CASO
21 (Noviembre 2007)
Datos clínicos
Hombre de 32 años de edad (en
2007) con antecedente de insuficiencia renal terminal de causa desconocida,
inició diálisis en 1999 y fue trasplantado, de donante cadavérico,
en 2000. Trasplante sin complicaciones, un episodio clínico de
rechazo agudo en los primeros tres meses, no biopsiado y tratado con bolos
de metilprednisolona. Continúa con buena evolución; creatininas
séricas entre 1,0 y 1,5 mg/dL durante los primeros seis años
del trasplante; sin proteinuria ni hematuria. Hipertensión
arterial leve, no diabetes. Esquema de inmunosupresión: ciclosporina,
micofenolato mofetilo y prednisolona.
En agosto de 2006 se detecta incremento
de la creatinina sérica: 1,6 mg/dL, la cual continúa incrementándose
hasta 2,6 mg/dL en marzo de 2007, por lo cual se toma biopsia renal.
Estudio de orina: Proteinuria: 160 mg/24h,
2 eritrocitos x campo de gran aumento, sin cilindros.
¿Cuál es su diagnóstico
clínico?
Se realiza biopsia renal. Observe las
imágenes.

Figura 1.
H&E, X400.

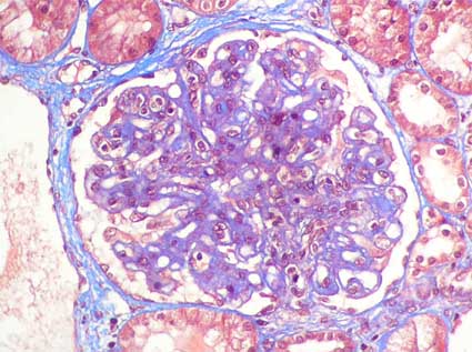
Figura 2.
Tricrómico de Masson, X400.

Figura 3.
PAS, X400.

Figura 4.
Plata-metenamina, izquierda X400, derecha X600.

Figura 5.
Plata-metenamina, izquierda X400, derecha X600.

Figura 6.
Plata-metenamina, ambas X400.

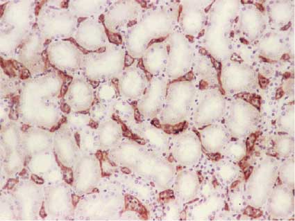
Figura 7.
Inmunohistoquímica para C4d, X400.
Inmunofluorescencia para IgA, IgG, IgM,
C3 y C1q: Negativas.
¿Cuál es su diagnóstico?
Ver
diagnóstico y discusión
[Arriba]
|