Homepage - - - Tutorial Index
Normal Histology
Glomeruli - Interstitium - Tubules - Vessels

Scheme 1.
Macroscopic relations of a normal kidney.
Glomeruli
In the literature “glomerulus” has been variably defined, for some authors glomerulus is only the glomerular tuft and for others it is the structure that forms the tuft and the Bowman’s space and capsule. Here we will talk about glomerulus as the structure formed by tuft and Bowman’s space and capsule. Who name “glomerulus” only to the glomerular tuft, usually name “renal corpuscle” to the structure: tuft plus Bowman’s space and capsule.
The functional unit of the kidney is the nephron, formed by the glomerulus and the uriniferous tubule (proximal tubule, loop of Henle, distal tubule, connecting tubule, and collecting duct). See scheme of the nephron (link).
In order to understand better its histology we must have in mind that it is a three-dimensional structure, non bi-dimensional as we see it at microscope. Let us think about its function: molecule filtration of the blood to eliminate them in the urine, thus we will be able to understand that the blood arrives by an arteriole (afferent) that is divided, dichotomously, to form capillaries, and then these converge to form another arteriole of exit (efferent). We understand then that the glomerulus is a network of capillaries in the middle of an arteriole that in an end, according to the sanguineous flow, is called afferent, and in the other end is called efferent. This tuft of capillaries has manifold anastomosis and is supported by a matrix of collagen and other components that are called mesangium. In addition, each one capillary of this tuft is surrounded by a layer of flat cells that forms something like a tapestry that envelope it: the visceral epithelial cells or podocytes. The network of capillaries, the mesangium, and the podocytes form the glomerular tuft. See scheme of the glomerulus (link).
This tuft is contained in the Bowman's capsule; this is formed by a basement membrane and a flat epithelium: parietal epithelial cells. Between the Bowman’s capsule and the tuft is the Bowman’s space, which, in vivo, is a narrow space where parietal and visceral cells are almost united each other. This space usually is seen large in the histologic sections due to retraction that undergo the capillaries during the tissue processing (Scheme 2 and Figure 1).

Scheme 2. Representative scheme of a normal glomerulus..

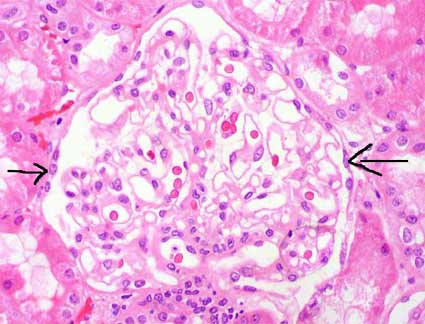
Figure 1. Normal glomerulus. See the cellularity of the glomerular tuft. The arrows indicate nuclei of parietal epithelial cells covering the Bowman’s capsule. In vivo the Bowman’s space is narrower than seen in conventionally processed tissue. (H&E, X300).
The glomerular tuft is formed by lobules of capillaries. The afferent arteriole gives origin to 4 - 8 capillaries, each one of which is subdivided to form a lobule. In each lobule there are several mesangial areas: the portion of mesangium that support several capillaries. It is very important to recognize the mesangial areas to determine when there is or non hypercellularity: cluster of three or more nuclei per mesangial area in thin 2 to 3 micron sections away from the vascular pole (Figure2 and Figure 3).

Figure 2. The lobules appear highlighted in red; in normal glomeruli is difficult to determine with precision its limit. Within each lobe there are several mesangial areas (some of them indicated with green arrows) in which there are not more than 2 or 3 nuclei of cells (Masson’s trichrome, X300).

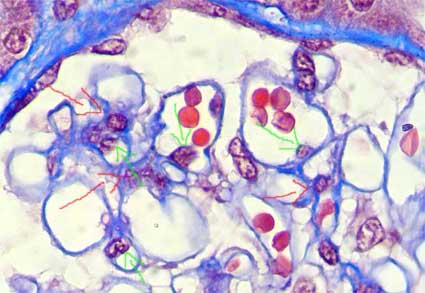
Figure 3. In this image of a lobule of the glomerular tuft, the red arrows indicate several mesangial areas in which there are 1 or 2 nuclei. The green arrows indicate nuclei of endothelial cells (Masson’s trichrome, X400).
The mesangial matrix is formed by different types of collagen (III, IV, V and VI), microfibrillar proteins, glycoproteins, proteoglycans and other components (Venkatachalam MA, Kriz W. Anatomy (of the kidney). In Heptinstall's Pathology of the Kidney, Lippincott-Raven, Philadelphia, 1998, pp. 3-66) (Figure 4 and Figure 5).

