|
|
CASO
59 (Enero 2011)
Datos clínicos
Un hombre de 45 años, previamente
sano, consultó por malestar general de una semana de evolución.
En el interrogatorio el paciente relata, además, haber tenido un
trauma deportivo en su tobillo izquierdo 20 días antes, el cual
le causó edema y dolor que ya habian desaparecido casi por completo.
En el examen físico se encuentra
edema leve bilateral en miembros inferiores. No hay hipertensión
arterial ni otras alteraciones.
Pruebas de laboratorio iniciales: Hematocrito:
39%, leucocitos: 7.200/mm3, eritrosedimentación: 7 mm/h, plaquetas
227.000/mm3. Creatinina sérica: 7,5 mg/dL; BUN: 98 mg/dL.
Con diagnóstico de insuficiencia
renal aguda se ordenan otros exámenes y se hace biopsia renal.
Observe las imágenes.

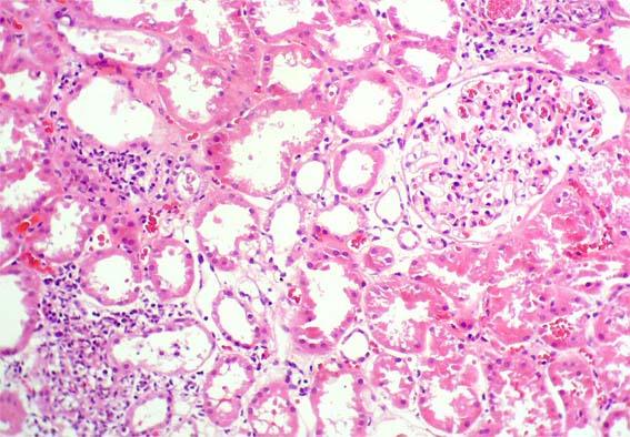
Figura 1.
H&E, X200.

Figura 2.
H&E, X200.

Figura 3.
Tricrómico de Masson, X200.

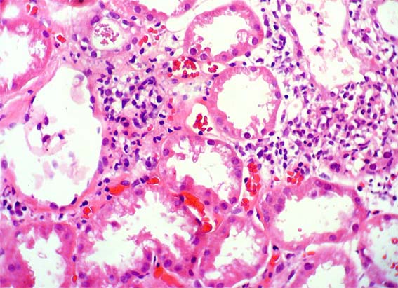
Figura 4.
H&E, X400.

Figura 5.
H&E, X400.

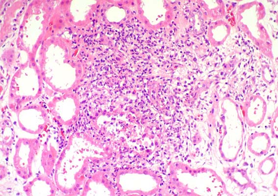
Figura 6.
H&E, X200.

Figura 7.
H&E, X400.

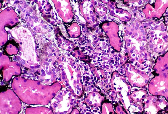
Figura 8.
Plata-metenamina, X400.

Figura 9.
Plata-metenamina, X400.
Inmunofluorescencia directa par IgA,
IgG, IgM, C3, C1q, kappa y lambda: Negativas.
¿Cuál es su diagnóstico?
Ver
diagnóstico y discusión
[Arriba]
|
|