CASO
14
Datos clínicos
Mujer hispánica de 22 años de edad, embarazada,
30 semanas de gestación; es su tercer embarazo. Es evaluada por
Nefrología por presentar hipertensión arterial crónica
con preeclampsia sobreagregada y enfermedad renal crónica. Su primer
embarazo fue normal y no hubo complicaciones obstétricas. Su segundo
embarazo se complicó debido a preeclampsia severa y temprana con
muerte fetal a las 28 semanas de gestación; después de este
embarazo la paciente continuó con proteinuria (entre 3,5 y 8,9
mg/dL) y hematuria.
No se hicieron en ese entonces estudios adicionales debido
a condiciones económicas, sociales y de educación adversas
de la paciente y su familia. Nuevamente comienza una gestación
8 meses después de la segunda. Su hipertensión arterial
empeoró desde las 16 semanas de gestación y se detectó
retardo del crecimiento intrauterino y proteinuria: 15 g/24h. La paciente
presentaba marcado edema en piernas y pies. Otros datos de laboratorio:
creatinina sérica 2.2 mg/dL; pruebas de función hepática
y conteo de plaquetas: normales. Se inició tratamiento anti-hipertensivo
con bloqueadores de los canales del calcio y magnesio pero no se logró
un control adecuado. Orina: cuerpos grasos y 1+ hematuria sin cilíndros
hemáticos. Albumina 2.3; glucosa 81; ANAs negativos; C3: 90 (80-160),
C4: 15 (17-40); Hb: 9.5 mg%, Hto 31%, no hay esquistocitos; pruebas de
función hepática: enzimas levemente elevadas días
después del ingreso; anticoagulante lúpico, anticardiolipinas
y pruebas para virus hepatotropos: negativos. Anti-DNA, ASLO y ANCAs:
negativos; no hay pico monoclonal en la electroforesis del plasma.
Su embarazo fue terminado por cesárea. Siete
días después de la cesárea se toma biopsia renal.
¿Cuál es su diagnóstico clínico?
Observe las imágenes.

Figura 1.
H&E, X400.

Figura 2.
H&E, X400.

Figura 3.
Tricrómico de Masson, X400.

Figura 4.
Tricrómico de Masson, X400.

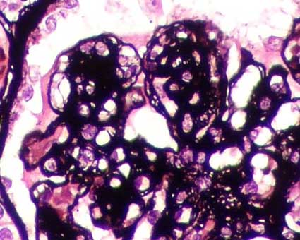
Figura 5.
Plata-metenamina, X400.

Figura 6.
Plata-metenamina, X600.

Figura 7.
Inmunofluorescencia directa para IgG, X400. La positividad
fue difusa.

Figura 8.
Inmunofluorescencia directa para C3, X400. La positividad
fue difusa.

Figura 9.
Inmunofluorescencia directa para IgM, X400. La positividad
fue segmentaria.
Inmunofluorescencia para IgA y C1q: Negativas.
Semilunas epiteliales en 2 de3 8 12 glomérulos.
¿Cuál es su diagnóstico?
Ver
diagnóstico y discusión
[Arriba]
|