|
|
CASO
68 (Octubre 2011)
Datos clínicos:
Hombre de 25 años. Consulta por
ictericia. Ocho días de malestar general, nauseas y vomito: 3-4
veces al día. Diarrea tipo disentérica, con moco, 4 episodios
al día. También una semana de tinte ictérico generalizado.
Fiebre subjetiva, escalofríos, cefalea. No síntomas urinarios.
El paciente relata que ingirió "un purgante" de una tienda
"naturista" aproximadamente 5 días antes del inicio de
los síntomas; desconoce los componentes de dicho producto y éstos
no aparecen en el recipiente. Consumo habitual de licor cada fin de semana,
usualmente hasta la embriaguez. Niega consumo de cigarrillo y de sustancias
psicoactivas.
Examen físico: Buen aspecto general,
PA: 110/68; FC: 88 x min.; FR: 17 x min. Ictericia generalizada. Cardiopulmonar
normal. Abdomen: dolor a la palpación profunda en hipocondrio derecho.
Higado palpable 4 cm debajo del reborde costal. Resto de examen físico:
normal.
Paraclinicos: Hb: 15,8 mg/dL, Hto: 48%;
glóbulos blancos: 5.080, linfocitos 20%, neutrófilos: 76%:
eosinófilos: 1%; plaquetas: 176.000. Pruebas de coagulación:
normales. Creatinina sérica al ingreso: 1,2mg/dL, BUN: 14 mg/dL;
éstos aumentaron hasta 6,5 mg/dL y 83 mg/dL, respectivamente, al
9º día de hospitalización, requiriendo hemodiálisis.
Bilirrubina total: 12 mg/dL, bilirrubina directa: 9,4 mg/dL; fosfatasa
alcalina: 204 U/L (30-120); AST: 70 U/L (0-35); ALT: 50 U/L (0-35). Uroanálisis:
orina turbia, densidad: 1.025, proteinas 75 mg/dL, eritrocitos: 60 / campo
de gran aumento (CGA), leucocitos: 50 / CGA, presencia de cilindros leucocitarios
y granulosos.
Pruebas para hepatitis viral: negativas.
Pruebas para Leptospira, sífilis, HIV, CMV, Epstein-Barr: negativas.
ANAs positivos: 1:40, moteado; anti-DNA: negativo; C3: 191 mg/dL (90-180);
C4: 57 mg/dL (10-40). Electroforesis de proteínas normal. Ecografía
abdominal: riñones con tamaño forma, ecogenicidad y diferenciación
corticomedular normales; hepatomegalia, sin nódulos o masas. Radiografía
de tórax normal. Endoscopia digestiva superior: gastritis antral
leve.
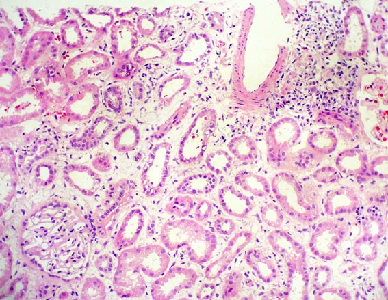
Se hace biopsia renal. Observe
las imágenes.

Figura 1.
H&E, X100.

Figura 2.
H&E, X200.

Figura 3.
H&E, X200.

Figura 4.
H&E, X400.

Figura 5.
H&E, X400.

Figura 6.
Tricrómico de Masson, X400.

Figura 7.
Plata-metenamina, X400.
Inmunofluorescencia para IgA, IgG, IgM,
C3, C1q, kappa y lambda: negativas.
¿Cuál es su diagnóstico?
Ver
diagnóstico y discusión
[Arriba]
|
|