|
|
CASO
210 (agosto de 2023)
Datos clínicos:
Una paciente de 42 años, con antecedente de hipertensión arterial sistémica de muy dificil control, diagnosticada un año antes, es evaluada en el servicio de urgencias por disnea y cefalea intensa. Presenta, ademas, edema de miembros inferiores. El cuadro de cefalea y disnea comenzó unos días antes. En la paciente hay también sospecha de esclerosis sistémica progresiva. Al exámen físico PA: 240/130, FR: 24/min, FC: 84/min. Describen en el examen del fondo de ojo papiledema.
En paraclínicos: Hemoleucograma normal, plaquetas 180.000/mm2. Creatinina sérica: 2,1 mg/dL, BUN: 39 mg/dL. En uroanálisis: proteinuria: 200 mg/dL, en el sedimento eritrocitos: 10-15/campo de gran aumento. ANAs: 1:80, moteado, C3: 86 (90-180), C4: 14 (12-40), anti-DNA: negativo. ANCAs: negativo.
Se hace biopsia renal con impresión diagnóstica de lesión renal aguda. Ver las imágenes.

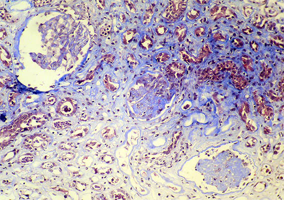
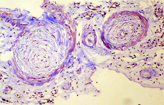
Figura 1. Trcrómico de Masson, X100.

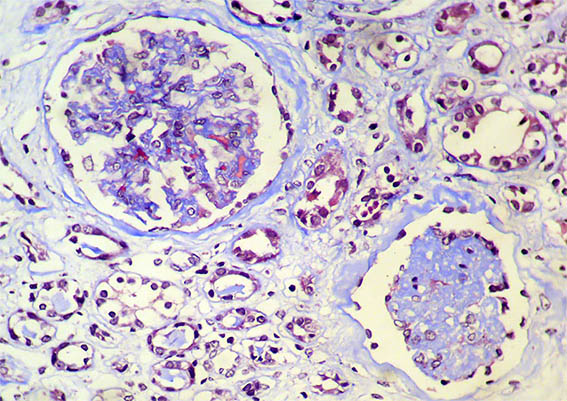
Figura 2. Tricrómico de Masson, X200.

Figura 3.
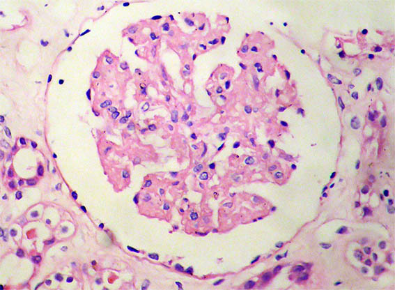
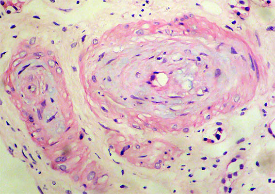
H&E, X400.

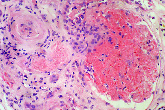
Figura 4. H&E, X400.

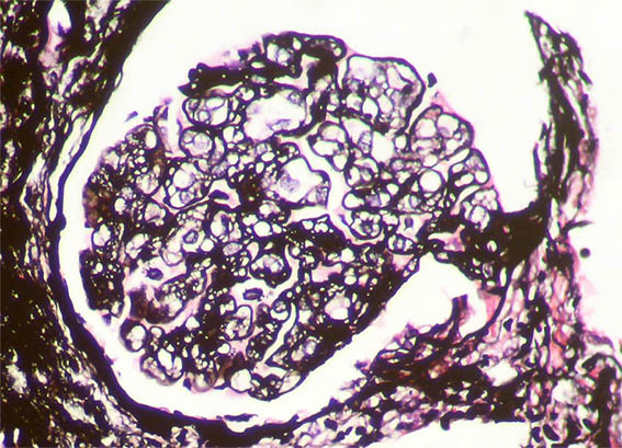
Figura 5. Plata-metenamina, X400.

Figura 6. Plata-metenamina, X400.

Figura 7. Plata-metenamina, X400. Mesangiolisis.

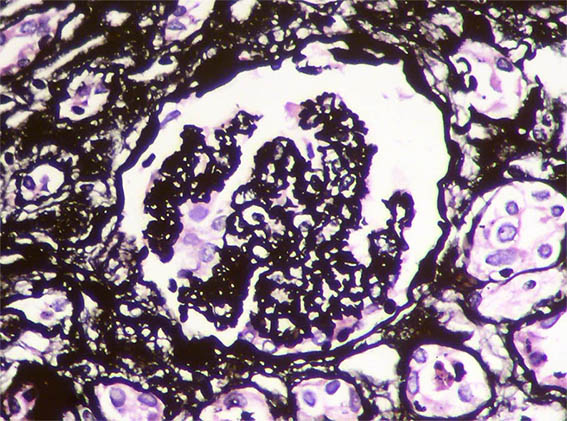
Figura 8. Plata-metenamina, X100.

Figura 9. Tricrómico de Masson, X200.

Figura 10. H&E, X400.
Inmunofluorescencia directa para IgA, IgG, IgM, C3, C1q, kappa y lambda: Negativas.
¿Cuál es su diagnóstico?
Ver
diagnóstico y discusión
[Arriba]
|
|