CASO
196 (junio de 2022)
Datos clínicos:
Un hombre de 27 años, sin antecedentes patológicos, presenta edemas de dos semanas de evolución, sin otros síntomas. Relata orina espumosa. Al exámen físico edema generalizado, deshidratado, PA: 120/80, FC: 76/minuto, sin alteraciones respiratorias. Piel sin lesiones.
Paraclínicos: Hb: 13 mg/dL, Hto: 39%, Leucograma normal. Cr: 1,3/dL, BUN: 22/dL. Proteinuria: 8,6 g/24h, albúmina en sangre: 2,3 g/dL, dislipidemia. ANAs y anti-DNA: negativos, C3: 114 mg/dL, C4: 19 mg/dL. Estudios para virus hepatotropos y VIH negativos. En sedimento urinario: leucocitos: 2-3/CGA, eritrocitos 3/CGA.
Se hace biopsia renal, observe las imágenes:

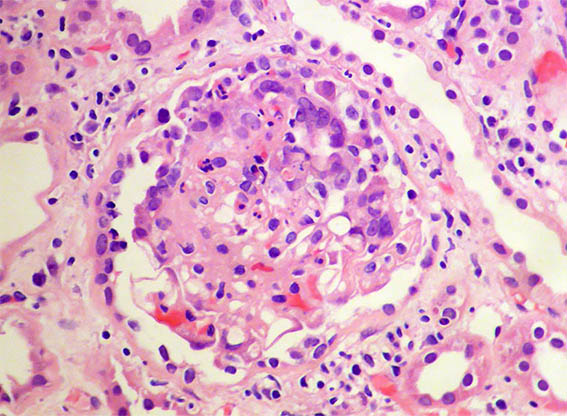
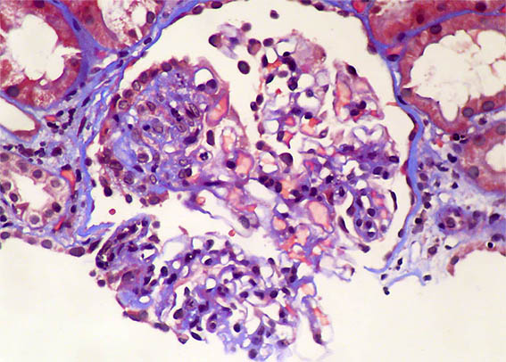
Figura 1. H&E, X400. Lesiones segmentarias con hipercelularidad endocapilar.

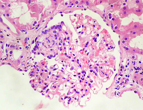
Figura 2. H&E, X400.

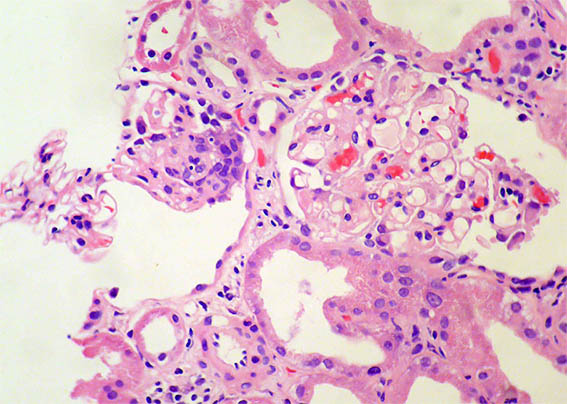
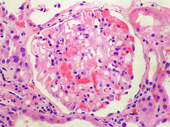
Figura 3.
H&E, X400. Las lesiones son segmentarias y se ven sólo en algunos glomérulos.

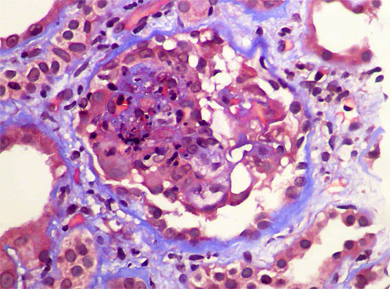
Figura 4. Tricrómico de Masson, X400.

Figura 5. Tricrómico de Masson, X400.

Figura 6. Tricrómico de Masson, X400. Lesión esclerosantes segmentaria.

Figura 7. H&E, X400.

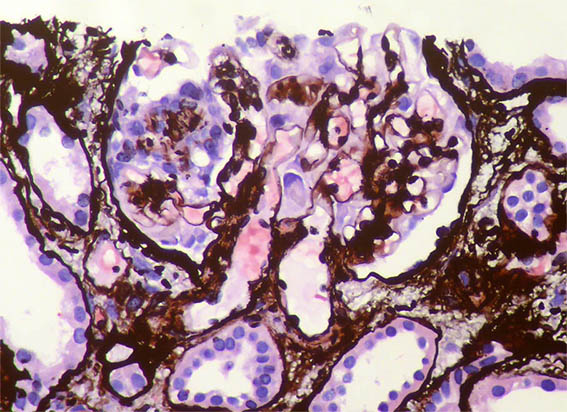
Figura 8. Plata-metenamina, X400.

Figura 9. Plata-metenamina, X400.

Figura 10. Plata-metenamina, X400.

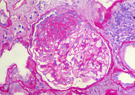
Figura 11. PAS, X400.

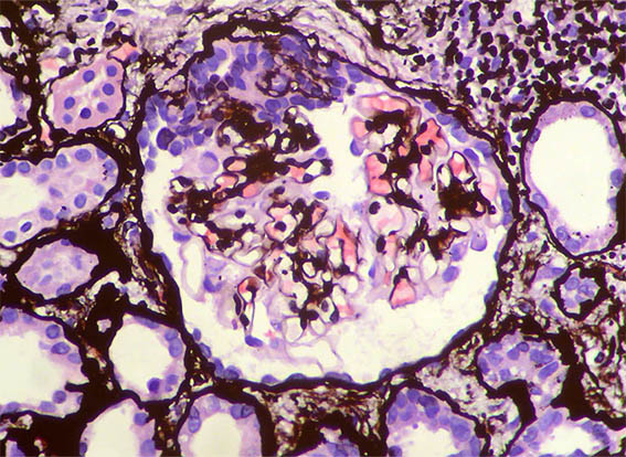
Figura 12. Plata-metenamina, X400.

Figura 13. Inmunofluorescencia directa para IgM, X400. Positividad segmentaria sólo en uno de 5 glomérulos.

Figura 14. Inmunofluorescencia directa para C3, X400. Positividad segmentaria también sólo en uno de 5 glomérulos.
Inmunofluorescencia directa para IgA, IgG y C1q: Negativas.
¿Cuál es su diagnóstico?
Ver
diagnóstico y discusión
[Arriba]
|