CASO
218 (abril de 2024)
Datos clínicos:
Un hombre de 58 años presentó trauma por caída en bicicleta con fractura de tibia y peroné, la cual fue tratada quirúrgicamente, presentando semanas después infección de la herida quirúrgica, además elevación de la craetinina sérica: 1,9 mg/dL, con microhematuria y proteinuria de 2,3 g/24 horas. Complemento sérico: C3: 52 mg/dL (88-180), C4: 15 mg/dL (12-39). ANAs, anti-DNA y ANCAs: negativos. VIH y virus hepáticos: negativos.
Observe las imágenes de la biopsia renal.

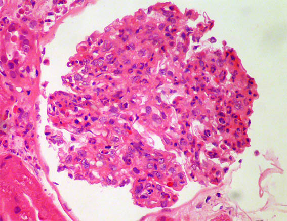
Figura 1. H&E, X400.

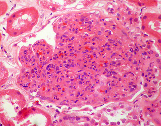
Figura 2. H&E, X400.

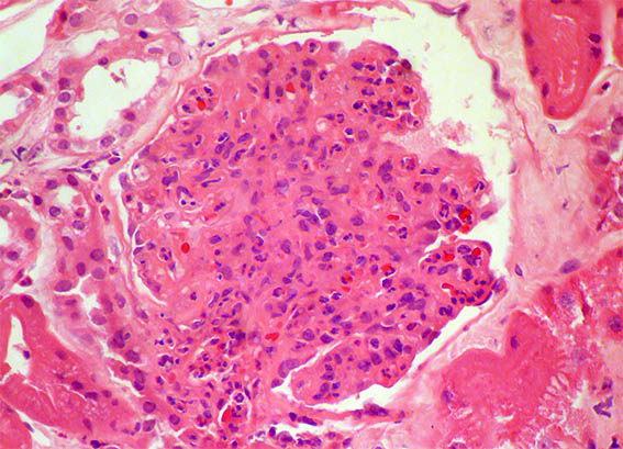
Figura 3.
H&E, X400.

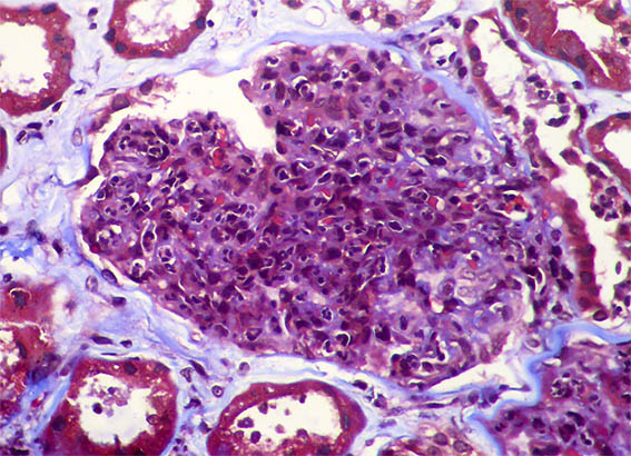
Figura 4. Tricrómico de Masson, X400.

Figura 5. Plata-metenaimna, X400.

Figura 6. Inmunofluorescencia directa para IgA, X400. Gránulos y grumos ("lumpy-bumpy") en las paredes capilares.

Figura 7. Inmunofluorescencia directa para C3, X400.

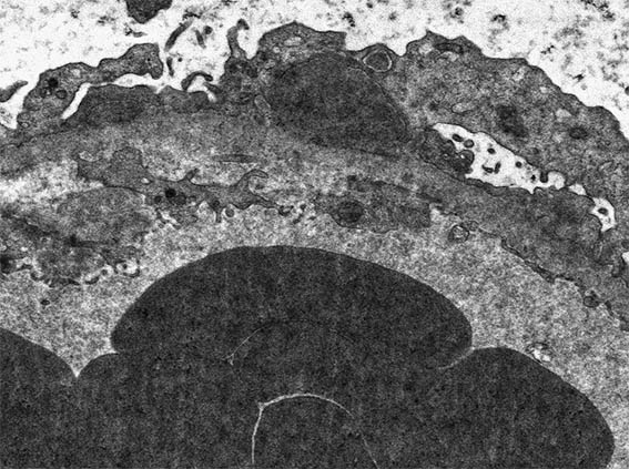
Figura 8. Microscopía electrónica, aumento original, X4.000. Observe depósitos electron-densos subepiteliales.

Figura 9. Microscopía electrónica, aumento original, X4.000. Observe el depósito grande, subepitelial, en la parte central de la imágen. ¿Recuerda cómo denominan a este tipo de depósito?
Inmunofluorescencia para IgG, IgM y C1q: Negativas; kappa y lambda: ambas similares a la IgA.
¿Cuál es su diagnóstico?
Ver
diagnóstico y discusión
[Arriba]
|