CASO
83 (Enero 2013)
Datos clínicos:
Niña de 12 años de edad,
sin antecedentes personales patológicos. 20 días de evolución
de edema facial que posteriormente se acompaña de edema en miembros
inferiores, malestar general y orina hiperpigmentada. Al examen físico
encuentran, además, hipertensión arterial: 145/90.
Entre los paraclínicos el hemoleucograma
muestra anemia leve, normocítica normocrómica. Estudios
para virus negativos. ANAs y ANCAs negativos. C3: 89 (90-180) y C4: 36
(10-40). Creatinina sérica: 1,2 mg/dL y BUN: 31 mg/dL. Proteinuria
en 24 horas: 2,3 g (73 mg/m2/h), con leve hipoalbuminemia. En el uroanálisis
se detectan 20-30 eritrocitos y 3-4 leucocitos por campo de gran aumento
(CGA). Triglicéridos 217 mg/dL, colesterol total 384 mg/dL.
Observe las imágenes de la biopsia
renal.

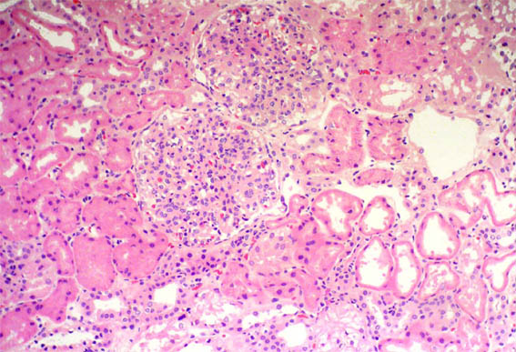
Figura 1.
H&E, X100.

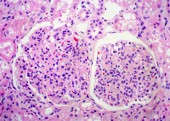
Figura 2.
H&E, X200.

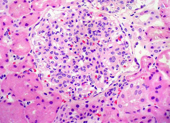
Figura 3.
H&E, X400.

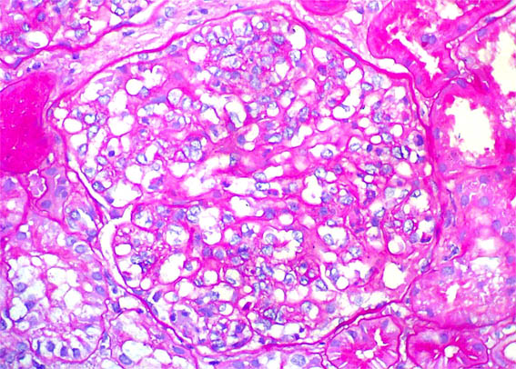
Figura 4.
PAS, X400.

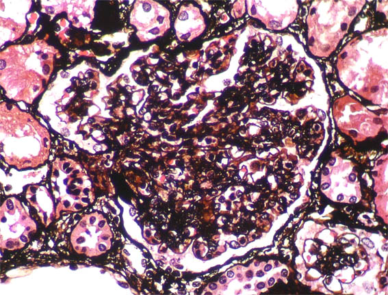
Figura 5.
Plata-metenamina, X400.

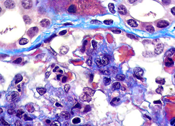
Figura 6.
Tricrómico de Masson, X1.000.

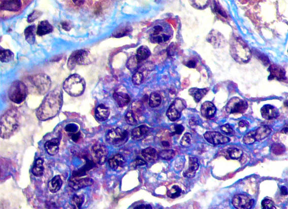
Figura 7.
Tricrómico de Masson, X1.000.

Figura 8.
Inmunofluorescencia directa para IgG, X400.

Figura 9.
Inmunofluorescencia directa para C3, X400.
Inmunofluorescencia para IgA, IgM, C1q,
kappa y lambda: Negativas.
¿Cuál es su diagnóstico?
Ver
diagnóstico y discusión
[Arriba]
|