CASO
187 (septiembre de 2021)
Caso preparado por:
Boonyarit Cheunsuchon, MD
Associate professor
Department of Pathology, Siriraj Hospital
Mahidol University
Bangkok, Tailandia
Datos clínicos:
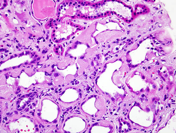
Una paciente de 41 años con diabetes mellitus de larga evolución desarrolló síndrome nefrótico abrupto, por lo que se le realizó una biopsia renal. La biopsia muestra nefropatía diabética avanzada sin GN superpuesta.
En una zona se identificaron lesiones tubulares como las que se ven en las siguientes imágenes:

Figura 1. H&E, X400. Note el material que hay en algunos túbulos.

Figura 2. Tricrómico de Masson, X400.

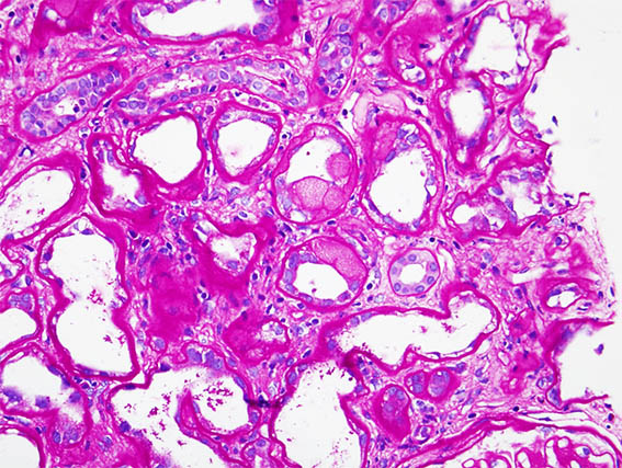
Figura 3.
PAS, X400.

Figura 4. Plata-metenamina, X400.
Inmunofluorescencia directa: positividad lineal para IgG en basales tubulares y glomerulares (característica de nefropatía diabética), sin otros depósitos. La tinción para kappa y lambda fue similar a la de IgG. Tinción de rojo Congo: negativa.
¿Qué son estas lesiones tubulares?
Ver
diagnóstico y discusión
[Arriba]
|