Afectación renal en diabetes y otras enfermedades metabólicas: hiperuricemia, oxalosis
El riñón es un órgano que frecuentemente se ve afectado en enfermedades sistémicas y, en algunos casos, la severidad del daño renal es factor determinante de la supervivencia del paciente. Entre las enfermedades que agrupamos aquí, la diabetes es la más importante por su frecuencia. Otras enfermedades metabólicas de origen genético serán discutidas en el capítulo de enfermedades hereditarias.
La diabetes mellitus es una de las principales causas de insuficiencia renal terminal. La nefropatía diabética (ND) se presenta en el 25-35% de pacientes con diabetes mellitus insulino-dependientes (DMID) y en un 15-25% de no insulino-dependientes (DMNID); los cambios renales en ambos tipos de diabetes son similares morfológicamente y en cuanto a su fisiopatología. La proteinuria es el principal marcador de la ND y ésta es una de las causas más comunes de síndrome nefrótico.
La patogénesis de la ND no está completamente entendida. La glicación no enzimática de proteínas parece ser uno de los principales mecanismos de lesión glomerular; los productos terminales de la glicación avanzada pueden unirse a grupos amino de otras proteínas, su acumulación en el colágeno y otras proteínas de la matriz puede disminuir la adhesión y replicación de células endoteliales, vasoconstricción por células mesangiales e incrementar la adhesión de lipoproteínas y complejos inmunes a monocitos y macrófagos. Los factores hemodinámicos que llevan a hiperfiltración glomerular son otro mecanismo de daño renal. Se ha sugerido que muchas vías complejas contribuyen a la patobiología de las complicaciones diabéticas, incluyendo la hiperglicemia en sí, la producción de productos finales de glicación avanzada (AGEs) y la interacción con receptores para AGE como el receptor de productos finales de glicación avanzada (RAGE) también como la activación de sistemas vasoactivos como el sistema renina-angiotensina aldosterona y el sistema de endotelina. Más recientemente, se ha planteado la hipótesis de que las especies de oxígeno reactivo derivadas de NAD(P)H oxidasas (Nox) pueden representar un mediador común de lesión vascular en diabetes (Gray SP, et al. The pathobiology of diabetic vascular complications--cardiovascular and kidney disease. J Mol Med (Berl). 2014;92:441-52. [PubMed link]). Tres principales cambios histológicos ocurren en los glomérulos de personas con nefropatía diabética. En primer lugar, la expansión mesangial es directamente inducida por la hiperglicemia, tal vez a través de producción aumentada de matriz o de la glicación de las proteínas de la matriz. En segundo lugar se produce el engrosamiento de la membrana basal glomerular (GBM). Tercero, la esclerosis glomerular es causada por hipertensión intraglomerular (inducida por dilatación de la arteria renal aferente o por lesión isquémica inducida por el estrechamiento hialino de la arteriola aferente). Estos diferentes patrones histológicos parecen tener un significado pronóstico similar (Batuman V. Diabetic Nephropathy. in: eMedicine, consulted on October 9th 2017. [See link])..
Clínica: El hallazgo más temprano de la afectación renal es microalbuminuria que progresa gradualmente hasta proteinuria, usualmente alrededor de los 15 años del inicio de la enfermedad. El retraso en el diagnóstico de la DMNID con respecto al de la DMID puede hacer parecer que la ND se desarrolla más pronto en la DMNID. La ND se desarrolla en aproximadamente un 30% de pacientes diabéticos. El riesgo de ND parece disminuir si no se ha desarrollado 20 años después del inicio de la diabetes, lo que sugiere que exista un grupo de pacientes con susceptibilidad mayor a la afectación renal, probablemente relacionado con predisposición genética. La ND es más frecuente en afroamericanos que en caucásicos con diabetes. La hipertensión arterial sistémica y el tabaco incrementan el riesgo de nefropatía en diabéticos.
