CASO
142 (Diciembre de 2017)
Datos clínicos:
Mujer de 57 años con edemas de reciente inicio. No antecedentes personales patológicos. No relata episodios previos de infección. No antecedentes familiares de enfermedad renal. Al exámen físico: edema en miembros inferiores, hipertensión arterial: 150/95, sin otras alteraciones.
Laboratorio: Hb: 12 mg/dL, Hto.: 37%, plaquetas y leucograma normales. Creatinina sérica: 1,54 mg/dL, BUN: 25 mg/dL, albúmina: 2,9 g/dL. Uroanálisis: proteinuria 500 mg/dL, 9 g en 24 horas, microhematuria. ANAs, anti-DNA y ANCAs negativos. C3: 64 mg/dL (90-10), C4: 22 mg/dL. Estudios para virus: negativos.
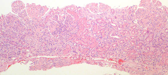
Se hace biopsia renal. Observe las imágenes.

Figura 1. H&E, X100.

Figura 2. H&E, X400.

Figura 3.
H&E, X400.

Figura 4. PAS, X400.

Figura 5. Tricrómico de Masson, X400.

Figura 6. Tricrómico de Masson, X400.

Figura 7. Plata-metenamina, X400.

Figura 8. Plata-metenamina, X400.

Figura 9. IF para IgG, X400.

Figura 10. IF para C3, X400.

Figura 11. IF para cadenas ligeras kappa, X400.

Figura 12. IF para cadenas ligeras lambda, X400.
Inmunofluorescencia directa para IgA, IgM y C1q: Negativas.
¿Cuál es su diagnóstico?
Ver
diagnóstico y discusión
[Arriba]
|