CASO
92 (Octubre 2013)
Datos clínicos:
Un hombre de 56 años sufre trauma craneoencefálico y presenta muerte cerebral. No tiene antecedentes patológicos conocidos. Función renal normal.
Ambos riñones son rescatados para trasplante y son en general de aspecto macroscópico normal, pero en uno de ellos, en la convexidad, cerca del polo superior, se encuentra área amarilla subcapsular de 7 mm, de la cual se toma biopsia para estudio por congelación, antes de decidir si se trasplanta o no.
Observe las imágenes de la lesión.

Figura 1.
Un montaje aproximado de cómo se veia la lesión macroscópica.

Figura 2. Corte de la verdadera lesión mostrando lo que queda de ella después de obtener fragmentos para el estudio histológico.

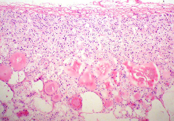
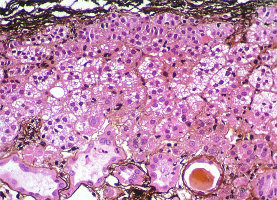
Figura 3.
Corte por congelación, H&E, X100.

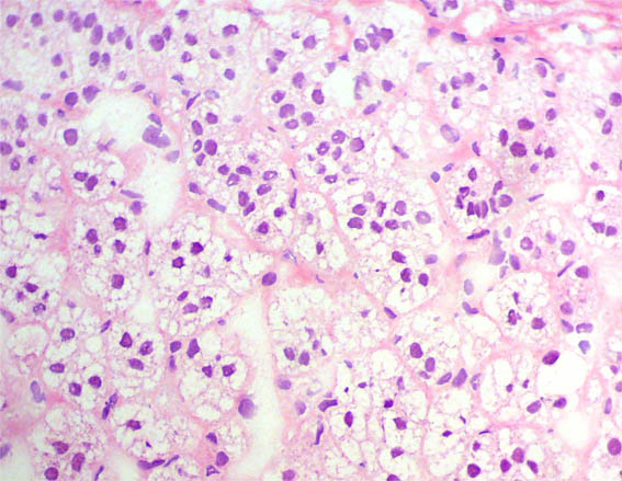
Figura 4.
Corte por congelación, H&E, X400.

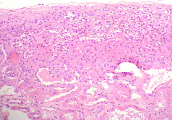
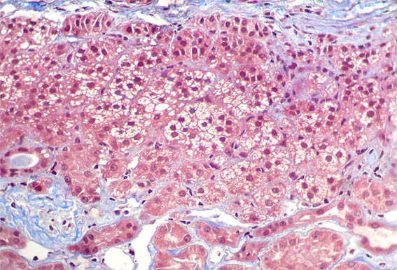
Figura 5.
H&E, X100.

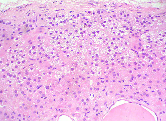
Figura 6. H&E, X200.

Figura 7.
Tricrómico de Masson, X200.

Figura 8. Plata-metenamina, X100.

Figura 9. Plata-metenamina, X200.
¿Cuál es su diagnóstico?
¿Usted trasplantaría este riñón?
Ver
diagnóstico y discusión
[Arriba]
|