La microalbuminuria (30-300 mg/24 horas) es un marcador de lesión renal inicial y se asocia con un desarrollo progresivo de mayores lesiones renales y mayor riesgo de complicaciones cardiovasculares. La detección de una proteinuria más importante (>500 mg/24h) indica el inicio de ND. La severidad de la proteinuria es variable entre pacientes, en un 5-10% hay síndrome nefrótico, y en unos pocos proteinuria masiva (>10 g/24h). Las lesiones renales crónicas evolucionan progresivamente; el daño del tejido renal es complejo y compromete glomérulos, vasos (como en cualquier otro órgano o sistema), intersticio y túbulos. Al progresar las lesiones crónicas se disminuye la reserva funcional y al pasar el límite crítico de lesión parenquimatosa comienzan a detectarse grados variables de insuficiencia renal que continuará progresando hasta la insuficiencia renal crónica terminal. La ND se asocia con retinopatía, siendo más frecuente ésta última en pacientes con DMID: 90%.
La hipertensión es usual en diabéticos. Otros órganos se ven afectados en la enfermedad de una manera variable. En general, a mayor grado de lesiones renales crónicas más avanzadas se esperan las lesiones cardiovasculares y en otros sistemas.
La progresión de las lesiones iniciales en ND depende mucho del control de la glicemia y otros factores de riesgo, de tal manera que el intervalo de tiempo entre las lesiones iniciales y el daño terminal es altamente variable. La ND puede presentarse en injertos renales como recurrencia o como de novo; la ND se desarrolla más rápidamente en el riñón trasplantado que en riñones nativos: en promedio seis años post-trasplante.
Datos de laboratorio: Virtualmente todos los pacientes con ND presentan proteinuria, 5-10% con síndrome nefrótico. En pocos casos hay microhematuria, cuando se detecta debe pensarse en la posibilidad de otras enfermedades glomerulares añadidas a la ND. Los niveles de creatinina sérica y el BUN suelen estar normales al inicio de la ND, pero progresivamente incrementan. En pacientes diabéticos hay propensión a hipoaldosteronismo hiporreninémico y puede haber hipercalemia y acidosis metabólica. Otros exámenes de laboratorio estarán alterados de acuerdo con la afectación sistémica de la enfermedad.
En fases iniciales de la ND puede haber aumento de tamaño de los riñones debido a hiperfiltración e hipertrofia; en estadios avanzados habrá atrofia con disminución de tamaño y disminución o pérdida de la diferenciación cortico-medular.
Histopatología
Las lesiones más iniciales son hipertrofia glomerular, expansión mesangial leve (matriz) y engrosamiento de las paredes capilares, estos cambios son más evidentes con microscopía electrónica. Al progresar las lesiones hay aumento, también, de la celularidad mesangial; este incremento llega hasta la formación de nódulos en el penacho. Los nódulos son de tamaño variable en un mismo glomérulo y afectan de una manera heterogénea los diferentes glomérulos (glomeruloesclerosis nodular diabética). Los nódulos son conocidos como nódulos de Kimmelstiel-Wilson. Son esféricos, eosinofílicos, con un área central acelular y pueden estar rodeados por un anillo celular. Tiñen azul o verde con el tricrómico y son positivos con las tinciones de PAS y plata-metenamina. Los nódulos son de dos tipos morfológica y patogénicamente: unos son pequeños, mesangiales (o intercapilares) y los otros son grandes con aspecto laminado en la tinción de plata (Figuras 1, 2, 3, 4). Los grandes se formarían a partir de capilares glomerulares dilatados (microaneurismas, >35 micras de diámetro) que generarían lesión en la pared capilar, trombosis y proliferación de matriz colágena (Stout LC, et al., Hum Pathol; 24:77-89, 1993 [PubMed link]) (Figuras 3 y 4). Los pequeños se ven como una acentuación redondeada de la matriz mesangial y tiñen más intensamente con el PAS que los nódulos grandes y laminados. La presencia de estos nódulos: grandes y pequeños, algunos laminados, con tamaño y distribución variable en el glomérulo y entre los glomérulos, es "virtualmente patognomónica" de ND, aunque hay descritos casos idiopáticos con histología similar (Markowitz GS et al., Hum Pathol 33:826-35, 2002 [PubMed link]; Chang CS, et al., Clin Nephrol 64:300-4, 2005 [PubMed link]; Navaneethan SD, et al., J Nephrol 18:613-5, 2005 [PubMed link] [Free full text]). Los nódulos vistos en la enfermedad por depósitos de cadenas ligeras pueden ser parecidos, pero más homogéneos en tamaño y distribución y tiñen más débilmente, o son negativos, con la tinción de plata; los nódulos de la amiloidosis no tiñen con la plata y son positivos para rojo congo. La IF también ayuda en el diagnóstico diferencial.
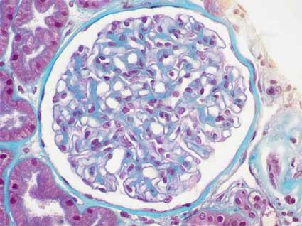
En ND los glomérulos presentan incremento (esclerosis) de la matriz mesangial intercapilar, con aumento progresivo del engrosamiento de paredes capilares y posterior evolución a glomeruloesclerosis global (Figura 5).

