Patología del trasplante renal
Parte 1:
Generalidades, evaluación histológica del riñón
donante, rechazo (generalidades), rechazo hiperagudo, rechazo agudo acelerado,
rechazo agudo, clasificación de Banff
Parte 2: Rechazo crónico y
nefropatía crónica/esclerosante del injerto, toxicidad
por ciclosporina y tacrolimus, toxicidad por otros medicamentos
Parte 3: Infección
por poliomavirus, infección por citomegalovirus, otras infecciones, enfermedades
recurrentes y glomerulopatías de novo, neoplasias.
Se ha definido como una pérdida progresiva de la función renal que comienza al menos 3 meses después del trasplante, con características microscópicas sugerentes o compatibles. No es una definición exclusivamente clínica ni morfológica. La presentación es bastante inespecífica, caracterizada por la elevación progresiva, usualmente lenta, de la creatinina; algunas veces hay proteinuria, ocasionalmente severa. El flujo sanguíneo renal suele estar disminuido cuando el proceso es avanzado.
La patogénesis involucra muchos factores, pero, por definición, asumimos que es un proceso continuo de agresión inmunológica. Parece probable que episodios repetidos de rechazo agudo o un rechazo agudo persistente de bajo grado produciría las características de rechazo crónico. Igual que en el rechazo agudo, el rechazo humoral también juega un papel importante, al menos en algunos o muchos de los pacientes.
Se lee en muchos textos de Trasplante Renal, de Nefrología y de Patología, que hay "causas no inmunológicas" de rechazo crónico, sin embargo, esto suena contradictorio. Cuando hay cambios crónicos en los que no es posible determinar su etiología, lo denominamos: "fibrosis intersticial y atrofia tubular sin evidencia de etiología específica" (IFTA por sus siglas en inglés) ) (Solez K, et al. Am J Transplant 2007;7:518-526 [PubMed link][Free full text]). De todas formas, es muy probable que los factores inmunológicos y no inmunológicos se sumen para producir el daño crónico del órgano. En la evaluación de muestras de tejido renal por daño crónico del injerto es de gran importancia determinar la causa de ese daño y no debemos quedarnos con el diagnóstico inespecífico de NCT.
Un buen artículo de revisión en: Nankivell BJ, Chapman JR. Chronic allograft nephropathy: current concepts and future directions. Transplantation. 2006 Mar 15;81(5):643-54. [PubMed link]
Histopatología
Las características del rechazo crónico y de la FI/AT son cambios esclerosantes y fibrosantes que, en muchos aspectos, son similares a los cambios crónicos renales de cualquier otra nefropatía. Hay glomeruloesclerosis global, la mayoría de tipo isquémico; fibrosis intersticial que se acompaña de variable infiltrado inflamatorio mononuclear; atrofia tubular; fibrosis intimal de arterias y arterioloesclerosis hialina que puede ser similar a la de nefropatía hipertensiva. Cuando encontramos estos cambios debemos hacer una graduación de la severidad de acuerdo al esquema de Banff (Tablas 12 y 13), principalmente basados en la extensión de la fibrosis intersticial, que es la que permite una cuantificación (o semicuantificación: leve - moderada - severa) más reproducible.

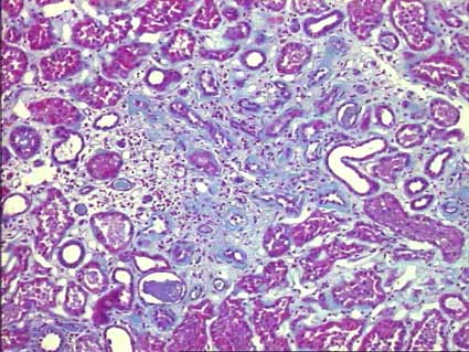
Figura 14. La NCT se caracteriza por cambios crónicos en todos los compartimentos histológicos del tejido renal. Es un cambio inespecífico en el que es muy importante tratar de determinar su causa. El grado de FI/AT se determina, principalmente, por el porcentaje de fibrosis intersticial. (Tricrómico de Masson, X200).
En segundo lugar, debemos determinar si hay o no cambios de rechazo crónico. Hay dos características que son consideradas las más "sugerentes" de este diagnóstico: la glomerulopatía crónica del trasplante y las lesiones arteriales de rechazo.
