CASO
206 (abril de 2023)
Datos clínicos:
La paciente es una mujer de 56 años quien es evaluada por presentar edema de varias semanas de evolución. En los paraclínicos se documenta proteinuria nefrótica: 3,6 g/24h, creatinina 1,2 mg/dL; BUN 16 mg/dL. Estudios para virus y autoinmunidad negativos. Complemento normal. Albumina sérica: 3,1 g/dL. En el sedimento urinario: 8-10 eritrocitos /CGA, leucocitos 3/CGA, no informan cilindros.
Se hace biopsia renal, observe las imágenes.

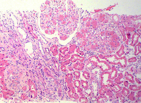
Figura 1. H&E, X100.

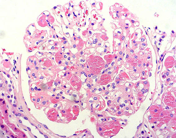
Figura 2. H&E, X400.

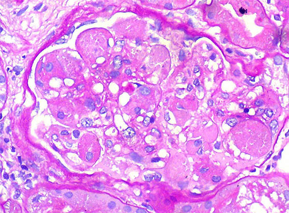
Figura 3.
PAS, X400.

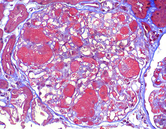
Figura 4. Tricrómico de Masson, X400.

Figura 5. Plata-metenamina, X400.

Figura 6. Plata-metenamina, X400.

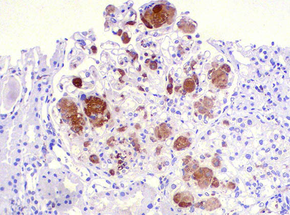
Figura 7. Inmunofluorescencia para IgG, X400.

Figura 8. Inmunofluorescencia para cadenas ligeras kappa, X400.

Figura 9. Inmunofluorescencia para cadenas ligeras lambda, X400.

Figura 10. Inmunohistoquímica para CD68 (monocitos/macrófagos), X400. Además de las células positivas en glomérulos hay células intersticiales con características similares.

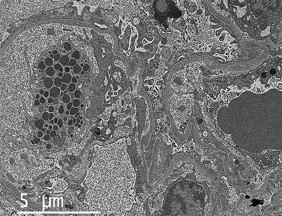
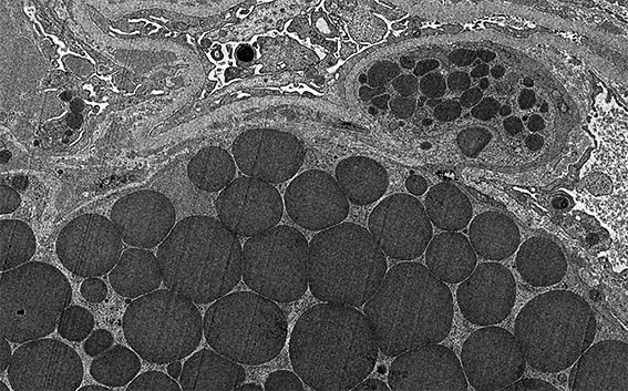
Figura 11. Microscopía electrónica, aumento original, X1.500.

Figura 12. Microscopía electrónica, aumento original, X2.100.

Figura 13. Microscopía electrónica, aumento original, X1.500.

Figura 14. Microscopía electrónica, aumento original, X4.000. Los gránulos o cristales están en el citoplasma de células intracapilares.
Inmunofluorescencia directa para IgA, IgM, C3 y C1q: Negativas.
¿Cuál es su diagnóstico?
Ver
diagnóstico y discusión
[Arriba]
|