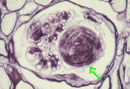
Figura 1. Un glomérulo con lesiones nodulares de Kimmelstiel-Wilson. Los nódulos más pequeños pueden ser más celulares y los más grandes tienden a ser acelulares en el centro y rodeados por zonas más celulares. Alrededor de estos nódulos se ven capilares, a veces adoptando un aspecto en guirnalda (como en los tres nódulos señalados con flechas); en algunos casos vemos microaneurismas alrededor de nódulos. Note la variabilidad de tamaño de los nódulos (H&E, X400).

Figura 2. Nódulos de Kimmelstiel-Wilson que resaltan con el PAS; los nódulos glomerulares en la amiloidosis y en la enfermedad por depósitos cde cadenas ligeras tiñen más debilmente con esta coloración. (PAS, X400).

Figura 3. Los nódulos grandes suelen tener un aspecto laminado (flecha) que se hace más notorio con la tinción de plata (Figura 4). Se cree que estos nódulos tienen un mecanismo fisiopatogénico diferente (ver texto). Note la gran variabilidad en el tamaño de nódulos en este glomérulo, algo que no suele suceder en amiloidosis ni en enfermedad por depósito de cadenas ligeras. (Tricrómico de Masson, X400).

Figura 4. El nódulo mayor en esta microfotografía resalta la prominente laminación concéntrica con la tinción de plata (flecha). Este hallazgo es muy característico de la glomeruloesclerosis nodular diabética. (Plata-metenamina, X400).

Figura 5. En muchos de los glomérulos la lesión de ND se limita a engrosamiento mesangial (global o segmentario) y engrosamiento difuso de las paredes capilares. Note en esta microfotografía la prominencia de los tallos mesangiales. Además hay aumento del grosor de la basal de la cápsula de Bowman. (Tricrómico de Masson, X400).
Otras dos lesiones glomerulares, llamadas exudativas (al igual que la hialinosis arteriolar), son la gota capsular y la hialinosis glomerular. La primera es un depósito homogéneo, hialino, en la cápsula de Bowman, suele ser redondeado o elongado y es altamente sugerente de ND, aunque no patognomónico (puede verse muy ocasionalmente en hipertensión y otras lesiones glomerulares nodulares idiopáticas). La hialinosis glomerular resulta de la extravasación de componentes plasmáticos que se acumulan en segmentos periféricos del penacho capilar, es también llamada gorro hialino o gorro de fibrina ("hyalin cap" o "fibrin cap") (Figuras 6, 7 y 8). En muchos casos con lesions típicas se evidencian microaneurismas producidos por mesangiolisis (Figuras 8 y 9).

