|
|
CASE 42 (August 2009)
Clinical information
The patient is a 42-year-old man who
was admitted in our hospital for 2 weeks of decrease in urinary volume,
abdominal pain, generalized edema, nausea, and diarrhea. He had a history
of heavy smoking. He worked in a gold mine, where the extraction of gold
was made using artisanal methods. Serum creatinine: 12.8 mg/dL, BUN: 205
mg/dL; leukocytes: 8,500, hemoglobin: 11.5%. Blood pressure: 140/110,
heart rate 80 X'. Pain on deep palpation in the right hypochondrium and
epigastrium.
The patient was managed with adequate hydration and two days after admission
serum creatinine was 6.5 mg/dL, BUN 88 mg/dL. Urine analysis: there were
not proteinuria or casts, 8-12 erythrocytes/hpf. In blood: leukocytes
8,200, neutrophils: 46%, lymphocytes: 18.5%, eosinophils: 26.3%.
On the fourth day of hospitalization
the patient was in good general conditions, normotensive. Serum creatinine
5.0 mg/dL, BUN 71 mg/dL, potassium: 5.9 meq/L, serum albumin: 4.8 g/L,
parathyroid hormone: 90 ng/L (normal: 10-60). On the fifth day: diuresis:
4,000 mL; serum creatinine 4.0 mg/dL, BUN: 60 mg/dL, potassium: 5.1 meq/L.
Dialysis was not required.
On the sixth day the patient remains
well. Serum creatinine 3.8 mg/dL, BUN: 57 mg/dL. C3 complement fraction:
123 mg/dL (90-180), C4: 52,6 mg/dL (20-58); ANA, anti-DNA, ANCA: negative.
B and C viruses: negative; HIV: negative.
What is your diagnosis?
A renal biopsy was undertaken. See the
images of the renal biopsy.

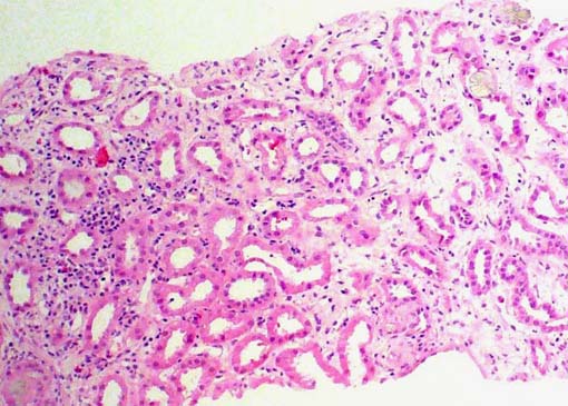
Figure 1.
H&E, X200.

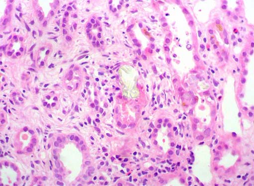
Figure 2.
H&E, X400.

Figure 3.
H&E, X400.

Figure 4.
H&E, X400.

Figure 5.
Masson's
trichrome stain, X400.

Figure 6.
Methenamine-silver stain, X400.

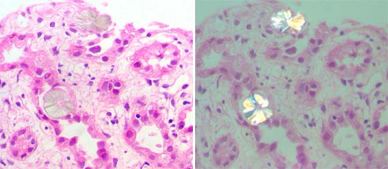
Figure 7.
Left: H&E, X400.
Right: the same microscopic field seen with polarized light.
Direct immunofluorescence for IgA; IgG,
IgM, C3, C1q, kappa, lambda, and fibrinogen: Negative.
What is your diagnosis?
See
diagnosis and discussion
[Top]
|
|