CASO
6
Datos clínicos
Paciente masculino de 38 años de edad, agricultor,
aparentemente sano previamente, presenta cuadro clínico de 3 semanas
de evolución caracterizado por edema progresivo, oliguria, sin
hematuria macroscópica, y deterioro rápido de la función
renal. Sin antecedentes relevantes. Al examen físico: PA: 150/95;
FC: 88 X'; FR: 18 X'; aliento urémico, consciente y orientado,
edema de miembros inferiores, derrame pleural bilateral.
Paraclínicos: Hb: 13,5 mg/dL; Hto: 48%; leucocitos:
7700 /mm3: plaquetas: 300.000. Cretinina sérica: 11,2 mg/dL (10
días antes: 1,8); BUN 135 mg/dL.
Citoquímico de orina: pH: 5,0; densidad: 1005;
proteínas: >300 mg/dL; eritrocitos: 300 x CAP; cilíndros
céreos: 4 xCAP; proteinuria en orina de 24 horas: 17 g/día,
con 400 cc de volumen urinario.
Colesterol sérico: 663 mg/dL; LDL: 552 mg/dL;
triglicéridos: 376 mg/dL. Calcio: 6,9 meq/L; Na: 136 meq/L; K:
5,0 meq/L; P: 15 meq/L. Eco renal: dentro de límites normales.
ANAs: negativos; C3 y C4 normales; AgSVHB y AcVHC: negativos;
VIH: negativo; proteína de Bence-Jones: positiva; electroforesis
de proteínas: normal, sin pico monoclonal.
Se hace biopsia renal y se inicia inmunosupresión.
La creatinina sérica descendió a 2,1 mg/dL al momento del
alta hospitalaria. El paciente presenta cuadro clínico de sepsis
un mes después del inicio de la inmunosupresión (50 días
después de la biopsia) y fallece.
¿Cuál es su diagnóstico clínico?
Observe las imágenes de la biopsia renal.

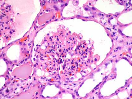
Figura 1.
Colapso de capilares glomerulares y aspecto "solidificado" del
mismo. H&E, X400.

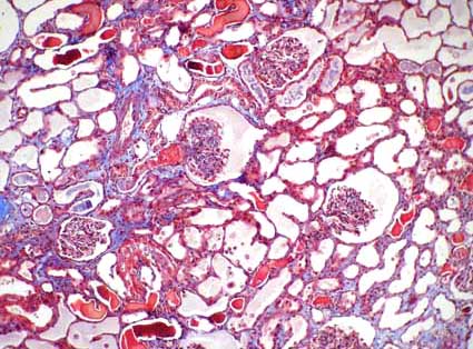
Figura 2.
Los cambios glomerulares suelen acompañarse, en esta glomerulopatía,
de extensos cambios tubulointersticiales. Tricrómico de Masson,
X100.

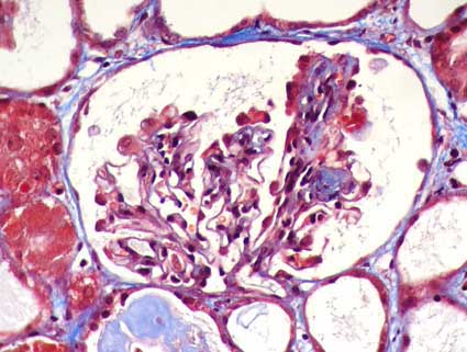
Figura 3.
La hipertrofia e hiperplasia de podocitos es un elemento muy importante
y característico en esta enfermedad. Tricrómico de Masson,
X400.

Figura 4.
Las lesiones colapsantes pueden ser segmentarias (como en la imagen) o
globales. Tricrómico de Masson, X400.

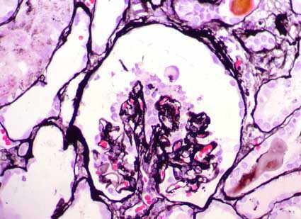
Figura 5.
La tinción de plata resalta el colapso del penacho (ver también
imágenes 6 y 7). Tinción de plata-metenamina, X400.

Figura 6.
Tinción de plata-metenamina, X400.

Figura 7.
Tinción de plata-metenamina, X400.
La Inmunofluorescencia para IgA, IgG, C3, C1q, cadenas
ligeras kappa y cadenas ligeras lambda fueron negativas. Hubo positividad
débil, focal y segmentaria, para IgM.
¿Cuál es su diagnóstico?
Ver
diagnóstico y discusión
[Arriba]
|