Figura 6. Las lesiones exudativas de la ND incluye la hialinosis glomerular (flecha verde). En este caso se acompaña de varios nódulos de Kimmelstiel-Wilson (dos de ellos marcados con flechas rojas). Observe, además, algunos túbulos atróficos con basales notoriamente gruesas (flechas azules). (Tricrómico de Masson, X400).

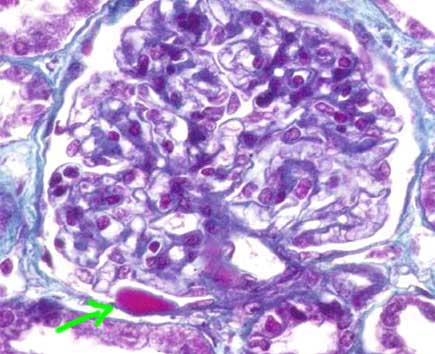
Figura 7. En este glomérulo hay leve incremento de la matriz mesangial. La flecha señala una hermosa gota capsular, otra de las lesiones exudativas de la ND; lesión "casi" patognomónica de esta glomerulopatía (ver texto. En esta imágen la vemos fuschinofílica (roja), pero en otros casos puede verse de un tono verde o azul; compare con las gotas capsulares de la Figura 8. (Tricrómico de Masson, X400).

Figura 8. En esta imagen podemos ver cuatro alteraciones de la ND: ensanchamiento mesangial por expansión de la matriz; hialinosis arteriolar, en este caso nodular (flechas azules); dos gotas capsulares, una en cada glomérulo (flechas rojas, delgadas); y microaneurismas (flechas verdes), lesiones frecuentes en ND que se suelen asociar a áreas focales de mesangiolisis. (Tricrómico de Masson, X400).
En túbulos hay cambios inespecíficos: reabsorción de gotitas proteicas, atrofia y daño tubular. Las membranas basales de túbulos atróficos son característicamente muy gruesas, usualmente más que en otras causas de atrofia tubular; este cambio es otra de las alteraciones que pueden hacernos pensar en ND (Figura 10). El cambio de Armani-Ebstein (o células de Armani-Ebstein) consiste en depósitos de glucógeno en las células epiteliales tubulares (pars recta del túbulo contorneado proximal y asa de Henle); es muy raro verlo en la actualidad; se presenta en diabéticos descompensados con glicemias superiores a 500 mg/dL y se debe a la glucosuria severa; es una alteración reversible sin manifestaciones funcionales. Más inusual es encontrar lesiones exudativas en túbulos proximales, adheridas a la membrana basal, algo similares a la gota capsular: Ver Caso 187 de nuestra serie de Casos: Lesiones "insudativas" tubulares en nefropatía diabética. En intersticio hay cambios crónicos inespecíficos.
En vasos suele haber lesiones notorias; el cambio más característico es el engrosamiento hialino intimal de arteriolas, a veces nodular (Figuras 8 y 9). Si es muy prominente debe alertarnos sobre la posibilidad de ND sobre todo en jóvenes. Las lesiones arteriolares pueden comprometer cualquier arteriola; si evidenciamos en un glomérulo determinado hialinosis en la arteriola aferente y en la eferente es virtualmente patognomónico de ND. En arterias hay fibrosis intimal (arterioesclerosis), pero no se diferencia de la que se produce en otras enfermedades.

Figura 9. En esta imagen podemos ver una hialinosis arteriolar prominente, con formación de nódulos que remplazan la media de la arteriola glomerular (flecha azul). El penacho muestra ensanchamiento de la matriz mesangial y un microaneurisma capilar en el que parece haberse perdido parte del mesangio que lo sostenía: mesangiolisis (flecha verde). (Tricrómico de Masson, X400).

