|
|
CASE
98 (April 2014)
Clinical information
In a 44-year-old woman was incidentally detected, by ultrasound, a renal mass of 3.0 cm of diameter in the upper pole of the left kidney. She had cholelithiasis, with no other clinical alterations. Renal function tests and urinalysis were normal.
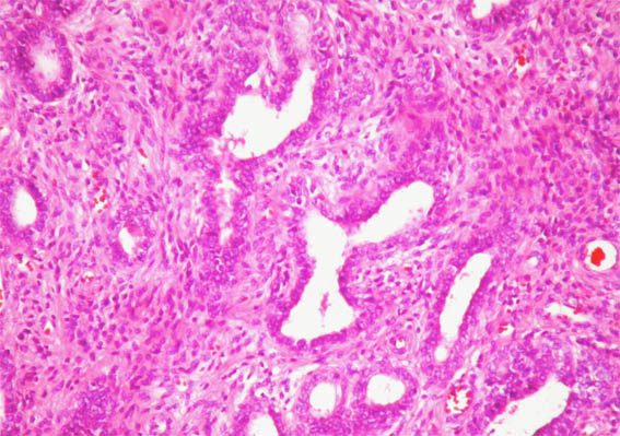
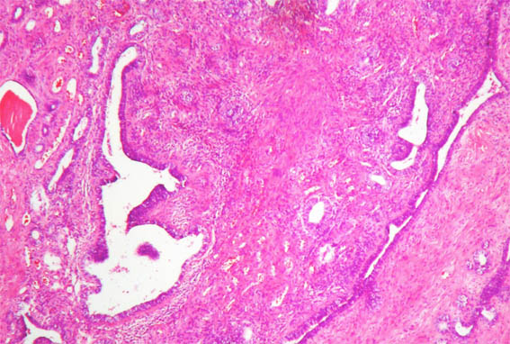
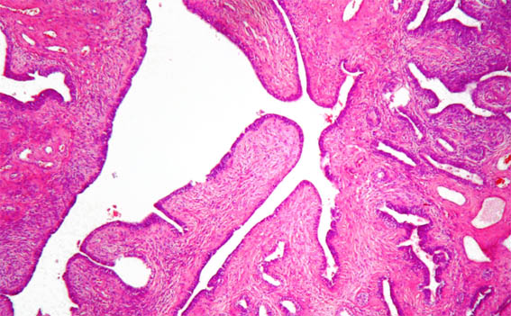
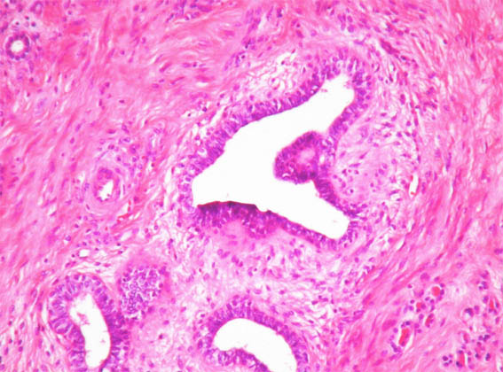
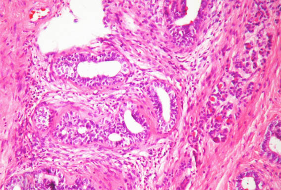
Nephrectomy was performed. We receive the case in consultation. See the images:

Figure 1.

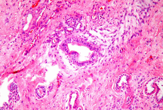
Figure 2.
H&E, X200.

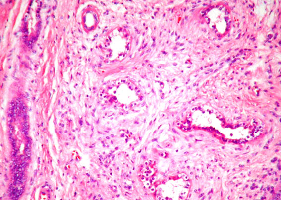
Figure 3. H&E, X100.

Figure 4. H&E, X100.

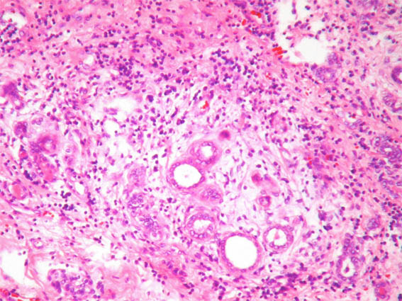
Figure 5. H&E, X200.

Figure 6. H&E, X200.

Figure 7. H&E, X200.

Figure 8. H&E, X200.

Figure 9. H&E, X200.
What is your diagnosis?
See
diagnosis and discussion
[Top]
|
|