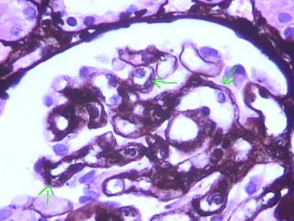
Glomerulopatía crónica del trasplante: Se caracteriza morfológicamente por dobles contornos en las paredes capilares. Esta lesión se debe a síntesis de material similar al de la MBG, en su parte interna y con interposición de células en muchos de los casos. Su patogénesis no está clara; parece que una agresión inmune repetida o continua al endotelio capilar genera, de alguna manera, este cambio. Se gradúa de acuerdo a su extensión en los glomérulos más severamente afectados (Tabla 11). Esta lesión se considera ahora asociada (o debida a) rechazo crónico mediado por anticuerpos (Solez K, et al. Am J Transplant 7:518-526 [Abstract link])

Figura 15. La glomerulopatía crónica del trasplante es uno de los marcadores histológicos que sugiere rechazo crónico (mediado por anticuerpos). Se caracteriza por imágenes en doble contorno de las paredes capilares (flechas). Podemos ver aspecto irregular de la MBG y células mesangiales interpuestas entre estos dos contornos. Esta lesión se gradúa, de acuerdo al esquema de Banff, según la extensión del comrpomiso en los glomérulos más afectados (Tabla 8). (Plata-metenamina, X400).
Lesiones arteriales de rechazo crónico: Consisten en proliferación fibrosa de la íntima con células inflamatoria mononucleares en ella: principalmente linfocitos, monocitos e histiocitos vacuolados; hay disrupción de la íntima, mejor apreciada con tinciones para elástico. Encontraremos también proliferación de células miointimales y formación de una segunda "neoíntima". De todos estos hallazgos el más sugerente de rechazo es la presencia de células inflamatorias en la íntima fibrótica.

Figura 16. En el rechazo crónico hay fibrosis intimal acompañada de células inflamatorias mononucleadas e histiocitos espumosos (en algunos casos) (flechas). Hay fragmentación de la lámina elástica interna y disminución de la luz arterial. (H&E, X300).

Figura 17. Con las tinciones para tejido elástico se evidencian mejor las áreas de fragmentación de la elástica interna, un buen indicador de lesión inflamatoria intimal. Observe también la presencia de linfocitos en la intima engrosada. y de ragudo. (Tinción para elástico, X300).
La multilaminación de las paredes de capilares peritubulares (por microscopía electrónica), principalmente si es severa: más de 6 capas, se asocia con depósitos de C4d y rechazo por anticuerpos, por lo que se considera actualmente un hallazgo morfológico sugerente de rechazo crónico mediado por anticuerpos. Esta lesión se evidencia por microscopía electrónica, por lo que existe controversia si debería hacerse estudio ultraestructural en todas las biopsias de riñón trasplantado. Multilaminación leve (2-4 capas) puede también encontrarse en otro tipo de enfermedades renales en no trasplantados. Aun así, la multilaminación severa (>6 capas) no es un hallazgo específico (Solez K, et al. Am J Transplant 7:518-526 [Abstract link]).
En el momento actual no existe ningún marcador de inmunohistoquímica o alguna prueba molecular "específica" de rechazo crónico.
CLASIFICACIÓN
DE BANFF DE LA FIBROSIS INTERSTICIAL Y ATROFIA TUBULAR (FI/AT - ANTES:
NEFROPATÍA CRÓNICA ESCLEROSANTE DEL INJERTO)
Y DEL RECHAZO CRÓNICO
(Racusen
LC, et al, Kidney Int 55:713-23, 1999 [PubMed
link]; modificada en: Racusen LC et al, Am J Transplant 3:708-14,
2003. [PubMed
link] [Free
full text]; nuevamente modificada en: Solez K, et al.
Am J Transplant 7:518-526, 2007 [PubMed
link][Free
full text] y modificaciones sucesivas (Solez K, et al. Am J Transplant. 2008;8:753-60.