Figura 10. Otra de las lesiones características en la ND es el prominente engrosamiento de basales de túbulos atróficos (y de la cápsula de Bowman - ver Figura 5). Cuando encontramos este hallazgo debemos pensar en la posibilidad de nefropatía diabética, aunque no es un hallazgo específico de ella. (Tricrómico de Masson, X400).
La ND es una enfermedad muy común y cualquier tipo de glomerulopatía puede superponerse a la ND. La necrosis papilar es una complicación que puede presentarse en diabéticos, principalmente en pacientes con glomeruloesclerosis nodular, alteraciones vasculares significativas y pielonefritis.
Ver el Caso 47 de nuestra serie de casos, como un buen ejemplo de Nefropatía diabética.
Inmunofluorescencia
El cambio más característico es la presencia de depósitos lineales de IgG y albumina en paredes de capilares glomerulares y, en menor medida, basales tubulares y cápsula de Bowman. La tinción suele ser más débil que en enfermedad anti-MBG y no se acompañan de depósitos de complemento (Figura 11). Esta inmunotinción se cree que es debida a adhesión inespecífica y no a reacción inmunológica. En lesiones hialinas puede haber "atrapamiento" de IgM y C3 como en otras lesiones focales y segmentarias. Pueden también detectarse positividad lineal para cadenas ligeras kappa y lambda. Algunos autores prefieren llamar a esta tinción "pseudolineal" o "acentuación lineal de la membrana basal" más que "positividad lineal".

Figura 11. Por inmunofluorescencia es frecuente encontrar depósitos de IgG que se acompañan de albúmina y adoptan un patrón parietal lineal (o "pseudolineal") la tinción suele ser más tenue que en la enfermedad anti-MBG. Este hallazgo puede también verse en basales tubulares. No suele verse inmunotinción con fracciones del complemento. La tinción lineal con albúmina ayuda a diferenciarla de la enfermedad anti-MBG. Las flechas rojas indican algunas paredes capilares con inmunotinción lineal; la flecha azul clara señala un nódulo diabético. (Inmunofluorescencia directa para IgG con anticuerpos anti-IgG humana marcados con fluoresceína, X400).
Microscopía electrónica
Se hace evidente la expansión mesangial debida primordialmente a incremento de la matriz extracelular; los nódulos se ven de similar aspecto al mesangio, algo electron-densos. La MBG se ve difusamente engrosada, este engrosamiento es progresivo y puede llegar a ser superior a los 1.000 nm. La MBG puede verse con aspecto fibrilar y puede aparecer laminada. El engrosamiento de la MBG es consecuencia de la acumulación de la matriz extracelular, con un aumento de depósitos de componentes normales de la matriz extracelular tales como colágeno tipo IV y VI, laminina y fibronectina. Dichas acumulaciones resultan del aumento de la producción de estas proteínas, disminución de su degradación o una combinación de ambas. Las membranas basales tubulares también muestran este engrosamiento. Algunas veces puede verse interposición mesangial de células en la pared capilar (focal); los depósitos hialinos se ven densos, como los acúmulos de proteínas plasmáticas extravasadas.[Ver imagen ME; note el marcado engrosamiento homogéneo de la MBG (link)]