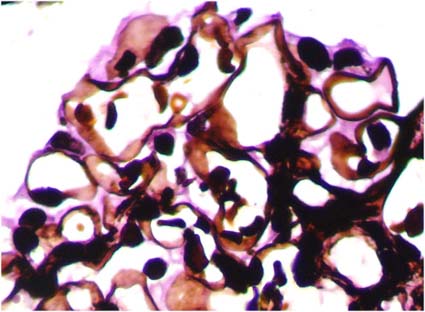
Figure 4. The mesangial matrix, like the basement membranes of capillaries, Bowman’s capsule, and tubules are rich in type IV collagen, and has affinity by the methenamine-silver stain. See the irregular characteristic aspect of mesangial matrix (in black) in a normal glomerulus (Methenamine-silver, X.400).

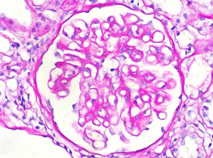
Figure 5. The mesangial matrix also stains with the PAS, like the basal membranes, due to the affinity of PAS by type IV collagen (PAS, X300).
The glomerulus has an approximate diameter of 200 microns and usually the glomeruli are greater 20% in the juxtamedullary zones.
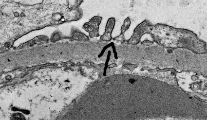
The peripheral zones of the capillary walls, towards the Bowman’s space, are the filtration’s zones. The nuclei of the endothelial cells are arranged towards the mesangium and the cytoplasm surrounds all the internal surface of the capillary, almost adhered to the glomerular basement membrane (GBM), leaving spaces or fenestrations. The cytoplasm of the podocytes forms the external layer of the capillary wall. The glomerular filtrate must cross the endothelial cell, GBM, and the foot processes of podocytes (Figure 7). The podocyte is united to the GBM, forms the interdigitating foot processes and the filtration slits, this structure is very important in the protein and molecules filtration, and in the pathogenesis of several glomerulopathies as minimal change disease and focal segmental glomerulosclerosis. Image of podocytes in scanning electron microscopy (link).
The vascular pole is the site by where the afferent and efferent arterioles arrive and leave the glomerulus. The two arterioles are separated for a space containing extracellular matrix and cells: extraglomerular mesangium.
The GBM has a variable thickness, usually between 240 and 360 nm in the adult, and is slightly more thicker in men than in women, and it is thicker in elderly people. However, the thickness is very variable in the literature, in a paper published by Dr. Mark Haas in 2009, he says that it can vary between 215 and 430 nm (Haas M. Arch Pathol Lab Med. 2009;133:224–232 [PubMed link]), The normal thickness of the adult is believed to be reached between 9 and 11 years of age. On the ultrastructural images it appears like a trilaminar structure, with a central zone: lamina densa, surrounded by less dense layers: lamina rara interna and lamina rara externa. However, studies with tissue processed in non-conventional manner, have demonstrated that the GBM appears as a homogeneous dense layer directly adhered to epithelium and endothelium (Inoue S. Ultrastructural architecture of basement membranes. Contrib Nephrol; 107:21-8, 1994 [PubMed link ]; Reale E, Luciano L. The laminae rarae of the glomerular basement membrane. Their manifestation depends on the histochemical and histological techniques. Contrib Nephrol; 80:32-40, 1990 [PubMed link ]). The main components of the GBM are type IV collagen, heparan sulphate, laminin, proteoglycans, entactin, and fibronectin (Figures 6 to 10c).

Figure 6. With methenamine-silver stain the GBM is thin and smooth (green arrows); this is a good technique to see its structure. The blue arrows indicate nuclei of podocytes, the cytoplasm is flat and it does not allow to delimit itself clearly with the optical microscopy. The red arrows mark some mesangial areas and nuclei of mesangial cells. (Methenamine-silver, X400).

Scheme 3. Schematic approximation of a glomerular capillary..
Figure 7. The GBM is seen perfectly smooth, without perpendicular irregularities nor projections (red arrows). The flat cytoplasm of the visceral epithelial cell can be seen; and in some points, it is possible also to see the cytoplasm of the endothelial cells. The nucleus of a podocyte appears pointed with the green arrow. The nuclei of the endothelial cells usually are found towards the mesangial portion of the capillary (blue arrow) (Methenamine-silver, X1000)..

Figure 8. Another image, similar to the previous one, showing the capillary walls again. (Methenamine-silver, X1,000)..

