Nefropatología Desde 2006
   
Caso 202
Con discusión
 
     
English version

CASO 202 (diciembre de 2022)

Datos clínicos:

Una mujer de 23 años con antecedente de síndrome nefrótico asociado a una alteración genética (mutación patogénica, nonsense, en el gen NUP160, que codifica uno de los componentes proteicos del complejo del poro nuclear nucleoporina 160 kD [Zhao F, et al. Mutations in NUP160 Are Implicated in Steroid-Resistant Nephrotic Syndrome. J Am Soc Nephrol. 2019;30:840-853 [PubMed link]), con biopsia que demostró morfología de glomeruloesclerosis focal y segmentaria, llegó a insuficiencia renal terminal a la edad de 21 años. Luego de 2 años en diálisis es trasplantada de donante cadavérico. Previo al trasplante estaba anúrica.

A los 12 días del trasplante se documenta proteinuria en 24 horas de 12 gramos, con edemas, dislipidemia e hipoalbuminemia; la creatinina sérica es de 1,0 mg/dL.

Se hace biopsia del injerto renal, observe las imágenes:

Figura 1. H&E, X100. No hay hallazgos de rechazo.

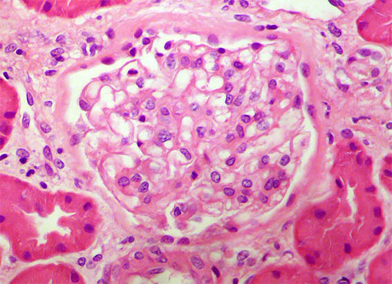
Figura 2. H&E, X400. Glomérulo con características normales.

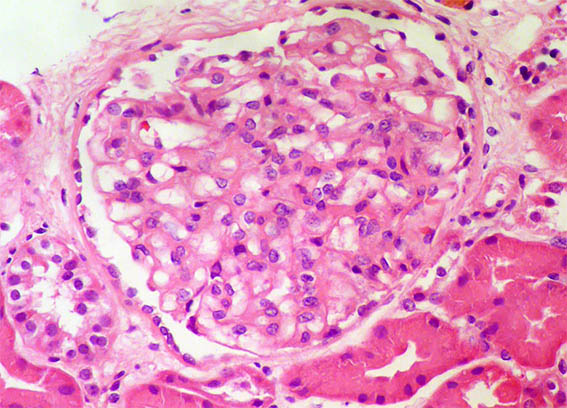
Figura 3. H&E, X400. Quizá algo de aumento segmentario, inespecífico, de la celularidad mesangial.

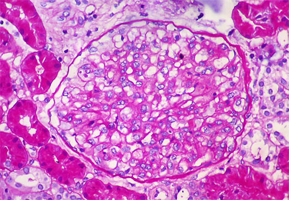
Figura 4. PAS, X400. Sin alteraciones. No hay lesiones esclerosantes o hialinas en ninguno de los 22 glomérulos de la biopsia.

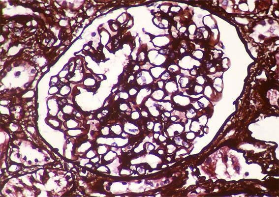
Figura 5. Plata-metenamina, X400. Paredes capilares normales.

Figura 6. Plata-metenamina, X400.

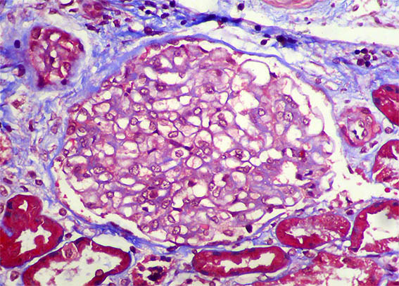
Figura 7. Tricrómico de Masson, X400.

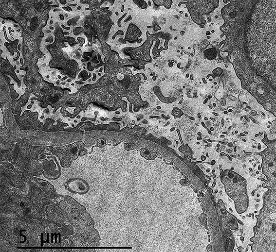
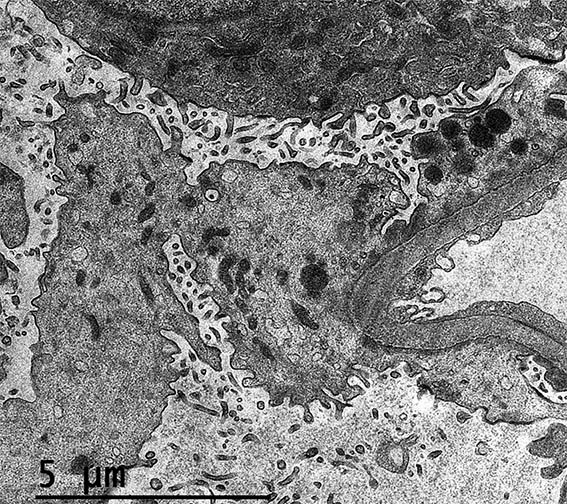
Figura 8. ME, aumento original, X2.100.

Figura 9. ME, aumento original, X2.100.

Figura 10. ME, aumento original, X2.100.

Figura 11. ME, aumento original, X3.000.

Figura 12. ME, aumento original, X3.000.

Inmunofluorescencia directa para IgA, IgG, IgM, C3, C1q: Negativas.

¿Cuál es su diagnóstico?

Ver diagnóstico y discusión

[Arriba]