Figure 11b. Engrosamiento difuso de la membrana basal glomerular. Éste es el cambio más temprano que se ve en la biopsia del riñón. Puede presentarse como un cambio ultraestructural aislado, sin alteraciones clínicas o de laboratorio. Observe la normalidad de los pedicelos. Una MBG engrosada también puede encontrarse con el envejecimiento o la hipertensión. (ME, aumento original, X6.000).
En 2010 se publicó un sistema de clasificación que contiene categorías específicas que discriminan las lesiones con diversa severidade e implicaciones de pronóstico y que sería fácil de usar. Esta propuesta fue lanzada por el Comité de Investigación de la Renal Pathology Society en 2006 en San Diego y discutida en Leiden en septiembre de 2008 y presentada como una clasificación de consenso de ND desarrollada por un grupo de expertos internacionales (Tervaert TW, et al. Pathologic Classification of Diabetic Nephropathy. J Am Soc Nephrol. 2010;21(4):556-63 [PubMed link]). En esta clasificación las alteraciones glomerulares se clasifican de I a IV y las lesiones tubulointersticiales y vasculares se clasifican separadamente:
Clasificación glomerular de la nefropatía diabética (ND):
Clase I: Cambios leves o inespecíficos en la microscopia de luz y engrosamiento de la MBG demostrado por microscopía electrónica (ME). - La biopsia no cumple ninguno de los criterios mencionados a continuación para las clases II, III o IV. MBG >395 nm en mujeres y >430 nm en hombres. Ver el Caso 169 de nuestra serie de casos: Nefropatía diabética temprana.
Clase IIa: Expansión mesangial leve. - La biopsia no cumple con los criterios para la clase III o IV. Expansión mesangial leve en el 25% del mesangio observado.
Clase IIb: Expansión mesangial severa. - La biopsia no cumple con los criterios para la clase III o IV. Expansión mesangial severa en el 25% del mesangio observado.
Clase III: Esclerosis nodular (lesion de Kimmelstiel– Wilson). - a biopsia no cumple con los criterios para la clase IV. Al menos una lesión conviencente de Kimmelstiel– Wilson.
Clase IV: Glomerulosclerosis diabética avanzada. Esclerosis glomerular global en 50% de glomérulos. Puede haber lesiones de clase I a III.
La expansión mesangial se define como un aumento en el material extracelular en el mesangio de tal manera que la anchura del área mesangial excede dos núcleos de células mesangiales en al menos dos lóbulos glomerulares. La diferencia entre expansión mesangial leve y severa se basa en si el área mesangial expandida es menor o mayor que el área media de una luz capilar.
Además se gardúa la fibrosis intersticial y atrofia tubular (IFTA): 0: No IFTA; 1: <25%; 2: 25-50%, 3: >50%.
Inflamación intersticial: 0: ausente; 1: sólo en relación con IFTA; 2: En áreas sin IFTA.
Hialinosis arteriolar: 0: ausente; 1: al menos un área con hialinosis arteriolar; 2: más de un área con hialinosis arteriolar.
Arteriosclerosis (se gradúa la arteria más afectada): 0: no hay engrosamiento intimal; 1: engrosamiento intimal menor del grosor de la media; 2: engrosamiento intimal mayor del grosor de la media.
Esta clasificación requiere un mayor refinamiento de los criterios para distinguir la alteración mesangial clase IIa (leve) frente a IIb (grave) y la reconsideración de la utilidad clínica de hacer un diagnóstico de glomeruloscleorsis diabética clase I. Además, existen controversias relacionadas con la falta de especificidad, reproducibilidad, validación y relevancia para la práctica clínica (Stokes MB. Classification Systems in Renal Pathology: Promises and Problems. Surg Pathol Clin. 2014;7(3):427-41 [PubMed link]).
La hiperuricemia puede comprometer el riñón produciendo: nefropatía uricémica, nefropatía crónica por uratos y cálculos renales de ácido úrico. La primera se produce cuando hay lisis tumoral masiva después de quimioterapia para leucemias y linfomas de alto grado. La segunda es una enfermedad crónica en el contexto de hiperuricemia persistente o recurrente (como enfermedad metabólica); y la tercera también se produce en la enfermedad metabólica; las alteraciones renales son consecuencia de la obstrucción.
En la nefropatía uricémica aguda (por lisis tumoral masiva) hay precipitados de urato monosódico formando cristales en túbulos colectores, destrucción del epitelio y reacción de tipo cuerpo extraño.
La nefropatía crónica por uratos no es universalmente aceptada como una enfermedad específica; cuando se presentan los hallazgos histológicos característicos aislados, sin otras alteraciones, no suele haber insuficiencia renal, ésta se desarrolla principalmente si se asocia a hipertensión o a intoxicación por plomo. En la mayoría de los casos no es una lesión que cause falla renal.
Macroscópicamente pueden verse estrias amarillentas que corresponden a los depósitos de cristales. Microscópicamente la lesión se caracteriza por depósitos de cristales en túbulos y conductos colectores y pueden romper la basal y salir al intersticio generando inflamación, reacción gigantocelular y fibrosis. Los cristales son solubles en agua, por lo que se requiere procesamiento en soluciones no acuosas como alcohol. Tienen forma de aguja, aunque también pueden verse rectanglares o amorfos (Figura 13); son birrefringentes con luz polarizada; ellos se ven, muchas veces, en pequeños acúmulos irregulares en la médula, rodeados por células gigantes e histiocitos (Figura 12).

