|
|
CASO
66 (Agosto 2011)
Datos clínicos:
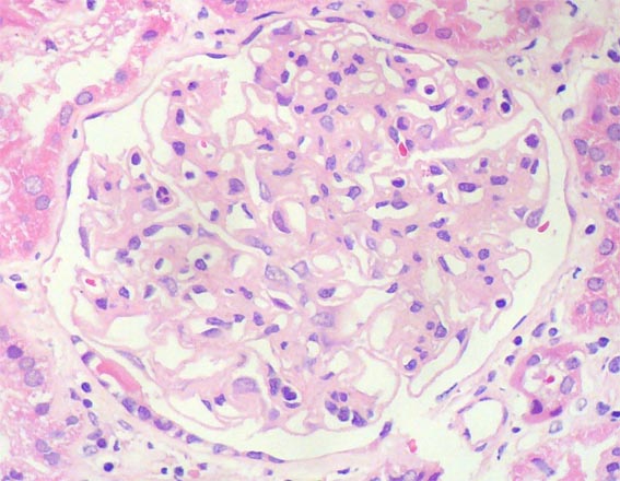
Paciente masculino, 15 años de
edad. Insuficiencia renal terminal por reflujo vesico-ureteral severo.
Trasplantado de donante cadavérico hace dos años. En el
último control encuentran proteinuria de 1,8 g/24h, función
renal normal, en orina reportan 4-5 eritrocitos por campo de gran aumento,
sin leucocitos ni cilindros. No hay alteraciones en otros órganos,
no hay hipertensión. Inmunosupresión
con ciclosporina, prednisona y micofenolato. Se repite estudio de orina
y nuevamente proteinuria de 1,8 g/día, con microhematuria, por
lo que se decide tomar biopsia.
Observe las imágenes.

Figura 1.
H&E, X100.

Figura 2.
H&E, X400.

Figura 3.
Tricrómico de Masson, X400.

Figura 4.
PAS, X400.

Figura 5.
Plata- metenamina, X400.

Figura 6.
No hay "spikes". Plata-metenamina, X400.

Figura 7.
No hay capilaritis peritubular. Plata-metenamina, X400.

Figura 8.
Inmunofluorescencia directa para IgG, X400.

Figura 9.
Inmunohistoquímica para C4d, X400. Tinción difusa en capilares
peritubulares.
Inmunofluorescencia para IgA, IgM, C3
y C1q: negativas.
¿Cuál es su diagnóstico?
Ver
diagnóstico y discusión
[Arriba]
|
|