Homepage - - - Tutorial Index
Normal Histology
Glomeruli
- Interstitium -
Tubules - Vessels
Tubules
The tubules correspond to 90% of the renal cortex. They play an important role in the homeostasis of the organism and are the structure with the greater energy requirements of the kidney.
The tubular system of nephrons is divided in several segments: proximal tubule, thin limb of Henle, thick ascending limb of Henle (here is the macula densa), distal tubule, connecting tubule, and collecting duct.
The proximal tubule has been divided (morphologically and functionally) in two portions: the proximal convoluted portion (pars convoluta), which occupies the cortical labyrinth, and the straight portion (pars recta), in the medullary rays of the cortex and outer medulla. Another classification has divided proximal tubules in three portions: S1, S2 and S3. The pars convoluta would correspond to S1 and the first part of S2. The first portion is easiest to identify in histologic sections; the cells have abundant, acidophilic cytoplasm and have a very well developed brush border, PAS positive, with densely grouped microvilli. It contains numerous large and elongated mitochondries. There are complex intercellular unions between lateral borders of the adjacent cells that permit ionic transport.
Transition of S1 to S2 is gradual and evidenced by a diminution in the structural complexity. The cells become more cubic and there are less and shorter microvilli; there is interdigitation only in the lateral bases of the cells and mitochondries diminish in number and size.
In S3 the epithelium is cubical simple, the microvilli are smaller and the number diminishes, and there are more peroxisomes, most abundant smooth endoplasmic reticulum, and least developed endocytic apparatus.

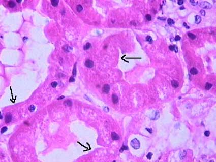
Figure 1. Proximal tubules are characterized to have an abundant, eosinophilic cytoplasm and a brush border easy to identify. The cytoplasmic size, the tall cells and the brush border (arrows) are more prominent in the proximal convoluted portion. (H&E, X400).

Figure 2. The tall cells of the S1 segment are seen almost occluding the tubular lumen in many of the histologic sections. This microphotography shows this portion of proximal tubule (from upper left corner to bottom right corner) surrounded by distal tubules. (H&E, X300)

Figure 3. Brush border of the proximal tubules has affinity by the reagents used in the periodic acid of Schiff coloration (arrows). (PAS, X200).

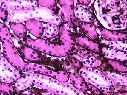
Figure 4. The silver stain emphasizes the basement membranes of tubules and it allows us to delineate the contours very well. The prominent eosinophilic cytoplasm of the proximal tubules contrasts with the clearer and less abundant cytoplasm of the distal tubules (asterisks). (Methenamine-silver stain, X200).

Figure 5. In the proximal tubules is not unusual to find its cytoplasm occupied by droplets of protein resorption, they are shown here like small green spheres in a tubule. (Gomori’s trichrome, X400).
The thin limbs of Henle begins near the corticomedullary union, it has a descendent and ascending portions and it is formed by flat epithelium; it also finishes near the corticomedullary union. Nephrons originated in juxtamedullary areas are long-looped type and penetrate until the inner medulla.

Figure 6. Distal tubules are identified better in the deep cortex or in the medulla. In this image we can see distal tubules at both sides of a thin portion of the thin limb of Henle with a hyaline cast (arrow). In many cases it is very difficult, with light microscopy, to differentiate if small spaces in the medulla, like this here observed, are peritubular capillaries or thin portion of the limb of Henle. (H&E, X400).
Distal tubule is divided in pars straight or thick ascending limb of loop of Henle, where it is the macula densa, and distal convoluted tubule. The epithelium of pars straight have tall cells that interdigitate each other. These cells are rich in mitochondries and Na-K-ATPasa activity for Na reabsorption.
There is an abrupt increase in the height of the epithelium in the transition of distal straight tubule and distal convoluted tubule. Tamm-Horsfall protein (tubular secretion protein) has been described to occur in the apical membrane of the human distal convoluted tubule. In the apical portion of the distal convoluted tubules cells is present a vitamin D dependent calcium binding protein.
Connecting tubule is a structure difficult to identify in humans (they are better developed in rabbits). It connects distal tubules and collecting ducts. In the rat, their cells express receptors of vasopressin and vasopressin-regulated water channels (aquaporin 2).
The collecting duct has cortical and medullary portions. Its epithelium changes when descending in the medulla, in more distal portions the cells are taller and have more complex unions. The diameter of the ducts increases progressively. There are two cell types: principal cells (collecting duct cells) with an important function in water reabsorption and Na and K transport; these cells also have vasopressin receptors. And the intercalated cells, with darker cytoplasm that evidence high carbonic anhydrase activity, with an important role in acid-base balance.

Figure 7. Distal tubule and collecting duct cells have less eosinophilic cytoplasm than proximal tubule cells. See a clear halo surrounding the nucleus in many cells. (H&E, X400)..

Figure 8. In this image we see collecting duct cells. Distal tubule cells gradually change to collecting duct cells and the histologic aspect, in many cases, do not permit differentiate between cells of this portions of the nephron with light microscopy. (H&E, X400).

Figure 9. A microphotography similar to the Figure 8, with less magnification and stained with silver. (Methenamine-silver, X300)..
Histology: Glomeruli - Interstitium - Vessel
Homepage - - - Tutorial Index