[PubMed
link]; Haas M, et al, Am J Transplant. 2014;14(2):272-83 [PubMed link]; Loupy a, et al. Am J Transplant. 2017;17(1):28-41 [PubMed link]); Haas M, et al. The Banff 2017 Kidney Meeting Report: Revised diagnostic criteria for chronic active T cell-mediated rejection, antibody-mediated rejection, and prospects for integrative endpoints for next-generation clinical trials. Am J Transplant. 2018 Feb;18(2):293-307 [PubMed link] y Loupy A, et al. The Banff 2019 Kidney Meeting Report (I): Updates on and clarification of criteria for T cell- and antibody-mediated rejection. Am J Transplant. 2020;20(9):2318-2331 [PubMed link]).
| Tabla 10. Rechazo crónico en la clasificación de Banff (ya presentada en la Tabla 1) |
|
Rechazo crónico activo
mediado por anticuerpos; deben encontrarse todos los siguientes 3 criterios: 2. Idéntico al criterio 2 para ABMR activo (ver arriba) 3. Idéntico al criterio 3 para ABMR activo, incluida la recomendación fuerte para determinar DSA si se encuentran los criterios 1 y 2 C4d sin evidencia de rechazo; las 4 características deben estar presentes para el diagnóstico: Rechazo crónico activo mediado por células
T (Nota: i-IFTA es la inflamación en el intersticio fibrótico: i-IFTA 0: <10% del parénquima fibrótico con inflamación, i-IFTA 1: 10-25% del parénquima fibrótico con inflamación, i-IFTA 2: 26-50%, i-IFTA 3: >50%); t-IFTA es la tubulitis en áreas de IFTA, sin incluir túbulos severamente atróficos y se gradua 0-3 de una manera similar a la t) - Grado IB. Inflamación intersticial en > 25% del total de la corteza (puntaje ti 2 o 3) y > 25% del parénquima cortical fibrótico (i-IFTA 2 o 3) con tubulitis severa (t3 o t-IFTA3) en 1 o más túbulos, sin incluir túbulos severamente atróficos; se deben descartar otras causas conocidas de i-IFTA 5. Fibrosis intersticial y atrofia tubular,
sin evidencia de etiología específica |
*Las lesiones arteriales y glomerulares ayudan a definir si hay o no características "sugerentes" de rechazo crónico (cg: por anticuerpos; lesiones arteriales de rechazo: mediado por células T o por anticuerpos); : ver glomerulopatía crónica del injerto y lesiones arteriales de rechazo crónico.
| Tabla 11. Criterios cuantitativos para la glomerulopatía crónica del injerto ("cg") | |
cg0 |
No hay glomerulopatía. Dobles contornos en <10% de asas capilares periféricas en los glomérulos más afectados |
cg1 |
Dobles contornos en hasta el 25% de asas capilares periféricas en los glomérulos no esclerosados más afectados |
cg2 |
Dobles contornos en el 26-50% de asas capilares periféricas en los glomérulos no esclerosados más afectados |
cg3 |
Dobles contornos en >50% de asas capilares periféricas en los glomérulos no esclerosados más afectados |
Anotar el número de glomérulos y el porcentaje de los esclerosados
| Tabla 12. Criterios cuantitativos para fibrosis intersticial ("ci") | |
ci0 |
Fibrosis intersticial en hasta el 5% del área cortical |
ci1 |
Leve - Fibrosis intersticial en el 6-25% del área cotical |
ci2 |
Moderada - Fibrosis intersticial en el 26-50% del área cortical |
ci3 |
Severa - Fibrosis intersticial en >50% del área cortical |
| Tabla 13. Criterios cuantitativos para atrofia tubular ("ct") | |
ct0 |
No hay atrofia tubular |
ct1 |
Atrofia tubular en hasta el 25% de túbulos corticales |
ct2 |
Atrofia tubular en el 26-50% de túbulos corticales |
ct3 |
Atrofia tubular en >50% de túbulos corticales |
| Tabla 14. Criterios cuantitativos para el engrosamiento fibroso intimal arterial ("cv") | |
cv0 |
No hay cambios vasculares crónicos |
