|
|
CASO
147 (Mayo de 2018)
Datos clínicos:
Mujer de 52 años de edad, sin antecedentes personales patológicos. Es evaluada por presentar dolor en el flanco y microhematuria persistente, 2 meses de evolución. En estudios de imagen se evidencia masa de 2 cm de diámetro en el hilio renal, adyacente a arteria y vena principal y en contacto con la pared de la pelvis.
Dadas las dificultades para una posible resección completa de la lesión sin lesionar el hilio, se decidió nefrectomía.
Observe las imágenes.
(Caso recibido en nuestro servicio como interconsulta, no disponemos de imágenes macroscópicas del especimen).

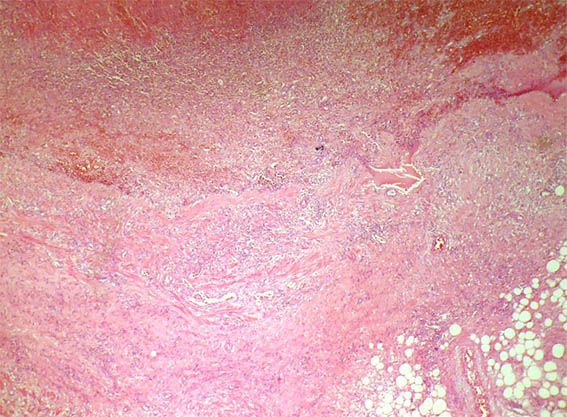
Figura 1. Imagen macro de la lámina histológica con la lesión.

Figura 2. H&E, X40.

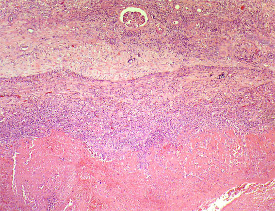
Figura 3.
H&E, X100.

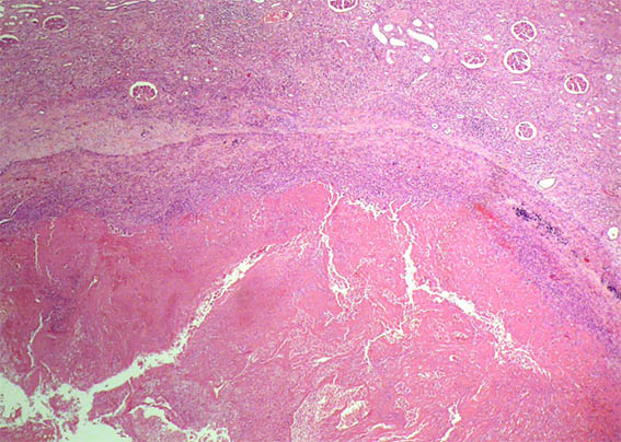
Figura 4. H&E, X40.

Figura 5. H&E, X200.

Figura 6. H&E, X200.

Figura 7. H&E, X400.
Inmunohistoquímica: las células en la periférica de la lesión (las que se ven en las figuras 5, 6 y 7) son predominantemente positivas para CD68 o para CD31, con linfocitos B y T entremezclados. CK: Negativa.
¿Cuál es su diagnóstico?
Ver
diagnóstico y discusión
[Arriba]
|
|