|
|
CASO
57 (Noviembre 2010)
Datos clínicos
Niña de 12 años de edad.
Fue evaluada en otro centro por edemas. Con el diagnóstico de síndrome
nefrótico se inició tratamiento con prednisona y furosemida,
presentando leve mejoría, sin desaparición de los edemas.
Tres meses después es remitida a nuestro centro porque continúa
con edemas a pesar de continuar con el tratamiento: prednisona 60 mg/m2/día.
En la revisión por sistemas: astenia, adinamia, somnolencia.
Al examen físico: Buen estado
general, hidratada, pálida; edema en miembros inferiores y cara.
Talla 149 cm, peso: 35 kg; presión arterial: 109/77 (PAM:: 87).
Paraclinicos: Creatinina sérica:
0,37 mg/dL, BUN: 7 mg/dL, K: 3,9 Meq/L, Na: 141 Meq/L. Hemoleucograma
normal. Colesterol total: 519 mg/dL, trigliceridos: 545 mg/dL, albúmina
sérica: 1,9 g/L. Citoquímico de orina: densidad 1.020, proteínas
500 mg/dL, eritrocitos: 2 por campo de gran aumento, no hay cilindros.
Proteinuria en 24 horas: 105 mg/m2/h. VDRL: no reactivo; virus B y C:
negativos. C3: 181 mg/dL (90-190), C4: 30 mg/dL (10-40); anti-DNA y ANAs:
negativos.
Con diagnóstico clínico
de síndrome nefrótico corticorresistente se hace biopsia
renal. Observe las imágenes.

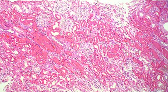
Figura 1.
H&E, X100.

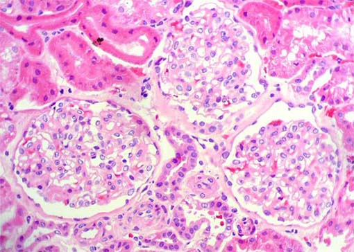
Figura 2.
H&E, X200.

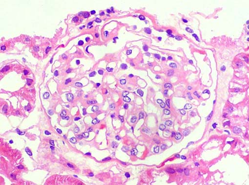
Figura 3.
H&E, X400.

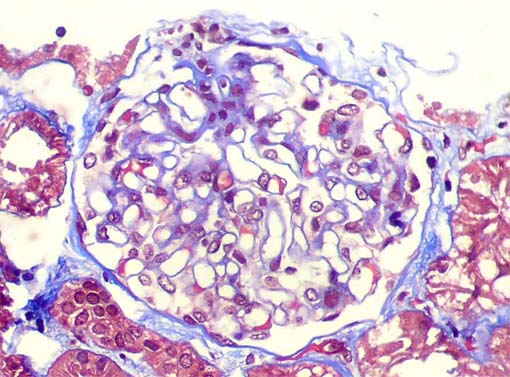
Figura 4.
Tricrómico de Masson, X400.

Figura 5.
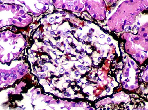
Plata-metenamina, X400.

Figura 6.
Inmunofluorescencia directa para IgM, X400.

Figura 7.
Inmunofluorescencia directa para IgM, X400.
La inmunomarcación para IgM fue
similar en los 5 glomérulos identificados en los cortes para la
técnica.
Inmunofluorescencia directa par IgA, IgG, C3 y C1q: Negativas.
¿Cuál es su diagnóstico?
Ver
diagnóstico y discusión
[Arriba]
|
|