CASO
141 (Noviembre de 2017)
Datos clínicos:
Mujer de 37 años con diagnóstico de lupus eritematoso sistémico desde hace 8 años. Múltiples alteraciones cutáneas, articulares y hematológicas previas. Ha recibido tratamientos con esteroides, ciclofosfamida, hidroxicloroquina, entre otros. Ahora presenta compromiso renal, con creatinina sérica de 2,1 mg/dL, proteinuria subnefrótica, microhematuria y sedimento urinario activo, por lo que se hace biopsia renal.
Observe las imágenes.

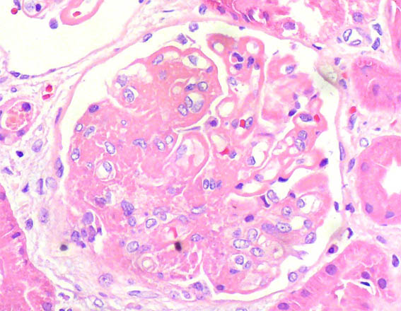
Figura 1. H&E, X400.

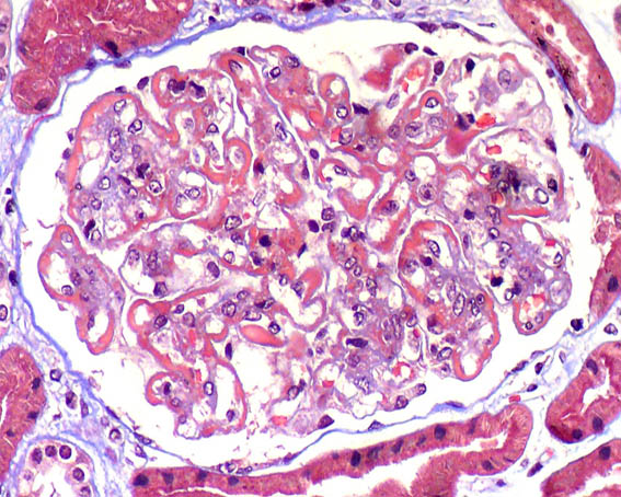
Figura 2. Tricrómico de Masson, X400.

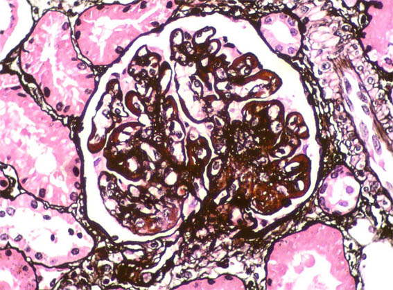
Figura 3.
Plata-metenamina, X400.

Figura 4. Inmunofluorescencia directa para IgG, X400. La IF para IgA, IgM, C3 y C1q fue similar a la de IgG presentada en esta imagen..

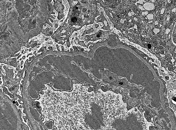
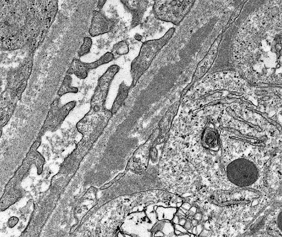
Figura 5. ME, aumento original, X3.000.

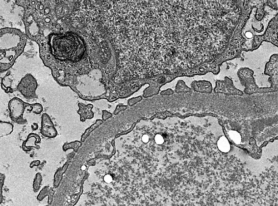
Figura 6. ME, aumento original: X6.000.

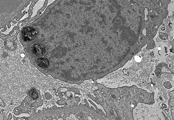
Figura 7. ME, aumento original: X4.000.

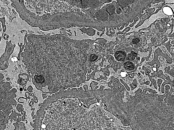
Figura 8. ME, aumento original: X4.000.

Figura 9. ME, aumento original: X4.000
¿Cuál es su diagnóstico? ¿Qué son las inclusiones laminadas evidenciadas en podocitos?
Ver
diagnóstico y discusión
[Arriba]
|