cv1 |
Engrosamiento fibrointimal con disminución de la luz en hasta el 25%* |
cv2 |
Engrosamiento fibrointimal con disminución de la luz en 26-50%* |
cv3 |
Engrosamiento fibrointimal severo con disminución de la luz >50%* |
*En los vasos más severamente afectados. Anotar si hay lesiones características de rechazo crónico (ruptura de la elástica, células inflamatorias en el tejido fibroso intimal y formación de neoíntima)
| Tabla 15. Criterios cuantitativos para el engrosamiento hialino arteriolar ("ah") | |
ah0 |
No hay engrosamiento hialino PAS-positivo |
ah1 |
Engrosamiento hialino PAS-positivo leve-moderado en al menos una arteriola |
ah2 |
Engrosamiento hialino PAS-positivo moderado-severo en más de una arteriola |
ah3 |
Engrosamiento hialino PAS-positivo severo en muchas arteriolas |
Indicar si hay arteriolitis con un asterisco (*). En la clasificación de Banff no se considera esta lesión como una lesión que defina rechazo y se le llama una lesión de "significado incierto"
| Tabla 16. Criterios cuantitativos para el incremento de la matriz mesangial ("mm")* | |
mm0 |
No hay incremento de la matriz mesangial |
mm1 |
Hasta el 25% de glomérulos no esclerosados están afectados (incremento de la matriz al menos moderado) |
mm2 |
26-50% de glomérulos no esclerosados están afectados (incremento de la matriz al menos moderado) |
mm3 |
>50% de glomérulos no esclerosados están afectados (incremento de la matriz al menos moderado) |
* El criterio mínimo para decir que
hay incremento moderado de la matriz mesangial es el espacio mesangial expandido
entre capilares adyacentes; si la amplitud de este espacio excede dos células
mesangiales en promedio, en al menos dos lóbulos glomerulares, el incremento
es moderado.
La graduación de "mm" es uno de los aspectos menos reproducibles
y con menos importancia en la determinación de la causa del daño
renal del injerto (opinión personal del autor - Luis F. Arias)
| Tabla 17. i-IFTA, inflamación en cortezqa cicatricial (corteza con IFTA)* | |
i-IFTA1 |
Ausente/mínima, <10% de corteza fibrótica con inflamación o si la extensión de IFTA es <10% |
i-IFTA1 |
Leve, 10%-25% de corteza fibrosada con inflamación |
i-IFTA2 |
Moderada, 26%-50% de corteza fibrosada con inflamación |
i-IFTA3 |
Severa, >50% de corteza fibrosada con inflamación |
*No debe considerarase la corteza subcapsular
| Tabla 18. t-IFTA, tubulitis en túbulos en áreas fibrosadas de corteza* | |
t-IFTA1 |
No hay tubulitis en áreas con IFTA |
t-IFTA1 |
Leve, 1-4 leucocitos mononucleados por corte transversal tubular o por 10 células epiteliales tubulares en el túbulo más severamente comprometido |
t-IFTA2 |
Moderada, 5-10 leucocitos mononucleados por corte transversal tubular o por 10 células epiteliales tubulares en el túbulo más severamente comprometido |
t-IFTA3 |
Severa, >10 leucocitos mononucleados por corte transversal tubular o por 10 células epiteliales tubulares en el túbulo más severamente comprometido |
*No se deben incluir túbulos severamente atróficos
Resumiendo, en la evaluación de injertos renales con lesiones crónicas, tan importante o más que graduar la severidad de la FI/AT es tratar de determinar su causa. Siendo el rechazo crónico la más frecuente, debemos de buscar las lesiones glomerulares y arteriales que lo sugieren, y determinar si hay lesiones de rechazo mediado por anticuerpos (incluyendo C4d). Además tenemos que buscar evidencia histológica de cualquiera de las otras causas que pueden ocasionar daño crónico (ver Tabla 1, en Parte 1).