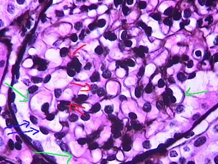
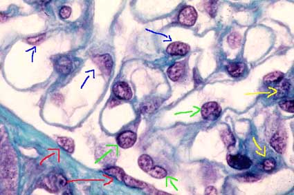
Figure 9. In this image the capillary walls, the podocytes (green arrows), nuclei of endothelial cells (blue arrows), mesangial cells (yellow arrows), and parietal epithelial cells (red arrows) are well evidenced. (Masson's trichrome, X.400).

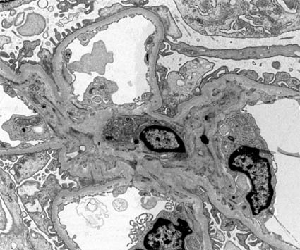
Figura 10. Electron microscopy. Normal glomerulus. In the center a mesangial area in which the nucleus of a mesangial cell (by its location) is recognized, it is surrounded by three capillaries. Note the basement membrane surrounded by podocyte processes. (Original magnification, X2.000).

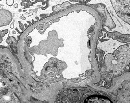
Figura 10b. Electron microscopy. At higher magnification a capillary light is detailed with some blood material, fenestrated endothelium, basement membrane and podocyte processes. Note that the basement membrane is not present in the portion of the capillary that is in direct contact with the mesangium. (Original magnification, X4.000).

Figure 10c. Electron microscopy. podocyte processes are more clearly identified. One slit-diaphragm is marked with the arrow. Foot process effacement is a common feature in any cause of nephrotic syndrome, although it is the main alteration in minimal change disease. Slit-diaphram is anchored to the cytoskeleton of the podocyte, and there are many protein that are very important to the normal function (nephrin, podocyn, CD2AP, NEPH1, NEPH2, and so on; see the chapters on focal segmental glomerulosclerosis and minimal change disease).
The numerical relation between the three types of glomerular cells is: mesangial/endothelial/podocytes: 2/3/1 (Venkatachalam MA, Kriz W. Anatomy (of the kidney). In Heptinstall's Pathology of the Kidney, Lippincott-Raven, Philadelphia, 1998, pp. 3-66).
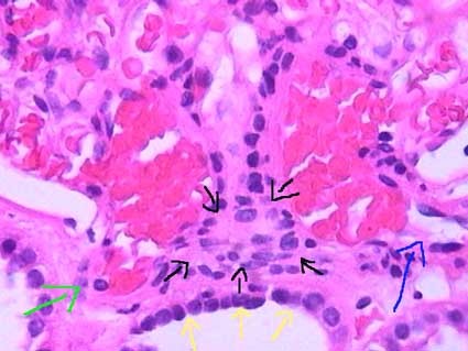
The juxtaglomerular apparatus (JGA) is formed by the terminal portion of the afferent arteriole, the first portion of the efferent arteriole, the extraglomerular mesangium (between both arterioles) and the macula densa (a plaque of very specialized and differentiated cells, in the distal straight tubule, that adheres to the vascular pole of glomerulus of the same nephron) (Figure 10, Figure 11). It has been suggested that the peripolar cells (cells located just at the transition of the parietal to the visceral epithelium) should also be included as part of JGA, nevertheless, its function is not well known (Figure 11). The JGA is innervated by the sympathetic system.
The macula densa is fused with extracellular matrix and basement membrane of the extraglomerular mesangium, and cells of the macula densa contact with cells of the extraglomerular mesangium known as Lacis cells or Goormaghtigh cells, and these are in continuity with glomerular mesangium. Many cells of the smooth muscle in the afferent arteriole, in the JGA, are granular myoepithelioid cells that contain renin granules.
The interaction between the components of the JGA regulates the glomerular hemodynamics under the control of blood pressure, autonomic nerves, hormones, salt balance, and local stimuli, particularly by the composition of tubular fluid at the macula densa.

Figure 11. The juxtaglomerular apparatus is demonstrated here perfectly. The yellow arrows indicate the macula densa, see the apical nuclei. Almost in contact with macula densa cells is the extraglomerular mesangium with the Lacis or Goormaghtigh cells, indicated with the black arrows. The green arrow marks the efferent arteriole and the blue arrow the afferent arteriole. The Peripolar cells are located exactly in the angle in which parietal epithelium contacts visceral epithelium (H&E, X.400).

Figure 12. Other image of the juxtaglomerular apparatus let us see the Lacis cells (black arrows), the macula densa (yellow arrows), and two nucli of peripolar cells, in both angles of the vascular pole. (Gomori's trichrome, X400).
Histology: Interstitium - Tubules - Vessels
Homepage - - - Tutorial Index