|
|
CASO
121 (Marzo de 2016)
Datos clínicos:
Niña de 13 años, sin antecedentes personales patológicos. Es evaluada por presentar una semana de edemas, malestar general y cefalea. Al exámen físico: edema generalizado, P.A.: 140/95. No lesiones en piel. No hay otras alteraciones.
Paraclínicos: Hb: 14 mg/dL, Hto.: 41,5%, leucograma y plaquetas normales. ANAs y anti-DNA: negativos; C3: 62 mg/dL (90-180), C4: 17 mg/dL (10-40). Creatinina sérica: 1,9 mg/dL, BUN: 29 mg/dL. Estudios para virus: negativos. AELOs: 160 U/dL (<200 U/dL). Uroanálisis: eritrocitos: 20-30/CGA; leucocitos: 6-8/CGA, nitritos negativos, proteinuria: 1,7 g/24h.
Se hace biopsia renal.

Figura 1.
H&E, X100.

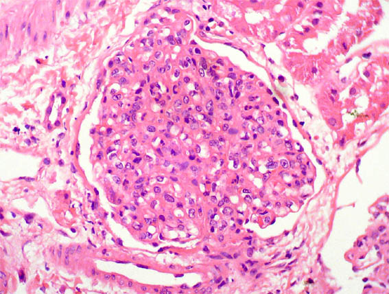
Figura 2.
H&E, X400.

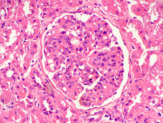
Figura 3.
H&E, X400.

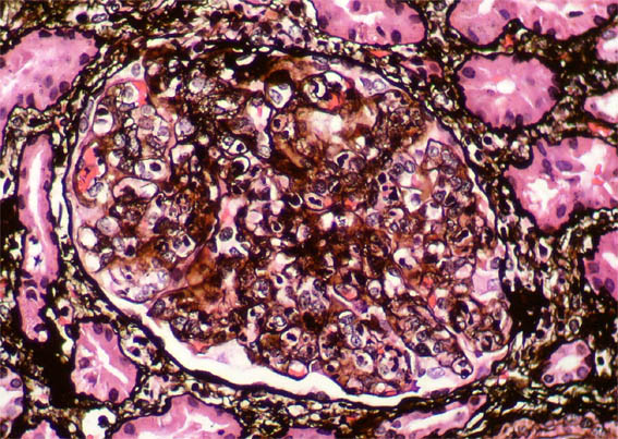
Figura 4. Plata-metenamina, X400.

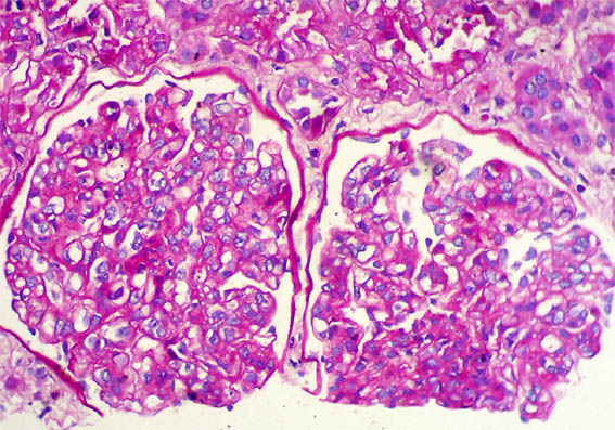
Figura 5.
PAS, X400.

Figura 6.
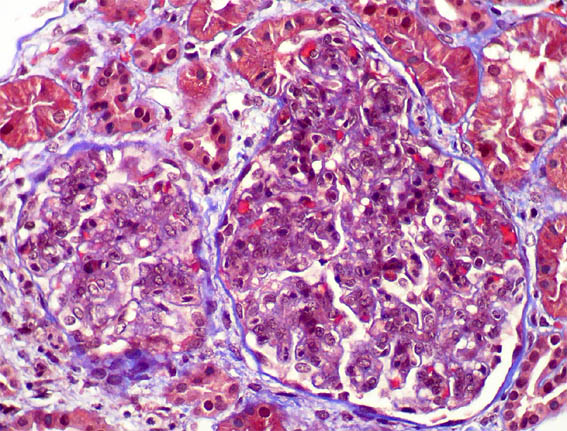
Tricrómico de Masson, X400.

Figura 7. Inmunofluorescencia para IgG, X400.

Figura 8. Inmunofluorescencia para C3, X100.

Figura 9. Inmunofluorescencia para C3, X400.

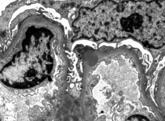
Figura 10. Microscopía electrónica, X4.000. (Imagen cortesía del Dr. Carlos Andrés Jiménez).
Inmunofluorescencia directa para IgA, IgM y C1q: Negativas.
¿Cuál es su diagnóstico?
Ver
diagnóstico y discusión
[Arriba]
|
|