TOXICIDAD POR ANTICALCINEURÍNICOS (ACN) (CICLOSPORINA Y TACROLIMUS)
La ciclosporina (CsA) es un péptido aislado del hongo Tolypocladium inflatum. La CsA inhibe la calcineurina, una fosfatasa activada por calmodulina/Ca2+; la calcineurina es necesaria para activar el "factor nuclear de células T activadas", un factor de transcripción de citoquinas; el efecto inmunosupresor se explica por la inhibición de la producción de citoquinas por linfocitos T (IL-2, IL-4, INF-gama, y otros). El tacrolimus (FK506) es un antibiótico macrólido aislado del hongo Streptomyces tsukubaensis que, aunque estructuralmente no relacionado con CsA, su mecanismo de acción es similar: inhibe la síntesis de citoquinas dependiente de calcineurina. El principal efecto adverso de ambos es la nefrotoxicidad: "los únicos pacientes en quienes se puede descartar toxicidad por estos medicamentos son aquellos que no lo están recibiendo" (Colvin RB. Renal Transplant pathology. En: Jennette JC, et al, Heptinstall's Pathology of the Kidney. 5º ed. Lippincott-Raven, Philadelphia, 1998, p. 1471). CsA y tacrolimus comparten similaridades en cuanto a su efecto inmunosupresor y nefrotoxicidad: frecuencia y patrón similar, incluyendo toxicidad aguda, toxicidad crónica y microangiopatía trombótica.
La falla renal es debida principalmente a hipoperfusión causada por vasoconstricción de las arteriolas aferentes. Cada dosis oral es seguida por una disminución transitoria del flujo plasmático renal y de la tasa de filtración glomerular; hay incremento en la resistencia preglomerular tanto en riñones nativos como en injertos. La potencia inmunosupresora y la nefrotoxicidad aguda parecen inseparables; el más probable mecanismo común es inhibición de calcineurina. La CsA (al menos en estudios experimentales) inclina la balanza de la síntesis de prostaglandinas hacia la vasoconstricción y trombosis: incrementa el tromboxano A2 y disminuye la prostaglandina I2 y la prostaciclina; además, inhibe la liberación de prostaglandina E2 y la sintetasa inducible del oxido nítrico (iNOS). También induce síntesis de endotelina, un potente vasoconstrictor. La CsA puede causar contracción de células musculares vasculares e incrementa la permeabilidad de la membrana plasmática al calcio. Experimentalmente la toxicidad puede ser incrementada por indometacina e inhibida por antagonistas del tromboxano A2. Es posible que ambos medicamentos tengan efecto inhibidor de la regeneración epitelial tubular.
La patogénesis de la nefropatía crónica se relaciona con hipoperfusión que causaría fibrosis intersticial y atrofia tubular. La contracción severa y persistente de las células musculares arteriolares puede llevar a lesión con pérdida de la contractilidad y de la viabilidad celular, con la consecuente lesión hialina arteriolar. Lo glomeruloesclerosis sería consecuencia de estas lesiones arteriolares, produciendose esclerosis global o segmentaria. También se ha propuesto que las lesiones glomerulares pueden ser consecuencia de microangiopatía trombótica.
Clínica: La toxicidad aguda suele presentarse como falla renal aguda no oligúrica con hipertensión; puede haber también hipercalemia, acidosis metabólica e hiperuricemia. Esta toxicidad es principalmente tubular y de arteriolas, pero, en muchos casos no se encuentra evidencia morfológica: toxicidad funcional por vasoespasmo reversible. Las lesiones tubulares, excepto las microcalcificaciones, son dosis dependientes y reversibles en 10 días. La toxicidad crónica se presenta con elevación lenta y progresiva de la creatinina, de una manera muy similar a como lo hace el rechazo crónico; en algunos casos llevando a falla renal terminal por fibrosis intersticial y daño arterial. La suspensión del medicamento puede impedir el avance de las lesiones, pero el daño ya producido es irreversible. La microangiopatía trombótica puede presentarse con el síndrome hemolítico urémico completo, o puede presentarse sólo con alteraciones de la función renal, encontrándose la microangiopatía trombótica en la biopsia renal; se suele presentar en los primeros meses post-trasplante, un poco más tarde (3 a 12 meses) en los trasplantados de médula ósea; su prevalencia en la actualidad es de menos del 1% y es la causa de microangiopatía trombótica en aproximadamente una cuarta parte de los casos en trasplantados renales.
Histopatología
Resulta sorprendente la cantidad de cambios que se describen en la toxicidad por los ACN y que no existan cambios específicos, a pesar de la gran frecuencia con la que diagnosticamos toxicidad por estos medicamentos. Para hacer este diagnóstico es fundamental una adecuada correlación clínica y una exhaustiva búsqueda de otro tipo de lesiones que causan disfunción del injerto, principalmente rechazo.
