CASO
47 (Enero de 2010)
Datos clínicos
Una paciente de 56 años de edad
murió debido a choque séptico originado en infección
pulmonar.
En la autopsia se detectan prominentes
alteraciones renales.
En las siguientes imágenes histológicas
de sus riñones hay una lesión patognomónica. ¿Cuál
es la enfermedad y cuál la lesión patognomónica?

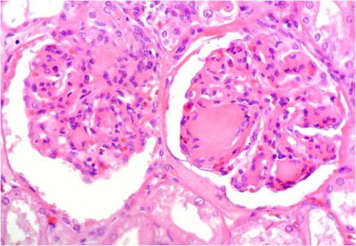
Figura 1.
H&E, X400.

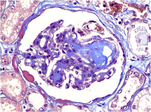
Figura 2.
Tricrómico de Masson, X400.

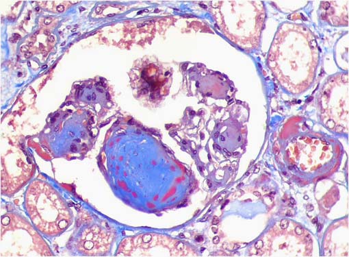
Figura 3.
Tricrómico de Masson, X400.

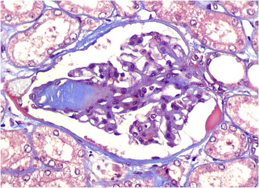
Figura 4.
Tricrómico de Masson, X400.

Figura 5.
Plata metenamina, X400.

Figura 6.
Plata metenamina, X400.

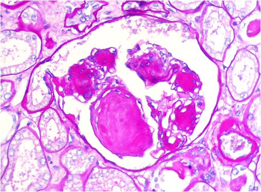
Figura 7.
PAS, X400.

Figura 8.
Tricrómico de Masson, X400.

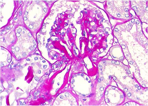
Figura 9.
PAS, X400.
¿Cuál es el cambio
patognomónico?
¿Y cuál es la enfermedad?
Ver
diagnóstico y discusión
[Arriba]
|