|
|
CASO
220 (junio de 2024)
Datos clínicos:
Un niño de 14 años presenta síndrome nefrítico, la madre relata un año de edemas intermitentes, con orinas colúricas, cefalea ocasional, sin otros síntomas. Al examen físico hipertenso, con edema facial y en miembros inferiores, sin lesiones en piel.
En paraclínicos hemoleucograma normal, cretinina sérica: 1,8 mg/dL, BUN: 32 mg/dL, proteinuria 3,9 g/24h, sedimento con 25 eritrocitos/CGA, sin leucocituria. Albúmina sérica: 2,4 g/dL. Dislipidemia. ANAs y anti-DNA negativos, C3: 22 mg/dL (88-180) C4: 16 mg/dL (15-40), estudios para virus negativos, AELOS normales.
Se hace biopsia renal. Observe las imágenes.

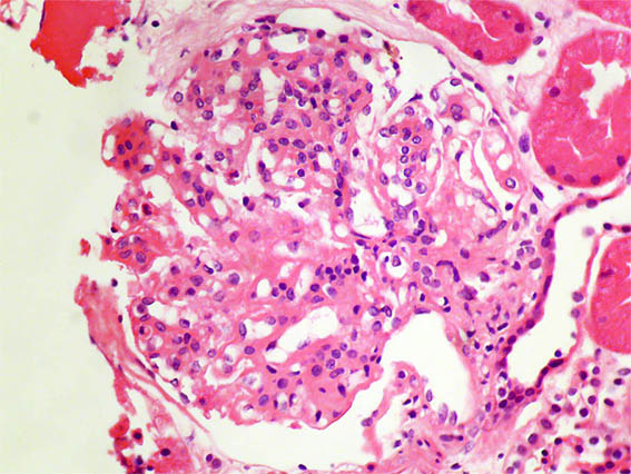
Figura 1. H&E, X400.

Figura 2. H&E, X400.

Figura 3.
H&E, X400.

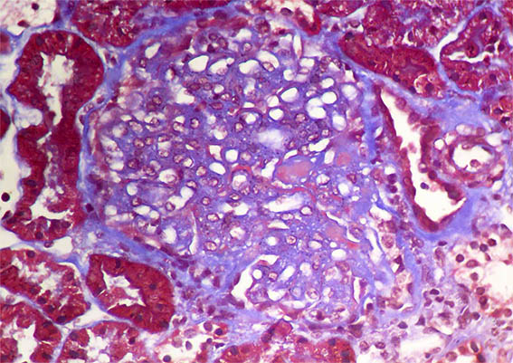
Figura 4. Tricrómico de Masson, X400.

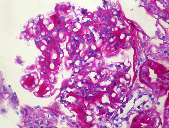
Figura 5. PAS, X400.

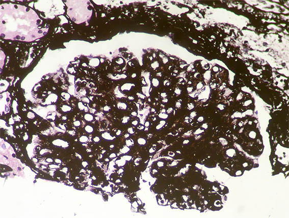
Figura 6. Plata-metenamina, X400.

Figura 7. H&E, X400. Intersticio con macrófagos espumosos.

Figura 8. Inmunofluorescencia directa para IgG, X400. Negativa.
Figura 9. Inmunofluorescencia directa para C3, X400. Positividad subendotelial y mesangial fuerte y difusa.

Figura 10. Otra imagen de la inmunofluorescencia para C3, X400.

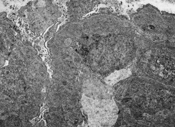
Figura 11. Microscopía electrónica, aumento original, X4.000. Observe el daño podocitario extenso, el severo engrosamiento de las paredes capilares, aumento de las células endoteliales y áreas más electron-densas subendoteliales.

Figura 12. Microscopía electrónica, aumento original, X4.000. Daño segmentario de la pared capilar, con un doble contorno.

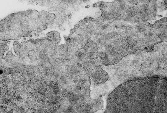
Figura 13. Microscopía electrónica, aumento original, X6.000. Membrana basal engrosada con material electron-denso subendotelial que alterna con pequeñas áreas más electron-lúcidas.

Figura 14. Microscopía electrónica, aumento original, X8.000. Membrana basal irregular, engrosada, mal definida.
Inmunofluorescencia directa para IgA, IgG, IgM y C1q: Negativas.
¿Cuál es su diagnóstico?
Ver
diagnóstico y discusión
[Arriba]
|
|