|
|
CASO
209 (julio de 2023)
Datos clínicos:
Un paciente de 53 años con diagnóstico de infección por VIH 2 años antes, en tratamiento anti-retroviral, es evaluado por 2 semanas de edemas, sin otros síntomas. En las pruebas de laboratorio el hemoleucograma es normal. Conteo de CD4: 510 /mm2; carga viral: menos de 500 copias /mL. Se documenta síndrome nefrótico, con proteinuria de 7,5 g/24h, hipoalbuminemia y dislipidemia. Creatinina sérica: 1,0 mg/dl, BUN: 14,0 mg/dL. Estudios para virus de hepatitis: negativos. ANAs y anti-DNA negativos; complemento sérico normal; VDRL no reactivo. Electroforesis de proteínas en suero: normal.
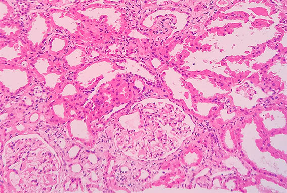
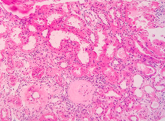
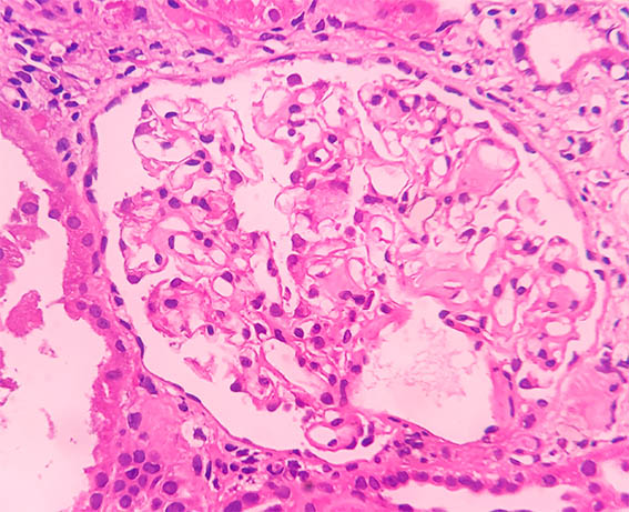
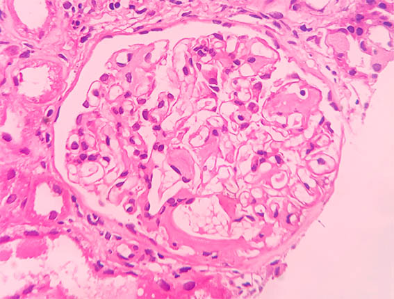
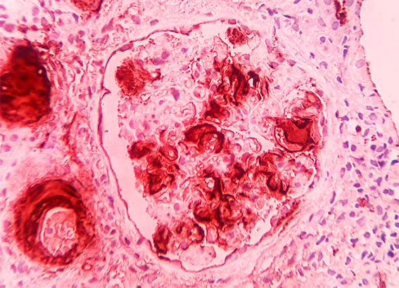
Se hace biopsia renal, observe las imágenes.

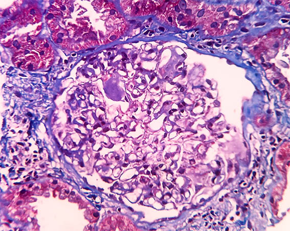
Figura 1. H&E, X200.

Figura 2. H&E, X200.

Figura 3.
H&E, X400.

Figura 4. H&E, X400.

Figura 5. Tricrómico de Masson, X400.

Figura 6. PAS, X400.

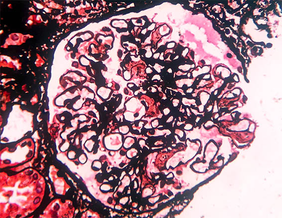
Figura 7. Plata-metenamina, X400.

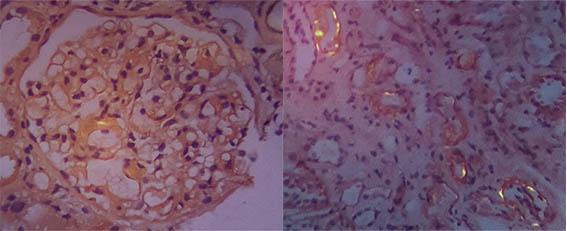
Figura 8. Rojo congo con luz polarizada, X400. Aunque la imagen digital no representa muy bien la birrefringencia verde, esta tinción fue positiva.

Figura 9. Inmunofluorescencia directa para cadenas ligeras, X400. Ambas negativas.

Figura 10. Inmunohistoquímica para amiloide AA, X400. Positiva.
Inmunofluorescencia directa para IgA, IgG, IgM, C3 y C1q: también negativas.
¿Cuál es su diagnóstico?
¿Qué relación hay con la infección por VIH?
Ver
diagnóstico y discusión
[Arriba]
|
|