CASO
77 (Julio 2012)
Datos clínicos:
El paciente es un adolescente de 16 años
de edad, quien presentó hace 3 años hematuria microscópica.
Una evaluación urológica completa, incluyendo pielograma
y cistoscopia, fue negativa. Su análisis de orina mostró
1+ de proteinuria, sin hematuria, y un estudio metabólico completo
fue normal, con creatinina de 0,4 y BUN de 14. ANAs, ANCAs y pruebas para
hepatitis y HIV fueron negativos. C3 bajo: 55 (90-180) y C4 normal: 16
(10-40). Ambos riñones fueron normales en la ecografía.
Se programó una biopsia renal, pero el paciente se perdió
del seguimiento.
El paciente no ha presentado hematuria
macroscópica y niega cualquier síntoma urinario. No ha tenido
edemas. No hay lesiones de la piel, úlceras en la boca, artritis,
o rigidez matinal.
El paciente fue el producto de un embarazo
de término, y tuvo un desarrollo normal.
No hay hospitalizaciones previas o enfermedades en la infancia. No hay
historia familiar enfermedades renales o autoinmunes.
El examen físico es normal.
Otras pruebas de laboratorio: Hto 36,1,
Hb 12,5, PLT 183.000, pruebas hepáticas nuevamente normales, BUN
18 y creatinina 0,7. Leucograma normal, Coombs negativo. Análisis
de orina: 3-5 eritrocitos por campo de gran aumento (CGA), no hay leucocitos
o cilindros, proteinuria: 2+; proteinuria en 24 h: 591 mg; depuración
de creatinina: 82 ml/min.
Esta vez sí puede hacerse biopsia
renal, observe las imágenes.

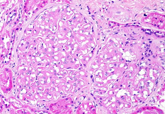
Figura 1.
H&E, X400.

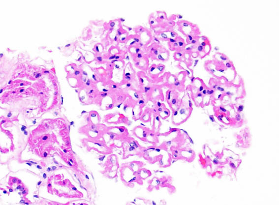
Figura 2.
H&E, X400.

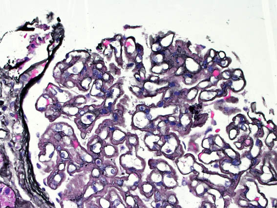
Figura 3.
Plata-metenamina, X400.

Figura 4.
Plata-metenamina, X400.

Figura 5.
Plata-metenamina, X400.

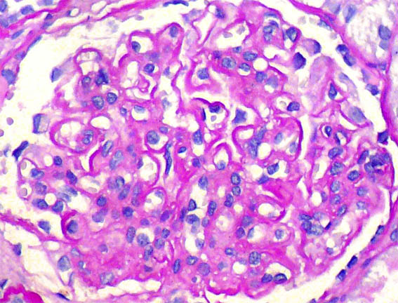
Figura 6.
PAS, X400.

Figura 7.
Inmunofluorescencia directa para C3, X400.

Figura 8.
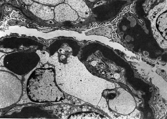
Microscopía electrónica, aumento original X6.000.

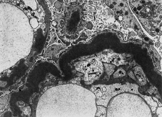
Figura 9.
Microscopía electrónica, aumento original X6.000.
Inmunofluorescencia: Negativa para IgA,
IgG, IgM, C1q, kappa y lambda.
¿Cuál es su diagnóstico?
Gracias al Dr. Carlos Jiménez
por este interesante caso.
Ver
diagnóstico y discusión
[Arriba]
|