
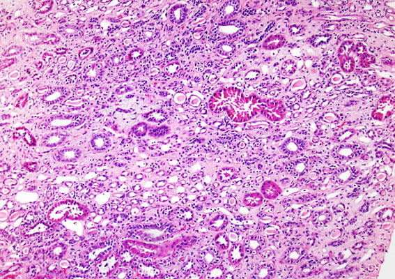
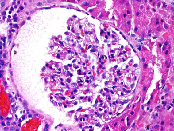
Se hace biopsia renal. Observe las imágenes.
Caso preparado por el Dr. Carlos Andrés Jiménez.

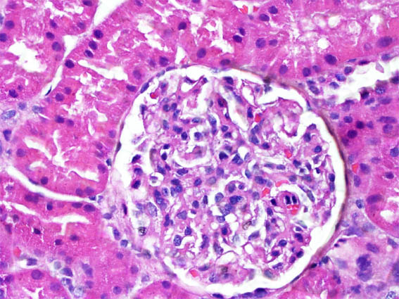
Figura 1. H&E, X100.

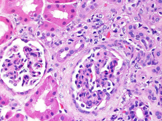
Figura 2. H&E, X200.

Figura 3.
H&E, X100.

Figura 4. H&E, X400.

Figura 5.
H&E, X400.

Figura 6. H&E, X400.

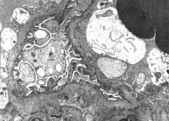
Figura 7.
Imagen de microscopía electrónica, X6.000.

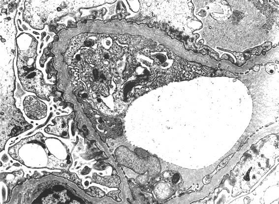
Figura 8.
Imagen de microscopía electrónica, X6.000.
Inmunofluorescencia para IgA, IgG, IgM, C3 y C1q: Negativas.
¿Cuál es su diagnóstico?
Ver
diagnóstico y discusión
[Arriba]
|
|