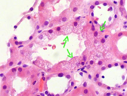
Toxicidad aguda: El principal cambio morfológico ocurre en los túbulos proximales: vacuolización isométrica de las células, definida como células con el citoplasma lleno de vacuolas pequeñas con aproximadamente el mismo tamaño, en algunos casos podemos encontrar también pérdida o atenuación del borde en cepillo; esta vacuolización predomina en la porción recta del túbulo proximal. La vacuolas son más pequeñas que el núcleo y son similares a las causadas por diuréticos osmóticos. Algunos autores han informado que en toxicidad por tacrolimus las vacuolas son un poco más grandes e irregulares. Se deben a dilatación del retículo endoplásmico. Como las otras lesiones de toxicidad por CsA, no es un hallazgo específico, sin embargo, en un contexto clínico adecuado permiten hacer el diagnóstico con relativa confiabilidad. A mayor cantidad de túbulos afectados mejor correlación con toxicidad, aunque con las dosis actuales no es usual encontrar afectación tubular extensa. También se han descrito mitocondrias gigantes (difíciles de ver con microscopía de luz), microcalcificaciones tubulares y lisosomas múltiples grandes.

Figura 18. La toxicidad aguda puede ser funcional, sin huellas morfológicas en la biopsia renal. En algunos casos encontraremos vacuolización isométrica del citoplasma de células tubulares, aunque inespecífico, este cuadro histológico, en un contexto clínico adecuado, y luego de descartar otras causas de disfunción del injerto, nos sugiere toxicidad aguda por CsA. Con las dosis usadas en la actualidad y con el estricto control de niveles séricos es inusual verla. (PAS, X400).
En glomérulos podemos ver cambios isquémicos y en intersticio se describe congestión capilar peritubular (hallazgos muy poco específicos). En arterias pequeñas y arteriolas hay vacuolización, apoptosis y necrosis de células musculares lisas; las células endoteliales también pueden verse vacuoladas y algunas veces encontraremos cambio mixoide de la íntima, pero este hallazgo puede relacionarse más con microangiopatía trombótica.
Toxicidad crónica: En glomérulos hay esclerosis global y, algunas veces, focal y segmentaria que puede o no asociarse con proteinuria importante; en glomérulos no lesionados podemos encontrar hipertrofia compensadora. La glomeruloesclerosis suele ser de tipo isquémico. En intersticio hay parches de fibrosis que se acompañan de atrofia tubular y suelen tener una distribución en bandas o lineal, probablemente en relación con lesiones de arterias pequeñas y arteriolas, contrario a otro tipo de lesiones arteriales que comprometen arterias más grandes produciendo zonas más amplias de fibrosis. Usualmente hay poco infiltrado de linfocitos pequeños en las zonas fibróticas.
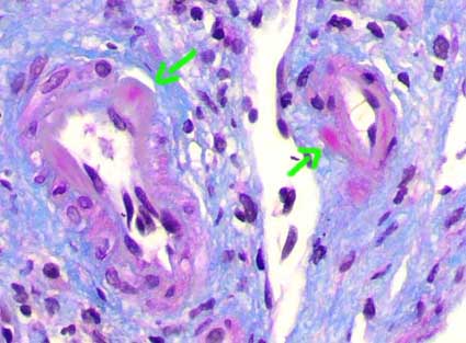
Las lesiones arteriolares son las más características: cambio hialino nodular en la media y hacia la adventicia; pueden verse pequeños nódulos reemplazando células individuales. En ocasiones se ven como múltiples nódulos pequeños con un aspecto que se ha descrito como "en collar de perlas". La hialinosis arteriolar de la hipertensión y/o arterioesclerosis suele ser menos nodular y se ubica principalmente en el espacio subendotelial o intimal. Aunque muy sugerentes de toxicidad crónica por ciclosporina, estas lesiones no son tampoco específicas; además, muchos autores utilizan criterios morfológicos diferentes para diagnosticar toxicidad crónica, esta es una de las principales razones para la gran variabilidad en la incidencia de la toxicidad por ACN de acuerdo a diferentes centros; por ejemplo, en los trabajos de Nankivell et al. (Transplantation. 2004 Aug 27;78(4):557-65; [PubMed link]; N Engl J Med. 2003 Dec 11;349(24):2326-33 [PubMed link][Free full text]) encuentran toxicidad crónica por ciclosporina en casi el 100% de trasplantados renales recibiendo el medicamento, ellos utilizan como único criterio para diagnosticarla, la presencia de depósitos hialinos arteriolares formados después del trasplante (estudian biopsias del donante), no importando su localización ni sus características, un punto de vista cuestionable.