Figura 12. Depósitos medulares intersticiales por cristales de urato en la nefropatía crónica por uratos. Los cristales suelen perderse en el procesamiento rutinario del tejido, pero queda su sombra, las células gigantes multinucleadas que los rodean y la agrupación particular que adoptan en el tejido. Este hallazgo es relativamente frecuente en riñones de personas mayores; estos depósitos no suelen producir insuficiencia renal. (Tricrómico de Masson, X400).

Figura 13. Cristales de ácido úrico. Este extendido fue obtenido por aspiracioón de un tofo subcutáneo en antebrazo, de un paciente con diagnóstico de gota. Observe la forma de aguja de los cristales. Ellos se disuelven en soluciones acuosas, por lo que para observarlos se debe hacer examen directo o fijar con alcohol. (observación directa del extendido con luz polarizada, X400)
Oxalosis es el depósito patológico de oxalato en tejidos, puede ocurrir en el riñón y otros órganos. La toxicidad puede producirse por hiperoxalemia e hiperoxaluria; la principal causa es hiperabsorción gastrointestinal (en sprue celíaco, resección ileal, insuficiencia pancreática, síndrome del intestino corto e enfermedad inflamatoria intestinal) asociada a malabsorción de sales biliares (la mayor cantidad de sales biliares que llegan al colon incrementan la absorción de oxalato). También puede haber hiperoxalemia en envenenamiento con etilenglicol. También existe la enfermedad genética debida a deficiencias enzimáticas o a hiperabsorción de oxalato.
La hiperoxalemia aguda produce depósitos de cristales de oxalato de calcio en las luces tubulares, los cristales son irregulares, laminados o en forma de abanico; son incoloros con tinciones de rutina y birrefringentes con luz polarizada. Las lesiones crónicas se deben a ruptura de basales tubulares y depósitos intersticiales con reacción inflamatoria y fibrosis. Estos cristales se conservan en el tejido procesado de manera rutinaria (Figura 14).
En cualquier caso de falla renal aguda pueden depositarse estos cristales, por lo cual ellos no son patognomónicos de la enfermedad. Según algunos autores, el único criterio histológico que permitiría confirmar que se trata de una oxalosis primaria (genética), serían los depósitos de cristales en la pared de pequeñas arterias renales (Colvin RB. Renal transplant patholgy. En: Heptinstall's Pathology of the Kidney, 5º ed.; Lippincott-Raven, Philadelphia, 1998, p. 1.509).

Figura 14. Nefrectomía de trasplante renal por rechazo crónico. Hay extensos depósitos de oxalato de tamaño y formas variables; ocupan principalmente túbulos distales y, en menor cantidad, pueden verse en el intersticio, a veces con reacción gigantocelular de tipo cuerpo extraño. Los asteriscos señalan túbulos proximales, los cuales no suelen contener estos cristales. Este hallazgo, así sea severo, no indica oxalosis; son depósitos frecuentes e inespecíficos en casos de falla renal de riñón nativo o del injerto. (H&E vista con luz polarizada, X200).
Agradeciemientos: Muchas de las microfotografias de esta página han sido obtenidas de biopsias del Departamento de Anatomía Patológica del Hospital Clínico San Carlos de Madrid y de la Universidad Complutense, gracias a la amabilidad de la Dra. Dña. Julia Blanco.
Bibliografía reciente
Nefropatía diabética y otras enfermedades metabólicas
Nefropatía hiperuricémica
Oxalosis