CASO
54 (Agosto de 2010)
Datos clínicos
Mujer de 33 años de edad. Insuficiencia
renal crónica de causa desconocida de 6 años de evolución,
que se detectó en un embarazo. Luego de 6 años llega a hemodiálisis.
Después de 3 meses de diálisis es trasplantada de una donante
cadavérica de 45 años de edad, quien falleció por
enfermedad cerebrovascular hemorrágica.
La donante tenía antecedente de
HTA crónica en tratamiento médico. Estuvo en UCI 48 horas
antes del diagnóstico de muerte cerebral. HTA de difícil
control durante el tiempo que estuvo en UCI. Creatinina sérica
al ingreso 1,0 mg/dL, y se elevó hasta 1,5 mg/dL 48 horas después.
Tiempo de isquemia fría: 21 horas.
Inmunosupresión: Alemtuzumab, cisclosporina, micofenolato, prednisona.
Postoperatorio inmediato: Buena diuresis:
5.600 mL el primer día. La creatinina no disminuye y requiere diálisis
los primeros 6 días, por lo que se hace biopsia renal (Figuras
1-7).
El compañero de donante (quien
recibió un riñón del mismo donante): es un hombre
de 54 años; insuficiencia renal por enfermedad renal poliquística
autosómica dominante (del adulto). Tiempo de isquemia: 16 horas.
También presentó retraso en el inicio de la función
y requirió hemodiálisis la primera semana; se biopsió
a los 7 días del trasplante (Figuras 8-11).
C4d: Negativo en ambas biopsias.
Observe las imágenes.

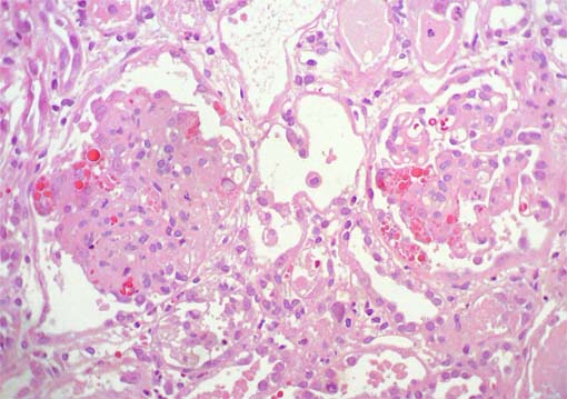
Figura 1.
H&E, X200

Figura 2.
H&E, X400.

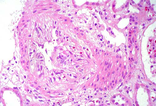
Figura 3.
H&E, X400.

Figura 4.
Plata-metenamina, X400.

Figura 5.
Plata-metenamina, X400.

Figura 6.
H&E, X400.

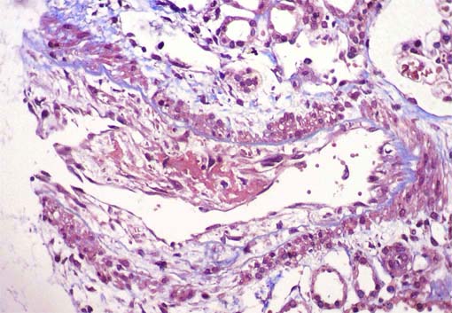
Figura 7.
Tricrómico de Masson, X400.

Figura 8.
Del otro receptor del mismo donante. H&E, X200.

Figura 9.
Del otro receptor del mismo donante. Izda: Tricrómico de Masson,
X400, Plata-metenamina, X400.

Figura 10.
Del otro receptor del mismo donante. Izda: Tricrómico de Masson,
X400, Plata-metenamina, X400.

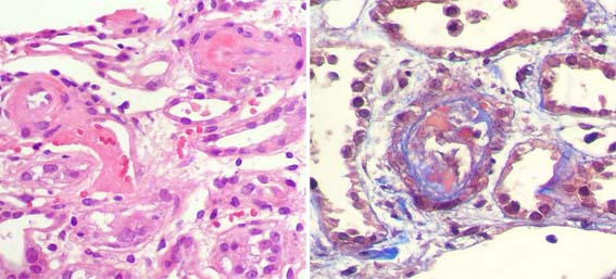
Figura 11.
Del otro receptor del mismo donante. Izq: H&E, X400; Dcha: Tricrómico
de Masson, X400.
¿Cuál es su diagnóstico?
Ver
diagnóstico y discusión
[Arriba]
|