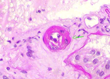
Figura 19. Aunque para algunos autores los signos arteriolares de toxicidad crónica por anticalcineurínicos (ACN) consisten en depósitos hialinos de cualquier tipo, para otros es muy importante la carcaterística nodular de estos depósitos, remplazando áreas de la media muscular o proyectándose hacia la adventicia (flechas). Los depósitos subendoteliales pueden verse, con mucha frecuencia, en pacientes hipertensos o diabéticos no recibiendo ACN y son, por lo tanto, aun más inespecíficos. (PAS, X300).

Figura 20. Observe los pequeños depósitos hialinos que ocupan la media o proyectan hacia la deventicia (flechas); este hallazgo es muy sugerente de toxicidad crónica por ciclosporina. Debemos observar también fibrosis en banda y descartar otras alteraciones que puedan producir disfunción crónica del injerto. (Tricrómico de Masson, X400).

Figura 21. Aunque en esta arteriola los depósitos hialinos reemplazan casi toda su pared, la característica nodular de ellos, protruyendo hacia la adventicia, es sugerente de toxicidad por ACN. (PAS, X400).
Microangiopatía trombótica: Hay lesiones glomerulares y arteriolares similares a las de la microangiopatía trombótica en riñones nativos. No hay hallazgos histológicos que permitan determinar la causa de la microangiopatía.
La inmunofluorescencia y la microscopía electrónica no son muy útiles en el diagnóstico. Con la última podemos caracterizar mejor las microvacuolas y podemos ver las mitocondrias gigantes.
TOXICIDAD POR OTROS MEDICAMENTOS
OKT3: es un anticuerpo monoclonal contra linfocitos T (anti-CD3). Se han descrito casos de microangiopatía trombótica por este medicamento. En las biopsias tomadas unos días después de su administración solemos ver una notoria disminución del infiltrado linfocítico en el injerto.
Inhibidores de la mTOR: (sirolimus y su derivado everolimus): No suelen ser tóxicos en personas con riñones sanos, nativos, pero hay creciente evidencia de que pueden alterar la recuperación del tejido renal trasplantado exacerbando algunas lesiones renales, esto explicaría la mayor frecuencia de retraso en el inicio de la función y necrosis tubular aguda, lesión endotelial con microangiopatía trombótica y lesión combinada de células mesangiales/endoteliales que llevaría a glomerulonefritis (se han descrito algunos pocos casos de GN asociada a rapamicina). La rapamicina inhibe, al menos in vitro, la proliferación de células inducida por factores de crecimiento (Marti HP, Frey FJ. Nephrotoxicity of rapamycin: an emerging problem in clinical medicine. Nephrol Dial Transplant 20:13-5, 2005. [PubMed link]). Los inhibidores mTOR se han asociado también con proteinuria, la cual es muy variable, usualmente subnefrótica, aunque también se ha descrito en rango nefrótico. El mecanismo no está completamente claro, pero dado que los inhibidores mTOR están asociados con reducción de la secreción de VEGF y el bloqueo de la vía de señalización del VEGF, un equilibrio alterado de VEGF en los podocitos podría contribuir a la proteinuria. En la biopsia renal de pacientes con proteinuria asociada a inhibidores de la mTOR no hay alteraciones específicas; puede encontrarse, por microscopía electrónica, daño podocitario segmentario.
Con los antivirales foscarnet y aciclovir podemos ver cambios tubulares agudos y depósitos de cristales intratubulares.
Con algunos medicamentos, principalmente antiinflamatorios y antibióticos, podemos encontrar nefritis túbulo-intersticial aguda; la presencia de eosinófilos es el hallazgo más llamativo, pero, en muchos casos será difícil distinguir un infiltrado inflamatorio intersticial en relación con rechazo del de una nefritis intersticial por medicamentos.
Principal fuente bibliográfica:
Bibliografía