|
CASE 32 (October 2008)
Clinical information
Male patient,
at 19-year-old he presented malaise, progressive edema, and decreased
urinary volume. Proteinuria 12.1 g/24h, serum creatinine 2.0 mg/dL, microscopic
hematuria. Normal serum complement levels. ANAs and ANCAs negative. Tests
for viral hepatitis negative. Hyperlipidemia and hypoalbuminemia. A renal
biopsy was undertaken (Figures 1 and 2).
He was treated with steroids without
response; he also received cyclosporine, but nephrotic syndrome continued.
Serum creatinine remained in values near to 2 mg/dL, but after 4 years
post-biopsy it progressively increased until end-stage renal failure at
25-year-old. After 8 months in dialysis the patient received a cadaveric
donor kidney. The kidney function was well in the first weeks. Immunosuppression:
prednisone, cyclosporine, mycophenolate.
Seven days after transplantation he had
proteinuria: 500 mg/dL. Proteinuria continues progressively increasing,
and 3 months after he presents generalized edema and proteinuria 6.6 g/24h.
Microhematuria; serum creatinine: 1.3 mg/dL; no other symptoms. Tests
for B and C hepatitis: negative. No other alterations.
A renal biopsy was undertaken (Figures
3-8).

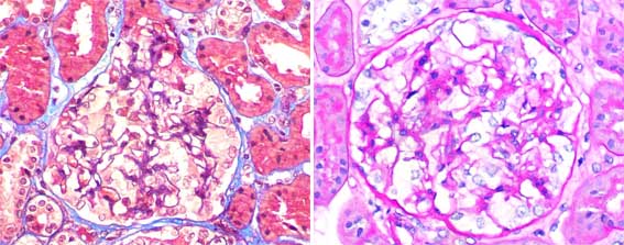
Figure 1.
First biopsy. H&E; left, X200; right, X400.

Figure 2.
First biopsy. Methenamine-silver stain; left, X400; right, X1,000.

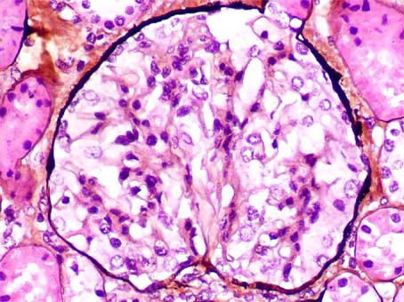
Figure 3.
Second biopsy (post-transplantation). H&E; left,
X200; right, X400.

Figure 4.Second
biopsy (post-transplantation). Left: Masson's trichrome, X400; right:
PAS stain, X400.

Figure 5.
Second biopsy (post-transplantation). Methenamine-silver
stain, X400.

Figure 6.
Second biopsy (post-transplantation).
Direct immunofluorescence using antiserum to IgA,
X400.

Figure 7.
Second biopsy (post-transplantation).
Direct immunofluorescence using antiserum to IgG,
X400.

Figure 8.
Second biopsy (post-transplantation).
Direct immunofluorescence using antiserum to C1q,
X400.
Direct immunofluorescence for IgM and
C3: traces in capillary walls, with similar appearance to the image displayed
for C1q.
What is your diagnosis?
See
diagnosis and discussion
[Top]
|