CASO
104 (Octubre de 2014)
Datos clínicos:
Hombre de 62 años. Cuatro meses de pérdida de peso (7 kg), edema de miembros inferiores, leve disnea y orina espumosa. Al examen físico no se encuentran lesiones en piel y no hay alteraciones neurológicas.
Laboratorio: Hb: 7,9 mg/dL, Hto 23%, Plaquetas: 186.000 Creatinina 2,3 mg/dL, BUN 72 mg/dL. Citoquímico de orina: Proteinuria 5 g/24h; sedimento: eritrocitos 3/campo de gran aumento (CGA), leucocitos 10/CGA, no se observan cilindros. Colesterol total 250, trigliceridos 180. Albumina 2,9 g/dL. PTH 55 pg/ml. Calcio sérico 10,4 mmol/L.
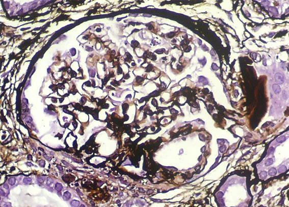
Se hace biopsia renal. Observe las imágenes.

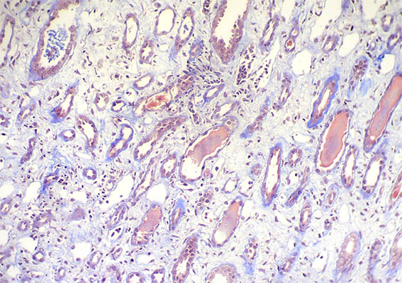
Figura 1.
Tricrómico de Masso, X200.

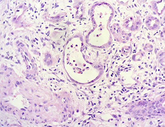
Figura 2.
H&E, X400.

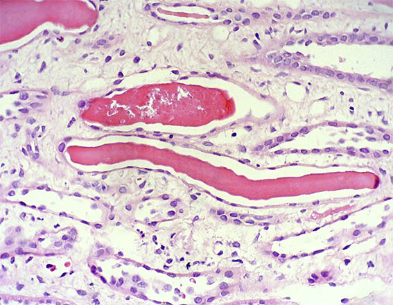
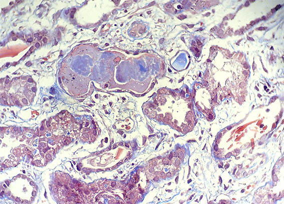
Figura 3.
H&E, X400.

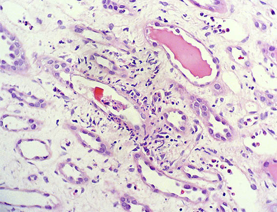
Figura 4. H&E, X400.

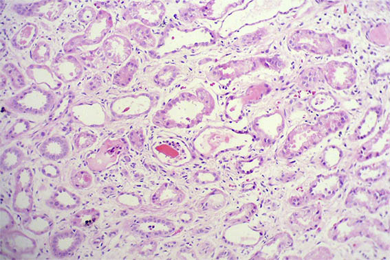
Figura 5.
H&E, X200.

Figura 6.
Tricrómico de Masson, X200.

Figura 7.
Tricrómico de Masson, X400.

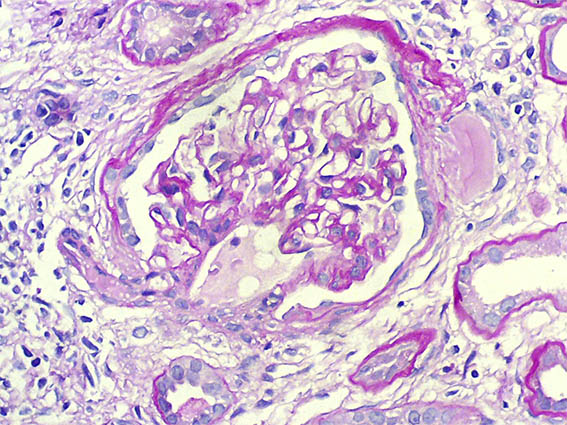
Figura 8.
PAS, X400.

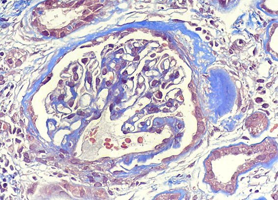
Figura 9.
Tricrómico de Masson, X400.

Figura 10. Plata-metenamina, X400.

Figura 11. Rojo Congo, derecha con luz polarizada. Ambas X400.

Figura 12. Inmunohistoquímica para cadenas likeras kappa (izquierda) y lambda (derecha). Ambas X400.
Inmunofluorescencia para IgA, IgG, IgM, C3 y C1q: negativas.
¿Cuál es su diagnóstico?
Ver
diagnóstico y discusión
[Arriba]
|