|
|
CASO
107 (Enero de 2015)
Datos clínicos:
El paciente es un hombre de 27 años de edad que presenta síndrome nefrótico, manifestado con edemas desde hace aproximadamente 5 meses. Es habitante de la calle, sin antecedentes conocidos de enfermedades previas. Consumidor de alcohol, cocaina y marihuana.
Leve anemia hipocrómica. Plaquetas y leucocitos en rangos normales. Creatinina sérica: 1,9 mg/dL, BUN: 28 mg/dL. Pruebas para virus hepatotropos y VIH: negativas. VDRL positivo, con FTA-ABS positivo para lúes. Pruebas de autoinmunidad negativas, complemento sérico normal. Proteinuria: 8,3 g/24h. Albúmina sérica: 1,7 g/dL; proteinas totales: 3,7 g/dL.
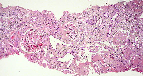
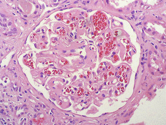
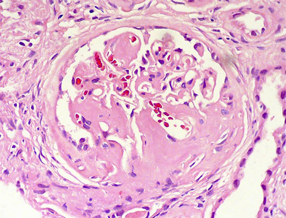
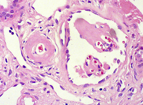
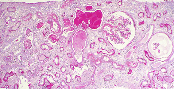
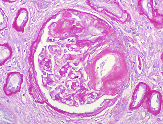
Observe las imágenes de la biopsia renal.

Figura 1.
H&E, X100.

Figura 2.
H&E, X400.

Figura 3.
H&E, X400.

Figura 4. H&E, X400.

Figura 5.
PAS, X100.

Figura 6.
PAS, X400.

Figura 7.
Tricrómico de Masson, X400.

Figura 8.
Tricrómico de Masson, X400.

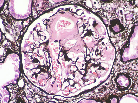
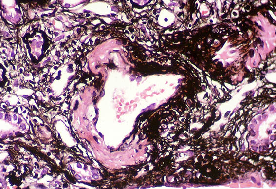
Figura 9. Plata-metenamina, X400.

Figura 10. Plata-metenamina, X400.

Figura 11. Plata-metenamina, X400.
Inmunofluorescencia para IgA, IgG, IgM, C3, C1q, kappa, lambda y fibrinógeno: negativas.
¿Cuál es su diagnóstico?
Ver
diagnóstico y discusión
[Arriba]
|
|