Nefropatología
   
Diagnóstico del Caso 36
Con una breve discusión
 
     
English version

CASO 36

Volver a datos clínicos e imágenes Caso 36

Diagnóstico: Rechazo agudo mediado por anticuerpos (sospechoso para o presuntivo)
- Microangiopatía trombótica secundaria

Los criterios diagnósticos básicos del rechazo mediado por anticuerpos (RMA) - o rechazo humoral - son la demostración de C4d en capilares peritubulares e inflamación y/o lesión tisular (Terasaki P, Mizutani K. Clin J Am Soc Nephrol. 2006;1(3):400-3. [PubMed link] [Free full text]). Aun así, de acuerdo con la clasificación de Banff para el rechazo del aloinjerto renal (2007), el diagnóstico definitivo requiere la "demostración de anticuerpos anti donante circulantes"; casos en los que sólo se encuentren dos de los tres criterios se consideran "sospechosos de" RMA.

Los tres criterios son: Evidencia morfológica (lesión tubular aguda, neutrófilos y/o células mononucleadas en capilares peritubulares y/o glomérulos y/o trombosis capilar, necrosis fibrinoide o inflamación transmural o intramural en arterias), evidencia inmunopatológica (depósitos de C4d o inmunoglobulinas en capilares peritubulares) y evidencia serológica (anticuerpos anti donante).

Se han definido tres formas de lesión mediada por anticuerpos: Rechazo hiperagudo, rechazo humoral agudo y rechazo humoral crónico. Una cuarta "forma de rechazo" ha sido propuesta por el Dr. Robert B. Colvin: "acomodación" (i.e. función renal normal con histología normal o cambios menores, y depósitos de C4d en capilares peritubulares).

Los pacientes con RMA agudo presentan disfunción del injerto que a menudo empieza en las primeras semanas post-trasplante y no es clínicamente distinguible del rechazo agudo mediado por céulas T. El RMA agudo puede también desarrollarse años después del trasplante, a menudo asociado a disminución de la inmunosupresión. La presensibilización es el principal factor de riesgo, pero muchos de los pacientes con RMA tienen cross-match negativos. El RMA se ha presentado con cualquiera de los esquemas de inmunosupresión, aún aquellos que conllevan a deplección severa (Colvin RB. J Am Soc Nephrol. 2007;18(4):1046-56. [PubMed link] [Free full text]).

La biopsia renal puede mostrar también signos de rechazo celular agudo, lesión tubular aguda o microangiopatía trombótica (como en nuestro caso).

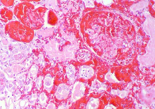
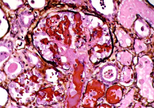
En el caso que presentamos el compromiso vascular es evidenciado también por necrosis hemorrágica del parénquima (ver la Figura 11, abajo). Con la tinción de plata metenamina se ven mejor los microtrombos (Ver Figura 12, abajo).

Figura 11. H&E, X200.

Figura 12. Plata metenamina, X400..

Ver el capítulo: Patología del Trasplante en nuestro Tutorial

Volver a datos clínicos e imágenes Caso 36

Bibliografía

  • Yang YW, Lin WC, Wu MS, Lee PH, Tsai MK. Early diagnosis and successful treatment of acute antibody-mediated rejection of a renal transplant. Exp Clin Transplant. 2008;6(3):211-4. [PubMed link] [Free full text]
  • Solez K, Colvin RB, Racusen LC, et al. Banff 07 classification of renal allograft pathology: updates and future directions. Am J Transplant. 2008;8(4):753-60. [PubMed link]
  • Colvin RB. Antibody-mediated renal allograft rejection: diagnosis and pathogenesis. J Am Soc Nephrol. 2007;18(4):1046-56. [PubMed link] [Free full text]
  • Banasik M, Boratynska M, Nowakowska B, Halon A, Koscielska-Kasprzak K, Drulis-Fajdasz D, Patrzalek D, Weyde W, Klinger M. C4D deposition and positive posttransplant crossmatch are not necessarily markers of antibody-mediated rejection in renal allograft recipients. Transplant Proc. 2007;39(9):2718-20. [PubMed link]
  • Akalin E, Watschinger B. Antibody-mediated rejection. Semin Nephrol. 2007;27(4):393-407. [PubMed link]
  • Racusen LC, Haas M. Antibody-mediated rejection in renal allografts: lessons from pathology. Clin J Am Soc Nephrol. 2006;1(3):415-20. [PubMed link] [Free full text]
  • Terasaki P, Mizutani K. Antibody mediated rejection: update 2006. Clin J Am Soc Nephrol. 2006;1(3):400-3. [PubMed link] [Free full text]

[Arriba]

Volver a datos clínicos e imágenes Caso 36