|
|
CASO
61 (Marzo 2011)
Datos clínicos
Paciente de 59 años, masculino.
Hipertensión arterial sistémica diagnosticada dos años
antes. Es evaluado por Nefrología porque encontraron proteinuria
en el uroanálisis de una orina ocasional: 100 mg/dL. No tenía
diagnóstico de diabetes mellitus, pero hace 1 mes glicemia de 184
mg/dL, ahora de 146 mg/dL. Hemoglobina glicosilada (HbA1c): 8,1% (3,8%
- 6,4%). Creatinina 1,1 mg/dL, BUN: 15 mg/dL; calcio sérico normal;
proteinuria en 24 horas de 1,6 g/24 horas. Depuración de creatinina:
75 mg/m2/h. Citoquímico de orina sin eritrocitos, leucocitos o
cilindros.
Al examen físico: Buen estado
general, sin edemas; presión arterial: 135/85. No alteraciones
cutáneas. Fondo de ojo normal: no hay retinopatía.
Debido a la proteinuria no nefrótica,
con muy poco tiempo desde el diagnóstico de la diabetes, se decide
tomar biopsia renal para aclarar causa de la proteinuria. Observe
las imágenes.

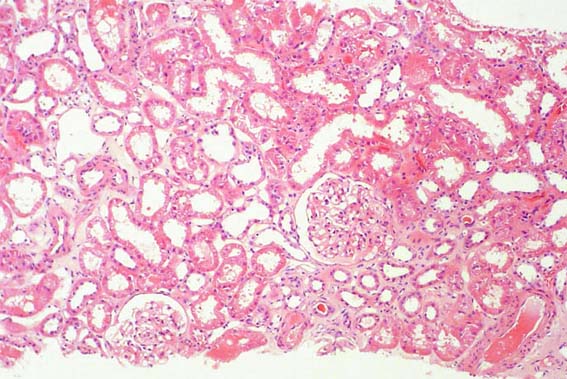
Figura 1.
H&E, X100.

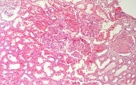
Figura 2.
H&E, X100.

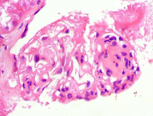
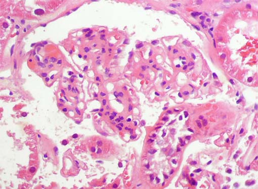
Figura 3.
H&E, X400.

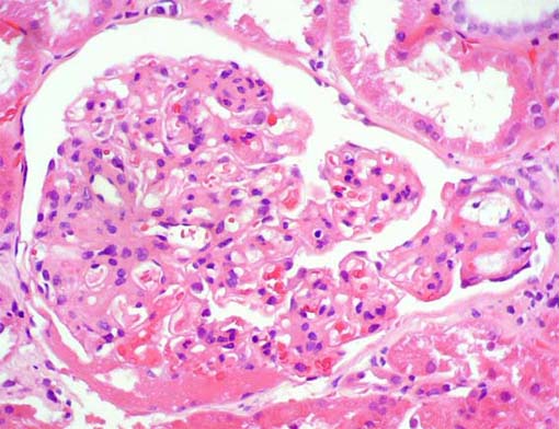
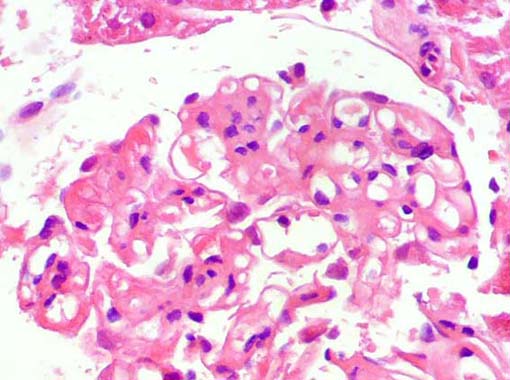
Figura 4.
H&E, X400.

Figura 5.
H&E, X400.

Figura 6.
H&E, X400.

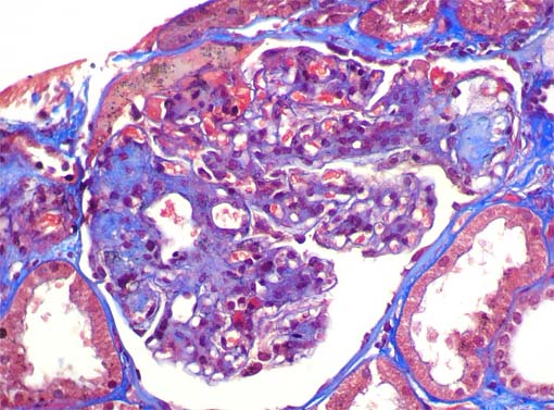
Figura 7.
Tricrómico de Masson, X400.

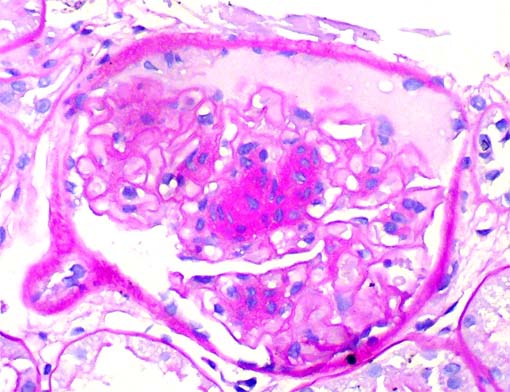
Figura 8.
PAS, X400.

Figura 9.
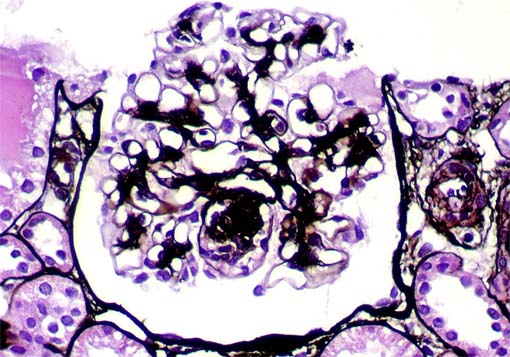
Plata-metenamina, X400.

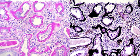
Figura 10.
Izquierda: PAS; derecha: plata-metenamina; ambas X400.

Figura 11.
Inmunofluorescencia directa para IgG, X400. Positividad
(atrapamiento) lineal (o pseudolineal).

Figura 12.
Inmunofluorescencia directa para IgM, X400. Mesangial
focal y segmentaria.

Figura 13.
Inmunofluorescencia directa para C3, X400. Positividad
focal y segmentaria.
Inmunofluorescencia para IgA y C3: negativas.
¿Cuál es su diagnóstico?
Ver
diagnóstico y discusión
[Arriba]
|
|