CASO
26 (abril 2008)
Datos clínicos
Mujer de 17 años de edad. Evaluada
en consulta ambulatoria por 4 meses de edema progresivo hasta anasarca.
Presenta disminución del volumen urinario y poliartralgias ocasionales,
sin eritema ni derrame articular. PA: 160/100, Edema grado III en miembros
inferiores y edema facial.
Citoquímico de orina: Proteínas:
3,180 g/24h; eitrocitos: 60/campo de gran aumento; leucocitos: 15 CGA.
Creatinina sérica: 1,17 mg/dL; depuración de creatinina:
50 ml/min; BUN: 24 mg/dL; anemia normocítica normocrómica.
Pruebas para hepatitis B y C, y para HIV: negativas. C3: 32 mg/dL (90-180);
C4: 4 mg/dL (10-40).
Se detecta derrame pleural bilateral.
¿Cuál es su diagnóstico
clínico?
Obsreve las imágenes de la biopsia
renal.

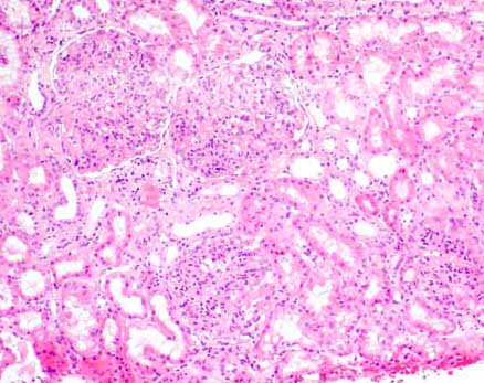
Figura 1.
H&E, X100.

Figura 2.
H&E, X400.

Figura 3.
Tricrómico de Masson, X400.

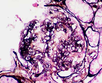
Figura 4.
Plata-metenamina, X400.

Figura 5.
Plata-metenamina, X400.

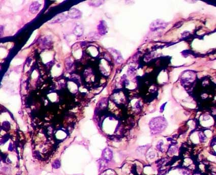
Figura 6.
Plata-metenamina, X600.

Figura 7.
Izquierda: inmunofluorescencia directa para IgA, X400;
derecha: inmunofluorescencia directa para IgG,
X400.

Figura 7.
Izquierda: inmunofluorescencia directa para C3, X400;
derecha: inmunofluorescencia directa para C1q,
X400.
Inmunofluorescencia directa para IgM:
positividad parietal difusa, débil, similar a la imagen mostrada
para C1q.
¿Cuál es su diagnóstico?
Ver
diagnóstico y discusión
[Arriba]
|