CASO
186 (Agosto de 2021)
Datos clínicos:
Una mujer de 42 años sin antecedentes personales patológicos es vacunada contra SARS-CoV-2, primera dosis, y una semana después comienza a presentar edemas y malestar general. No relata otros síntomas. Al exámen físico presión arterial: 140/90, FC: 70 x min, FR: 16 x min. No lesiones en piel. Edema de miembros inferiores.
En paraclínicos se documenta elevación de creatinina: 2,2 mg/dL, BUN: 32 mg/dL (no se conocen valores previos). Hemoleucograma normal. ANAs, ANCAs y complemento negativos o normales. Estudios para virus negativos. Uroanálisis: proteinas: 500 mg/dL, eritrocitos: 10/CGA, leucocitos: 6/CGA; urocultivo negativo. Proteinuria en 24h: 5,5 g. Albúmina en suero: 2,3 g/dL; proteínas totales: 5,4 g/dL. Hay también dislipidemia. Electroforesis de proteínas sin pico monoclonal.
Dado el antecedente de vacunación previa, por sus implicaciones epidemiológicas, se reinterroga exahustivamente a la paciente y reconoce haber consumido AINE (automedicado) en las 2 semanas previas por dolor lumbar.
Se hace biopsia renal. Observe las imágenes.

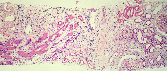
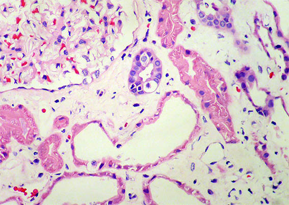
Figura 1. H&E, X100. Note el compromiso tubulointersticial.

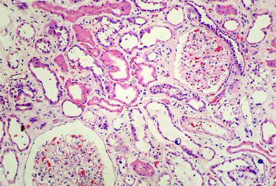
Figura 2. H&E, X200. Daño tubular agudo asociado a inflamación.

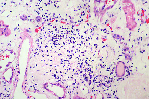
Figura 3.
H&E, X400.

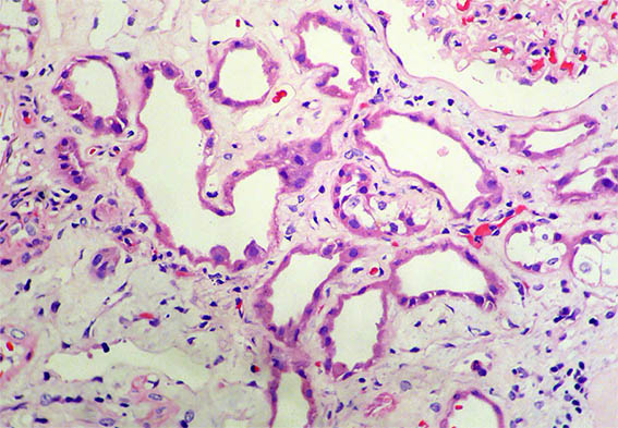
Figura 4. H&E, X400.

Figura 5. H&E, X400. Tubulitis.

Figura 6. Tricrómico de Masson, X200.

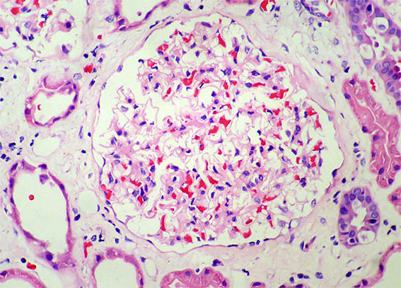
Figura 7. H&E, X400. Glomérulos con aspecto normal.

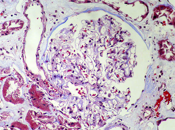
Figura 8. Tricrómico de Masson, X400.

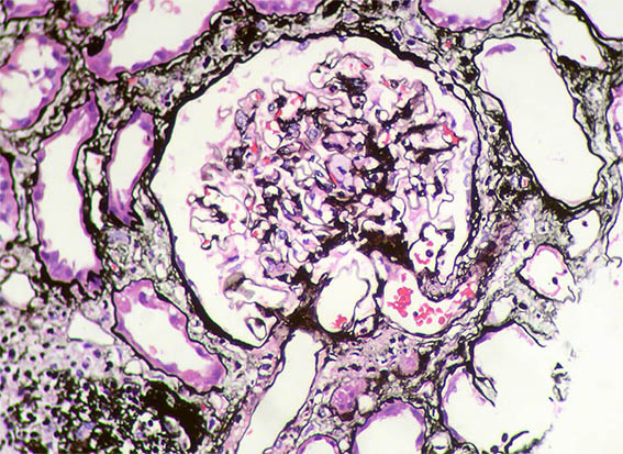
Figura 9. Plata-metenamina, X400.

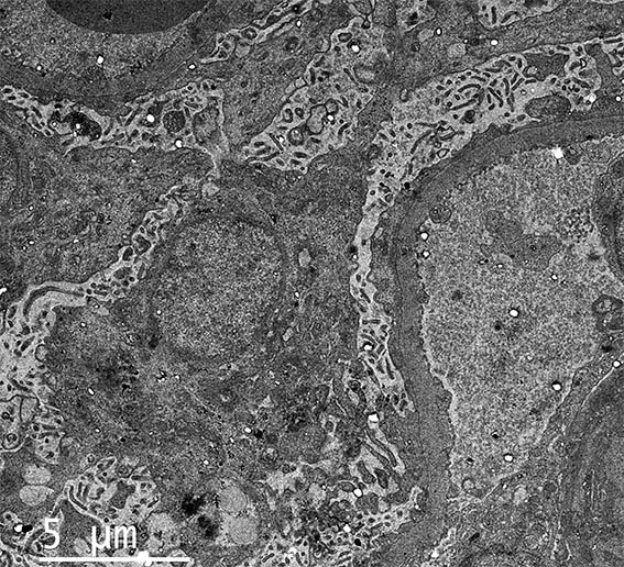
Figura 10. Daño podocitario difuso, con transformación microvellosa del citoplasma podocitario. ME, aumento original, X2.100.

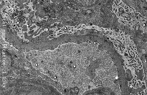
Figura 11. ME, aumento original, X2.100.

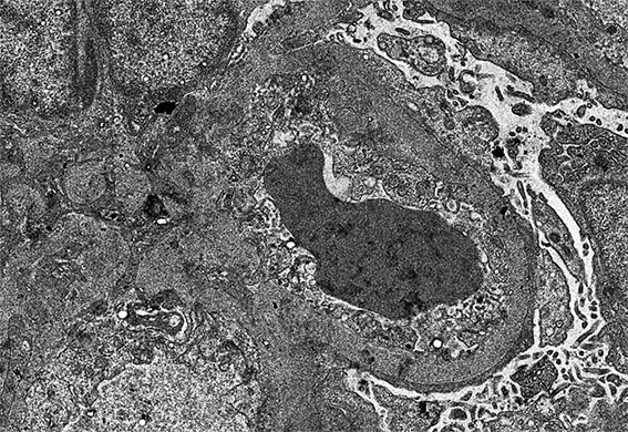
Figura 12. ME, aumento original, X2.100.

Figura 13. ME, aumento original, X4.000.
Inmunofluorescencia directa para IgA, IgG, IgM, C3, C1q, kappa y lambda: Negativas.
¿Cuál es su diagnóstico?
Ver
diagnóstico y discusión
[Arriba]
|