CASO
51 (Mayo de 2010)
Datos clínicos
Hombre de 20 años de edad; insuficiencia
renal terminal debido a nefropatía por reflujo. Estuvo en hemodiálisis
6 meses y fue trasplantado de donante cadavérico. El injerto presentó
adecuada función desde el post-trasplante inmediato. Presentó
dos episodios de rechazo agudo, el primero al año del trasplante,
manejado con bolos de esteroides, con mejoría completa de la función;
biopsia que demostró rechazo celular agudo IA de Banff, sin otras
alteraciones. El paciente continuó bien hasta 4 años post-trasplante
cuando presentó aumento progresivo de la creatinina hasta 2,4 mg/dL;
biopsia que muestra rechazo celular agudo tipo IB, sin signos histológicos
de rechazo crónico, con cambios crónicos leves. Fue tratado
con bolos de esteroides con poca respuesta, la creatinina continuó
entre 1,8 y 2,9 mg/dL en las cuatro semanas posteriores. Un mes después
de recibir dichos bolos es evaluado por presentar varios días de
fiebre, malestar general y lesiones en piel tratadas como impétigo,
sin cultivo ni biopsia.
Una semana más tarde persiste
febril y ahora con dolor en el injerto; creatinina 3,5 mg/dL. Múltiples
estudios microbiológicos, todos negativos. Recibe múltiples
tratamiento antibióticos y se piensa en tuberculosis, sin embargo
estudios de esputo y lavado broncoalveolar negativos. Pruebas para enfermedad
por citomegalovirus: negativas. La creatinina continúa aumentando,
la fiebre persiste y aumenta el dolor en área del injerto. Se disminuye
inmunosupresión. La creatinina se eleva hasta 8,5 mg/dL y requiere
hemodiálisis.
Por aumento de tamaño del injerto,
dolor y el síndrome febril prolongado se decide hacer nefrectomía
del injerto.
Observe las imágenes.

Figura 1.
Observe el punteado blanquecino en la superficie del injerto.

Figura 2.
Estos puntos blanquecinos se identifican también al corte del órgano,
tanto en corteza como en médula.

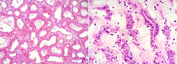
Figura 3.
Los cortes histológicos revelan abundantes lesiones nodulares que
corresponden a los puntos blanquecinos identificados en la macro. H&E,
X100.

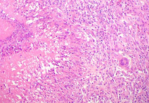
Figura 4.
H&E, X200.

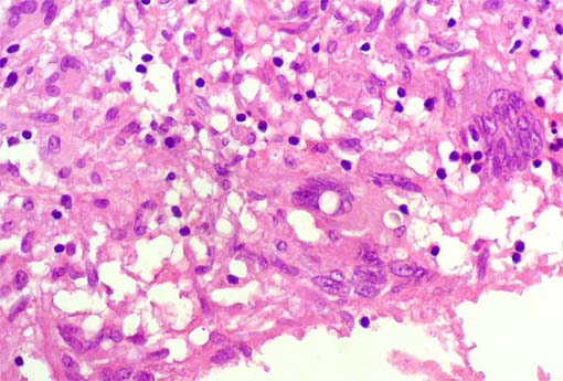
Figura 5.
H&E, X400.

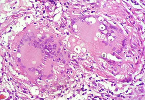
Figura 6.
H&E, X400.

Figura 7.
Múltiples áreas del parénquima presentan aspecto
más o menos normal: sin daño crónico ni inflamación.
En la imágen de la izquierda hay cambios de necrosis tubular aguda.
En otras áreas cambios de rechazo agudo tubulointersticial, observe
en la imagen de la derecha tubulitis prominente. H&E, izquierda, X200;
derecha, X400.

Figura 8.
En otras áreas hay cambios crónicos, tanto tubulointersticiales
(izquierda) como arteriales (derecha), aunque no se identifican lesiones
arteriales de rechazo agudo o crónico. H&E, ambas X200.

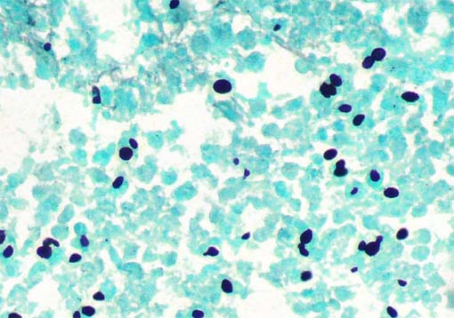
Figura 9.
Tinción de plata-metenamina, contrastada con fondo verde (fast
green), X400.

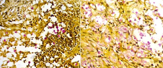
Figura 10.
Mucicarmin, ambas X400.
Tincion de Zhiel Neelsen: Negativa para
bacilos ácido-alchohol resistentes.
¿Cuál es su diagnóstico?
Ver
diagnóstico y discusión
[Arriba]
|